








































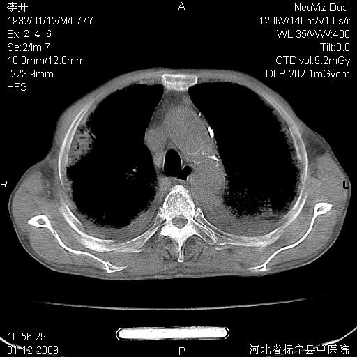
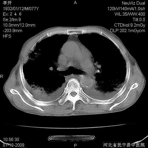
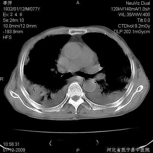
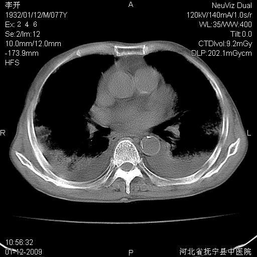
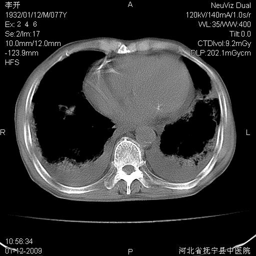
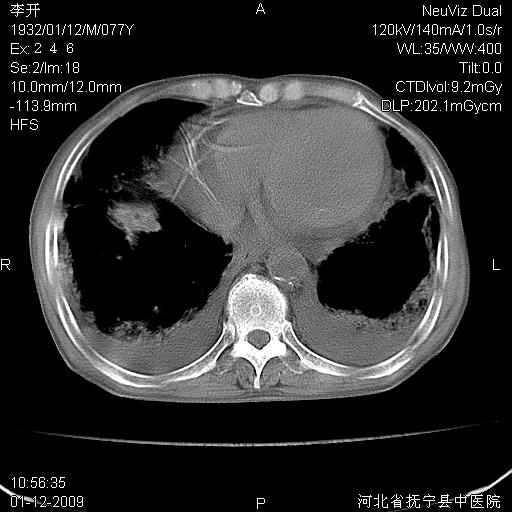
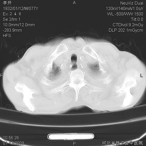
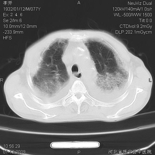
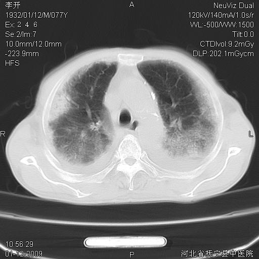
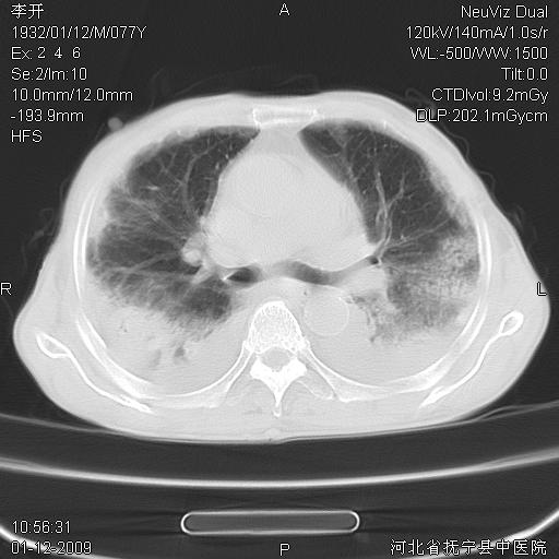
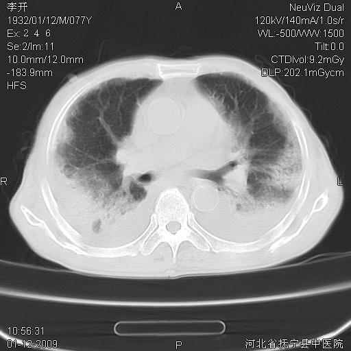
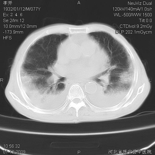
