医影在线

标题: CT17780:M42Y,双肺病变。请会诊 [打印本页]

作者: taj2000    时间: 2009-1-20 01:10
标题: CT17780:M42Y,双肺病变。请会诊
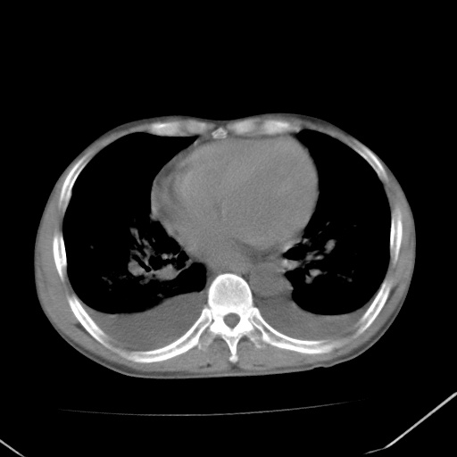
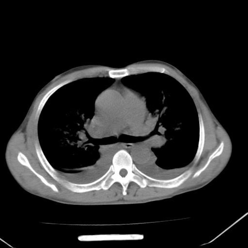
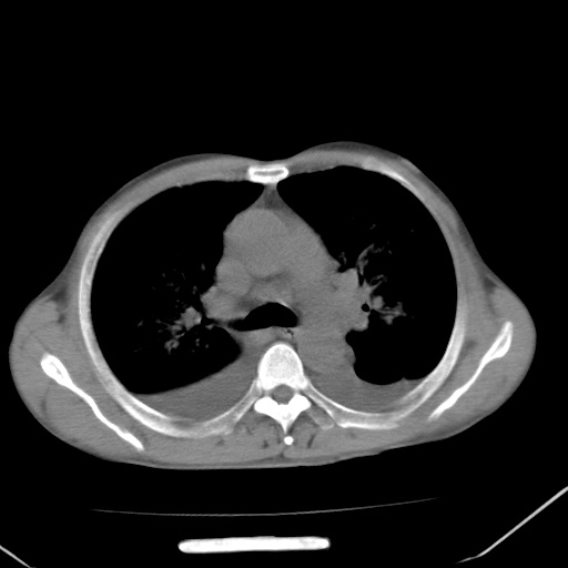
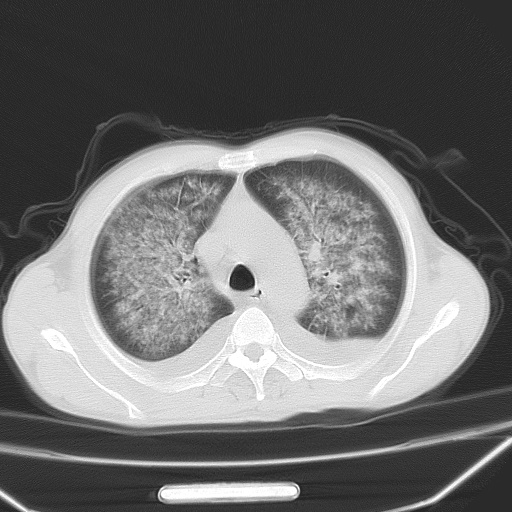
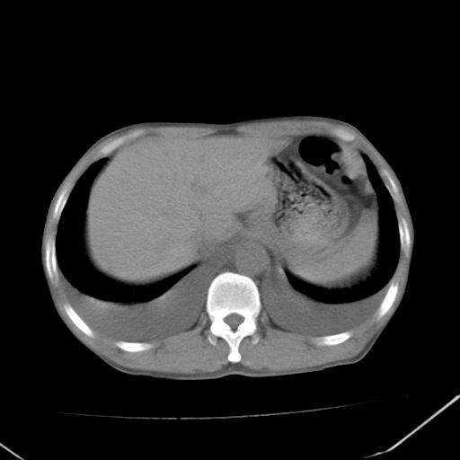
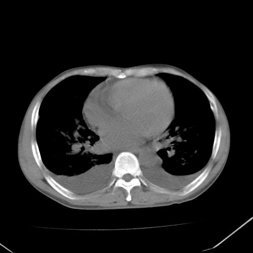
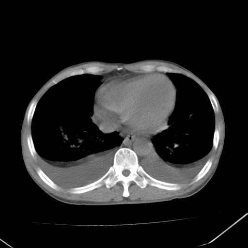
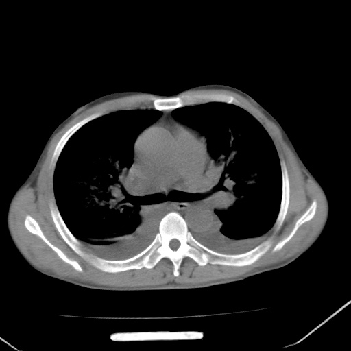
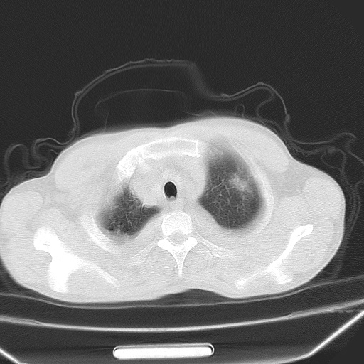
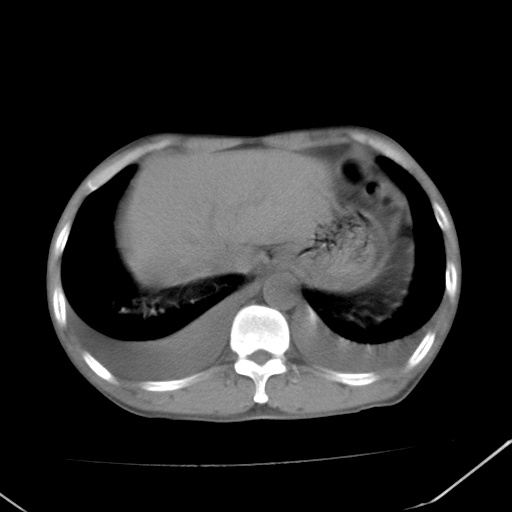
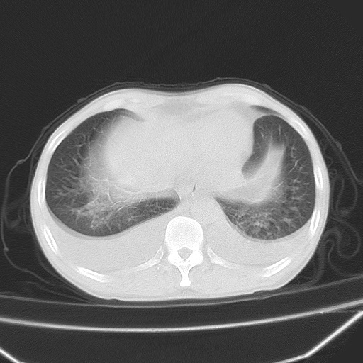
