














以下是引用黑白光影在2009-1-19 16:44:00的发言:[br]首选“感染”伴点状出血!次选:少突胶质瘤!
以下是引用卜一在2009-1-19 15:13:00的发言:[br]首选“感染”伴点状出血!次选:少突胶质瘤!
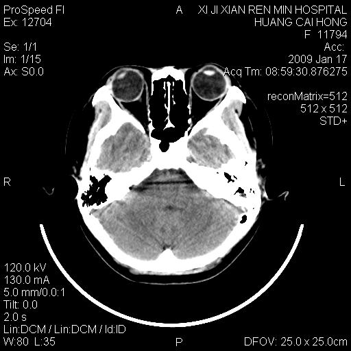
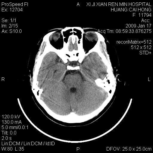
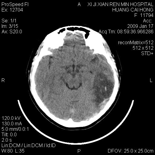
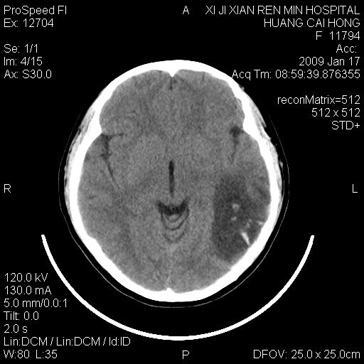
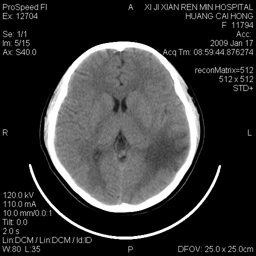
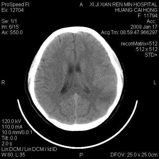
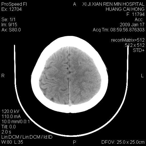
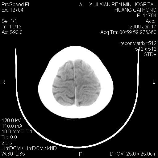
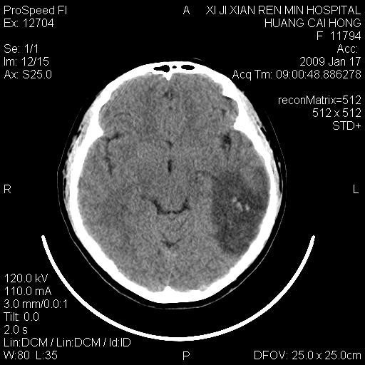
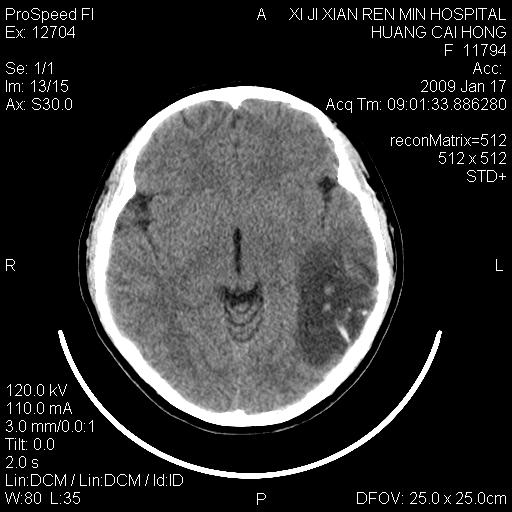
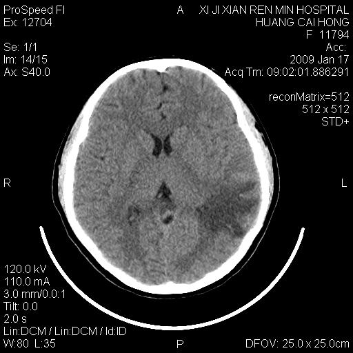
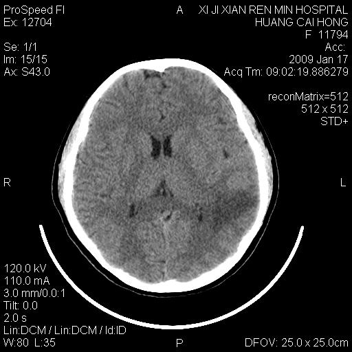
以下是引用zbp537在2009-1-19 13:54:00的发言:[br]首先考虑脑炎。[br]诊断依据:[br]1、患者较年轻。[br]2、有感冒病史。[br]3、左侧颞枕叶这么大一片低密度影,占位征象却不明显,不符合肿瘤特征,其内的高密度影为出血灶。
以下是引用xiaoniu在2009-1-19 13:29:00的发言:[br]左侧颞叶三角形低密度影,占位效应不明显,其内点片样高密都影,青少年患者,首先考虑:少突胶质瘤。因为有感冒病史,不能除外感染的可能。
以下是引用卜一在2009-1-19 15:13:00的发言:[br]首选“感染”伴点状出血!次选:少突胶质瘤!
以下是引用xiaoniu在2009-1-19 13:29:00的发言:[br]左侧颞叶三角形低密度影,占位效应不明显,其内点片样高密都影,青少年患者,首先考虑:少突胶质瘤。因为有感冒病史,不能除外感染的可能。
| 欢迎光临 医影在线 (http://bbs.radida.com/bbs/) | Powered by Discuz! X3.2 |