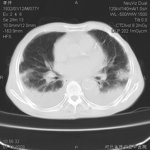
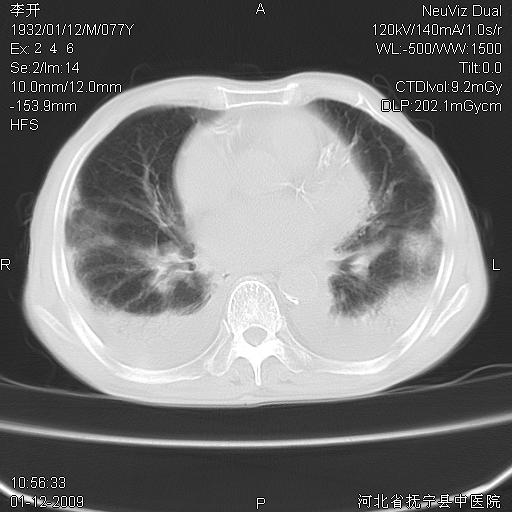
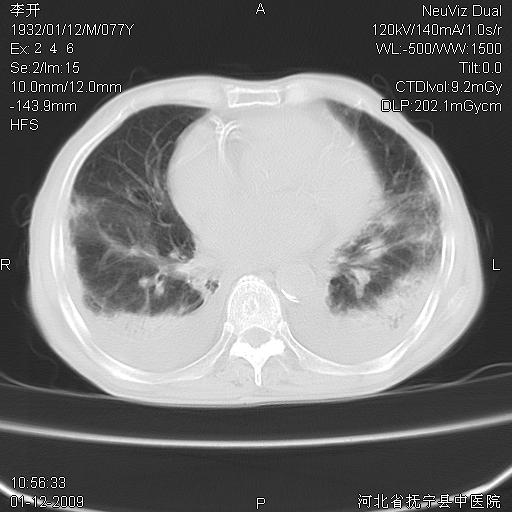
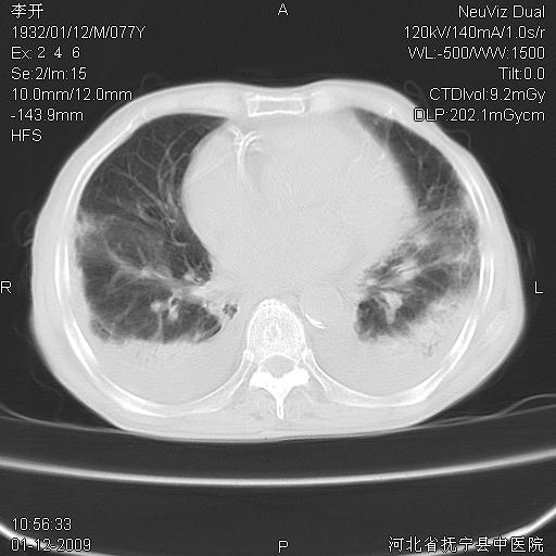
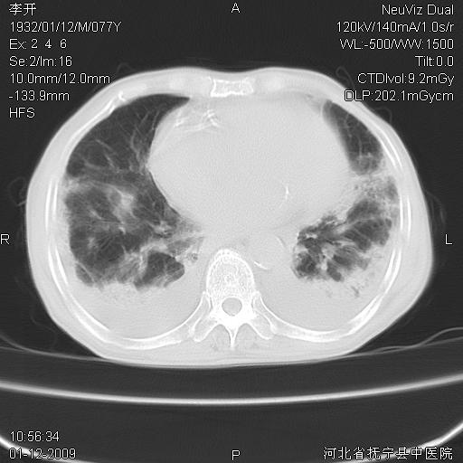
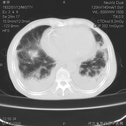
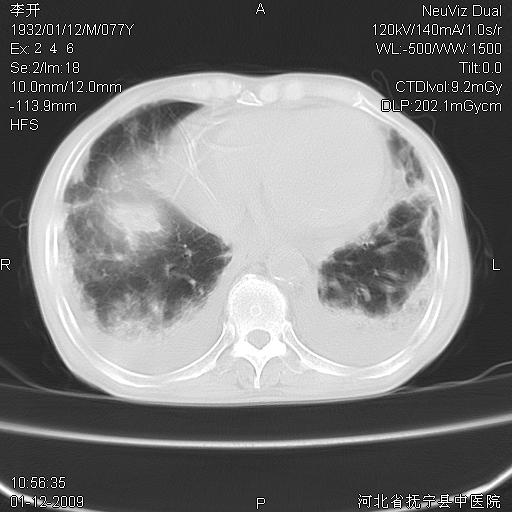
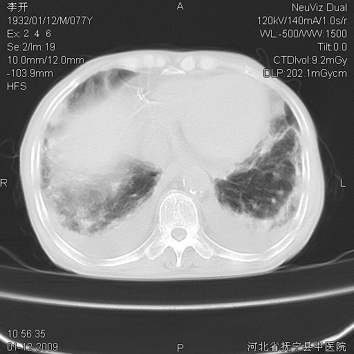
以下是引用黑白光影在2009-1-19 16:49:00的发言:[br]心衰肺水肿。心包、胸腔积液。冠脉钙化,肺部感染。
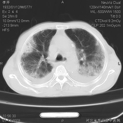
以下是引用黑白光影在2009-1-19 16:49:00的发言:[br]心衰肺水肿。心包、胸腔积液。冠脉钙化,肺部感染。
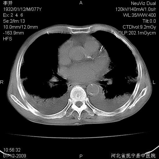