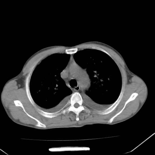
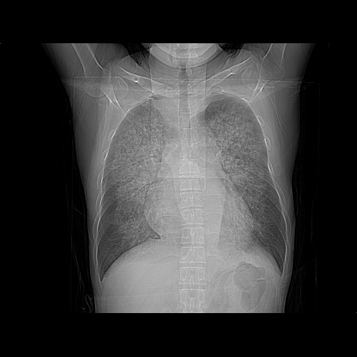
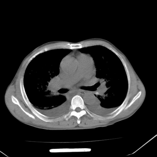
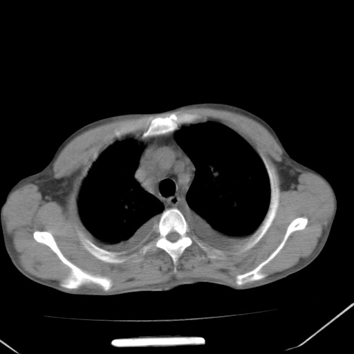
男、42岁、咯血3天。既往有甲亢、贫血、血尿蛋白尿史多年。血象:wbc:6.   中性粒:70.6%。




















































[本贴已被 jiajie 于 2009-1-19 20:08:41 修改过]

作者: lxq2000    时间: 2009-1-20 01:18
肺间质病变-肺水肿 双侧胸腔积液 查:心电图 心肌酶 是否有心脏病变
作者: 杀毒软件    时间: 2009-1-20 01:24
考虑----肺---肾综合症
作者: 王仕学    时间: 2009-1-20 01:25
结合病史考虑双肺泡积血,双侧胸腔少量积液;肺水肿待排(肺水肿症状重)。
作者: ydx_74    时间: 2009-1-20 01:38
