医影在线

标题: CT17775:F36Y,上腹部CT平扫 [打印本页]

作者: 同    时间: 2009-1-19 21:04
标题: CT17775:F36Y,上腹部CT平扫
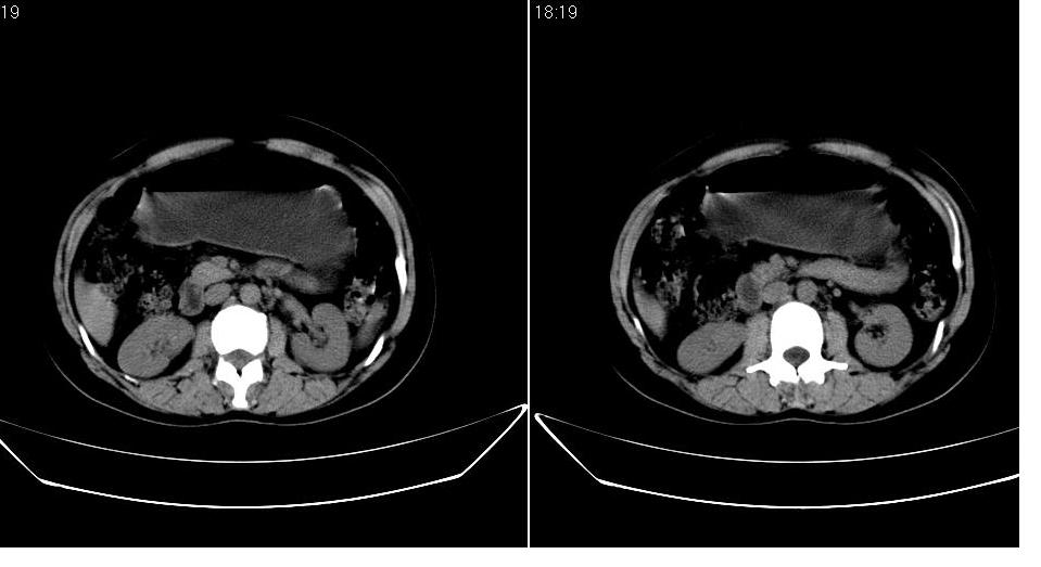
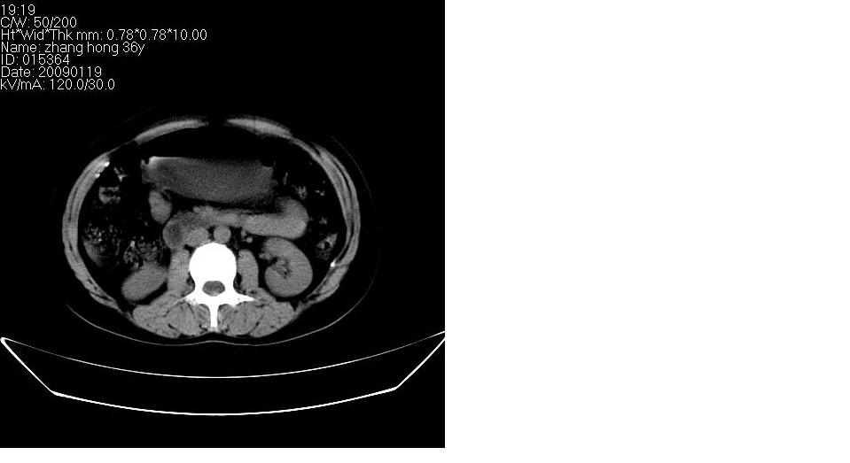
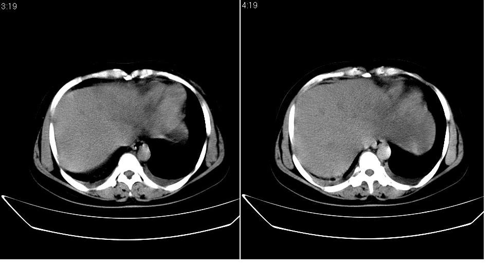
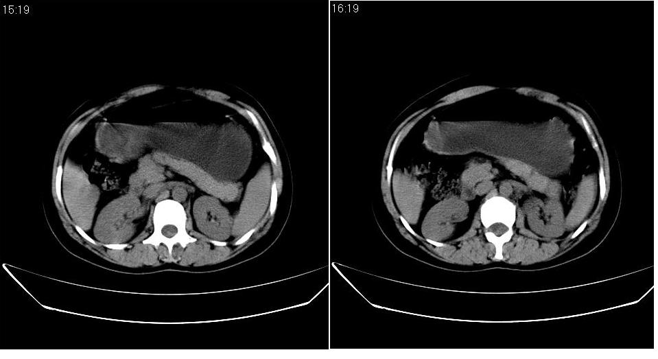
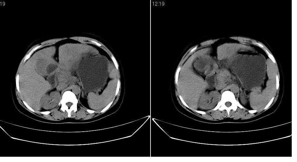
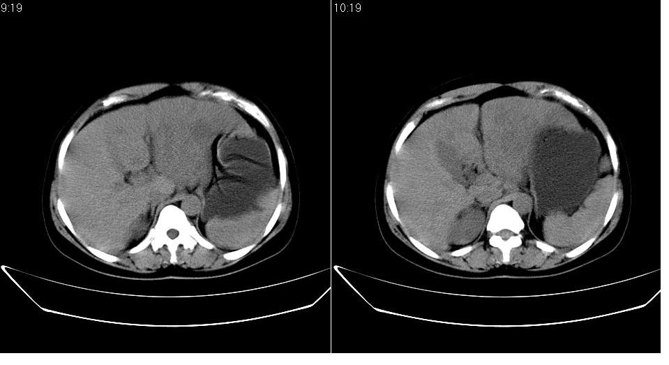
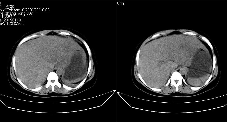
女 36岁,腹痛月余,b超提示肝左叶占位,腹水。