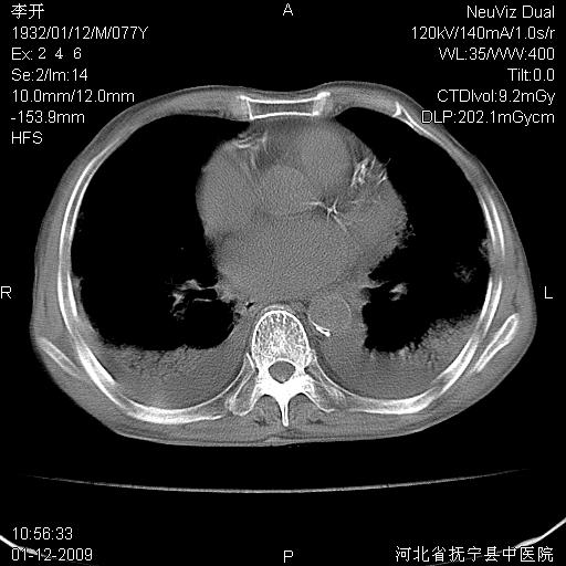
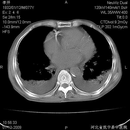
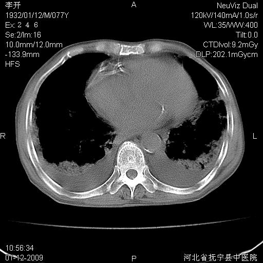
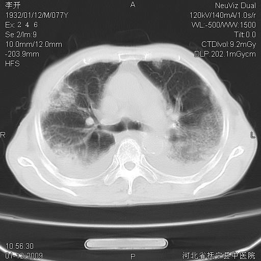
以下是引用黑白光影在2009-1-19 16:49:00的发言:[br]心衰肺水肿;心包、胸腔积液;冠脉钙化;肺部感染。
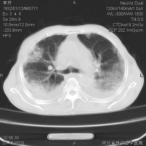
以下是引用黑白光影在2009-1-19 16:49:00的发言:[br]心衰肺水肿。心包、胸腔积液。冠脉钙化,肺部感染。
以下是引用黑白光影在2009-1-19 16:49:00的发言:[br]心衰肺水肿。心包、胸腔积液。冠脉钙化,肺部感染。
以下是引用ydx_74在2009-1-19 17:29:00的发言:[br]心衰肺水肿。心包、胸腔积液。冠脉钙化,肺部感染。
| 欢迎光临 医影在线 (http://bbs.radida.com/bbs/) | Powered by Discuz! X3.2 |