双肺堆成磨玻璃影,双测胸腔积液。考虑:肺水肿、间质性肺炎、真菌感染、ards、hiv感染、肺出血。
作者: jiangjing    时间: 2009-1-20 01:39
考虑    肺水肿 双侧胸腔积液 ,肺-肾综合征?心功能不全
作者: xinliheng001    时间: 2009-1-20 02:09
要学习这个病例
作者: 随光逐影    时间: 2009-1-20 02:11
1)考虑肺水肿。2)双侧胸腔积液。
作者: zsl6918    时间: 2009-1-20 02:13
好病例啊!符合肺泡性肺水肿,双侧少量胸水。
作者: qingjing    时间: 2009-1-20 02:48
典型的肺水肿 双侧胸腔积液
作者: whzht    时间: 2009-1-20 02:51
肺出血肾炎综合症。
作者: taj2000    时间: 2009-1-20 03:18
谢谢各位指导。刚才急查肾功能结果:肌酐1000多。尿毒症。
作者: 同    时间: 2009-1-20 03:26
肺泡性肺水肿  双侧胸腔积液。
作者: 余辉    时间: 2009-1-20 03:31
这个临床病史太复杂,单任影像资料难以确定临床综合征。
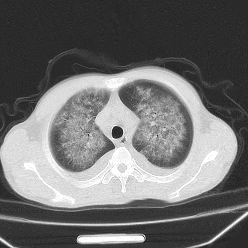
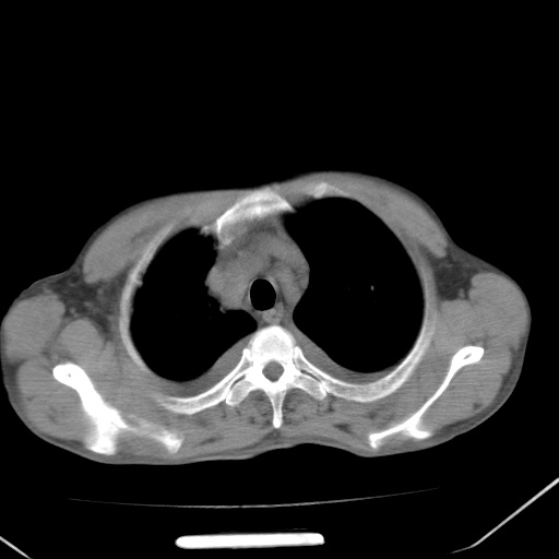
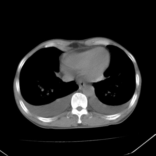
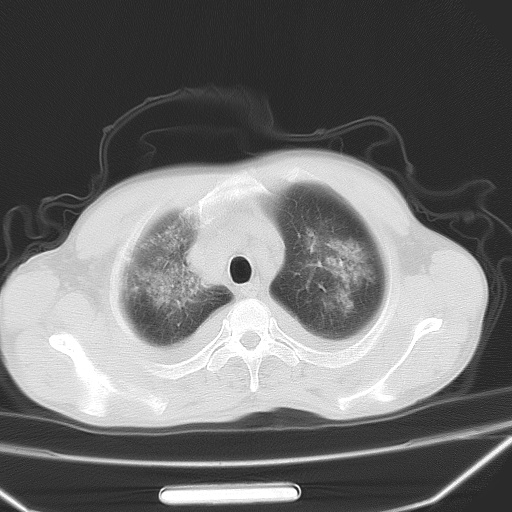
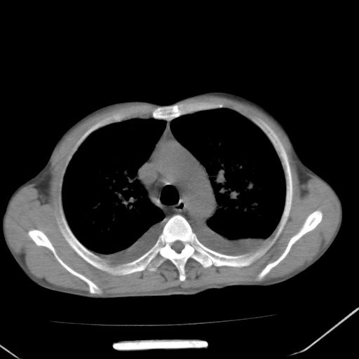
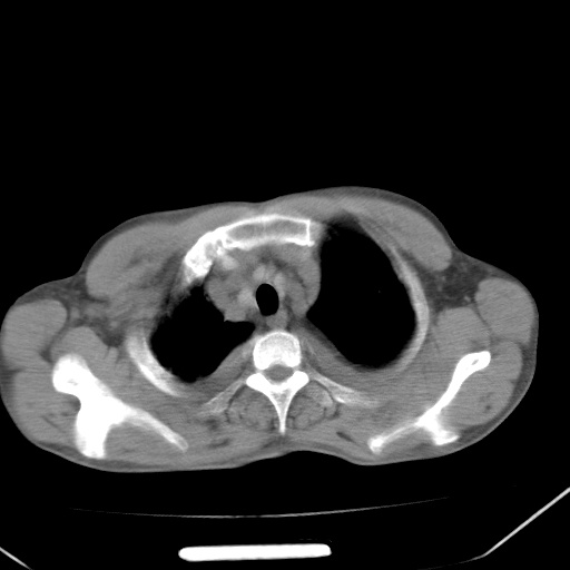
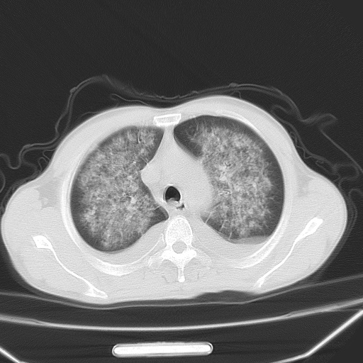
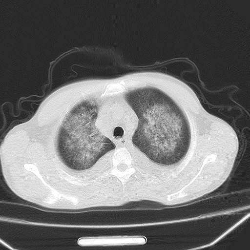
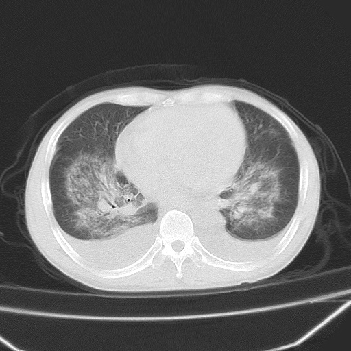
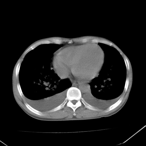
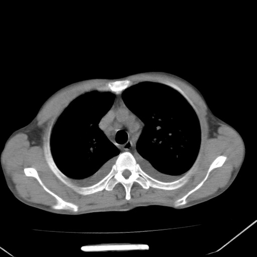
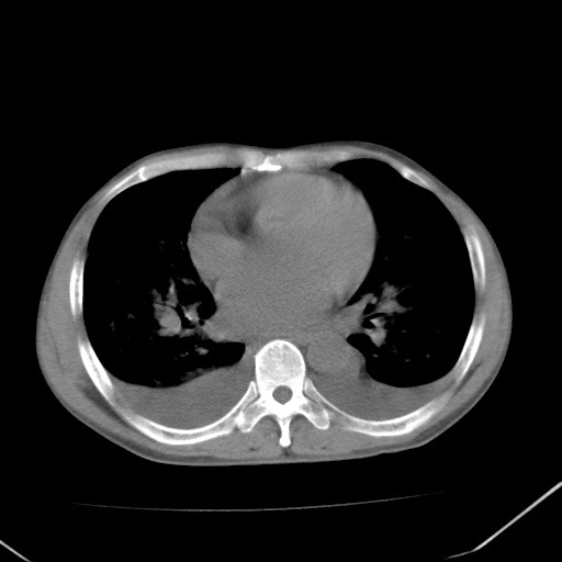
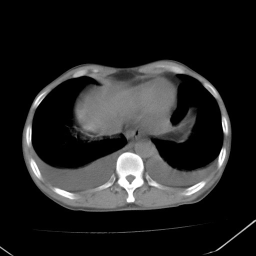
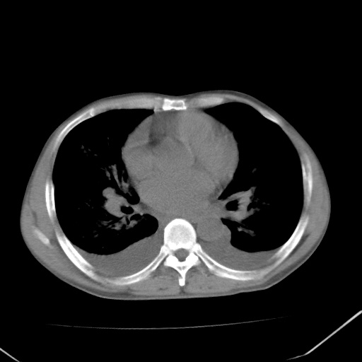