[本贴已被 jiajie 于 2009-1-19 20:05:20 修改过]

作者: xiaoniu    时间: 2009-1-19 21:24
肝脏左叶明显增大,各叶比例失调,左叶实质内不均匀低密度影,似乎有肝内胆管的扩张,没有增强实在不好判断,不知患者肝功能是否正常,我觉得象胆管细胞癌。
作者: dengkai    时间: 2009-1-19 21:42
肝脏左叶明显增大,各叶比例失调,左叶实质内不均匀低密度影,增强!
作者: zbp537    时间: 2009-1-19 21:57
从这个平扫图像看,只能诊断肝左叶占位,具体性质没有增强扫描不能诊断,只能说肝左叶低密度影,建议增强扫描进一步检查。
作者: 深泽交通    时间: 2009-1-19 22:31
胆囊癌可能
作者: 卜一    时间: 2009-1-19 23:15
占位!增强后再讨论!
作者: 随光逐影    时间: 2009-1-20 00:33
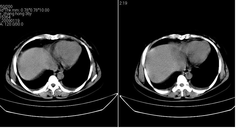
1)考虑肝左叶肝癌;建议行进一步检查。2)肝硬化,脾稍大。3)双侧少量胸腔积液。
作者: 黑白光影    时间: 2009-1-20 00:41
标题:
以下是引用随光逐影在2009-1-19 16:33:00的发言:[br]1)考虑肝左叶肝癌;建议行进一步检查。2)肝硬化,脾稍大。3)双侧少量胸腔积液。

作者: ydx_74    时间: 2009-1-20 01:24
肝癌肝内转移!
作者: 杀毒软件    时间: 2009-1-20 01:26
标题: 回复:上腹部ct平扫
以下是引用卜一在2009-1-19 15:15:00的发言:[br]占位!增强后再讨论!

支持
作者: jiangjing    时间: 2009-1-20 02:15
以下是引用卜一在2009-1-19 15:15:00的发言:
占位!增强后再讨论!
作者: zsl6918    时间: 2009-1-20 02:16
标题: 回复:上腹部ct平扫
符合占位改变!增强后讨论!
作者: xinliheng001    时间: 2009-1-20 02:18
是啊
作者: qingjing    时间: 2009-1-20 02:54
没有增强,请不要妄下结论
作者: xulianj    时间: 2009-1-20 04:06
标题: 回复:上腹部ct平扫
以下是引用黑白光影在2009-1-19 16:41:00的发言:[br][quote]以下是引用随光逐影在2009-1-19 16:33:00的发言:[br]1)考虑肝左叶肝癌;建议行进一步检查。2)肝硬化,脾稍大。3)双侧少量胸腔积液。
[br][/quote]


支持!且患者肝门部有淋巴结转移。
作者: 894072    时间: 2009-1-20 06:37
肝左叶肝癌
作者: dsl555    时间: 2009-1-20 06:58
没有增强,请不要妄下结论
作者: 宇宙CT    时间: 2009-1-20 07:23
1)考虑肝左叶肝癌;建议行进一步检查。2)肝硬化,脾稍大。3)双侧少量胸腔积液。
作者: 吴承学    时间: 2009-1-20 14:40
标题: 回复:ct17775:f36y,上腹部ct平扫
肝脏左叶明显增大,各叶比例失调,左叶实质内不均匀低密度影,增强!
作者: xupengjie    时间: 2009-1-20 17:59
肝左叶占位,建议增强。胸腔积液。
作者: scdlc2008    时间: 2009-1-20 18:03
肝左叶占位,建议增强
作者: 影像之路    时间: 2009-1-20 19:25
单凭一张平扫实在不能说明太大的问题,好比有身子没有脑袋的怪物。           似像是肝癌
作者: 李得胜    时间: 2009-1-20 20:55
肝癌可能性大,建议增强
作者: LIAOQIANG    时间: 2009-1-20 22:30
肝脏左叶明显增大,且左叶实质内不均匀低密度影。考虑左叶占位??建议增强后再讨论。
作者: ymnn    时间: 2009-1-21 01:53
肝脏左叶明显增大,各叶比例失调,左叶实质内不均匀低密度影,增强!
作者: jinguoji    时间: 2009-1-21 08:04
肝左叶占位,建议增强。




欢迎光临 医影在线 (http://bbs.radida.com/bbs/) Powered by Discuz! X3.2