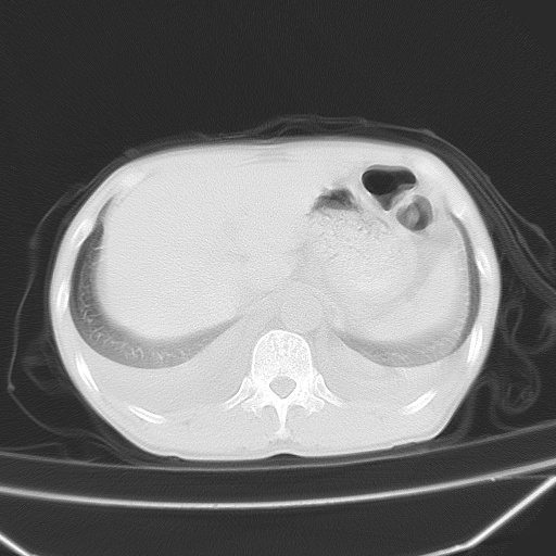
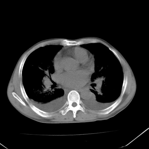
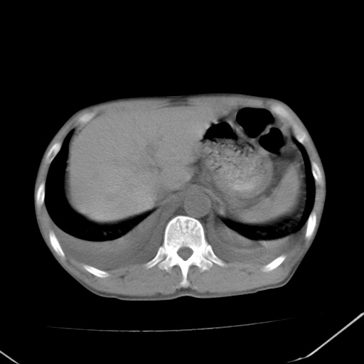
双肺野对称性磨玻璃影,分布于内中带,双侧胸水,患者有咯血。
依据前病史,影像改变可以由甲亢继发心衰解释,也可以由肾炎继发心衰解释,也可以由甲亢伴肾炎继发心衰解释,还可以由肺肾综合症解释,需结合临应,心衰可能性较大
作者: xulianj    时间: 2009-1-20 04:10
肾性肺水肿 双侧胸腔积液
作者: huenhao    时间: 2009-1-20 04:22
学习
作者: dengkai    时间: 2009-1-20 04:25
考虑    肺水肿 双侧胸腔积液 ,肺-肾综合征?心功能不全
作者: gfw    时间: 2009-1-20 04:43
好病例,学习了!
作者: 黑白光影    时间: 2009-1-20 04:45
肺水肿 双侧胸腔积液 ,肺-肾综合征,心功能不全。支持
作者: 卜一    时间: 2009-1-20 05:22
典型的肺水肿 双侧胸腔积液。支持!
作者: wangdch2008    时间: 2009-1-20 06:00
肺出血-肾炎综合征
作者: smjin    时间: 2009-1-20 06:26
经典
作者: liugh    时间: 2009-1-20 06:32
标题: 回复:ct17780:m42y,双肺病变。请会诊
以下是引用jiangjing在2009-1-19 17:39:00的发言:[br]考虑    肺水肿 双侧胸腔积液 ,肺-肾综合征?心功能不全

作者: 894072    时间: 2009-1-20 06:43
肺泡性肺水肿,双侧少量胸水。
作者: dsl555    时间: 2009-1-20 06:54
标题: 回复:ct17780:m42y,双肺病变。请会诊
以下是引用zsl6918在2009-1-19 18:13:00的发言:[br]好病例啊!符合肺泡性肺水肿,双侧少量胸水。

作者: 清风无痕    时间: 2009-1-20 07:12
由慢性肾功能衰竭引起肺部间质性肺炎。
作者: 宇宙CT    时间: 2009-1-20 07:54
典型的肺水肿 双侧胸腔积液。支持!
作者: 影像之路    时间: 2009-1-20 17:57
1、间质性肺水肿;2、结合临床病史及实验室检查,考虑为肺出血肾炎综合征。    此病需与间质性炎症、粟粒性肺结核鉴别。
肺出血-肾炎综合征又称good-pasture综合征,属少见病,近几年国内有散在报告。此病原因未明,目前多数学者认为与自身免疫有关,即病人体内存在抗-gbm抗体,而病人肺毛细血管基底膜与肾小球基底膜有交叉反应性抗原,从而引起肺泡毛细血管基底膜和肾小球基底膜病变,导致肺出血及肾炎表现。血清抗-gbm抗体阳性,或组织活检见沿肾小球和肺泡基底膜有igg沉积,为本病的3个诊断依据。临床上有许多疾病同时表现为肺出血和肾炎,如系统性红斑狼疮、韦格肉芽肿和增殖性肾小球肾炎等,但这些疾病都不同时具备上述三方面的条件
作者: 深泽交通    时间: 2009-1-20 18:01
标题: 回复:ct17780:m42y,双肺病变。请会诊
以下是引用jiangjing在2009-1-19 17:39:00的发言:[br]考虑    肺水肿 双侧胸腔积液 ,肺-肾综合征?心功能不全

作者: scdlc2008    时间: 2009-1-20 18:47
----肺---肾综合症
作者: 李得胜    时间: 2009-1-20 20:31
左心房增大,考虑心衰,肺水肿。
作者: LIAOQIANG    时间: 2009-1-20 22:20
考虑肺水肿,双侧胸腔积液。提示:肺-肾综合征?心功能不全?
作者: 宇宙CT    时间: 2009-1-21 00:42
好病例啊!符合肺泡性肺水肿,双侧少量胸水。
作者: 医中人    时间: 2009-1-21 02:31
考虑结节病?肺泡微石症?
作者: ruanzhibing    时间: 2009-1-21 03:35
双肺野广泛对称性磨玻璃影、实变影,以肺门为中心,主要分布于内中带,符合典型肺泡性肺水肿;伴双侧胸腔少量游离积液。结合患者既往病史且咯血就诊,支持多因素(尿毒症等)所致之肺水肿、肺出血、胸水;影像表现暂不考虑心源性水肿,且症状也不太符。需密切随诊结合临床治疗等进一步明确。
作者: liuchunlei    时间: 2009-1-21 04:00
心影增大密度略低,双肺磨玻璃样高密度影及双侧胸腔积液,考虑心功能不全继发双肺肺水肿及双侧胸腔积液。心影密度略低,考虑贫血所致。
作者: wangyong1977    时间: 2009-1-21 04:41
考虑    肺水肿 双侧胸腔积液 ,肺-肾综合征?心功能不全
作者: zyyzzy    时间: 2009-1-21 06:52
符合肺泡性肺水肿,双侧少量胸水
作者: jinguoji    时间: 2009-1-21 08:19
标题: 回复:ct17780:m42y,双肺病变。请会诊
以下是引用随光逐影在2009-1-19 18:11:00的发言:[br]1)考虑肺水肿。2)双侧胸腔积液。





欢迎光临 医影在线 (http://bbs.radida.com/bbs/) Powered by Discuz! X3.2