医影在线

标题: CT17781:女,38岁,胸疼1个月。 [打印本页]

作者: weijing    时间: 2009-1-20 01:44
标题: CT17781:女,38岁,胸疼1个月。
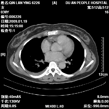
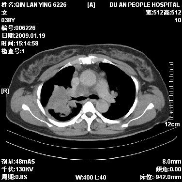
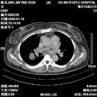
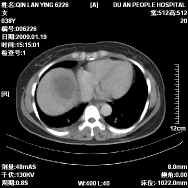
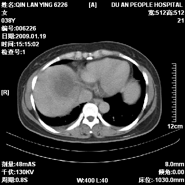
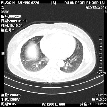
女,38岁,胸疼1个月。wbc:1万4














































[本贴已被 jiajie 于 2009-1-19 20:09:20 修改过]

作者: 杀毒软件    时间: 2009-1-20 01:50
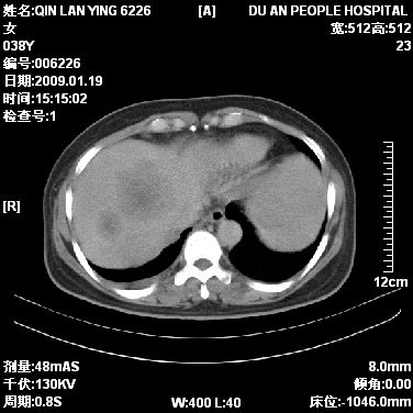
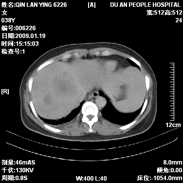
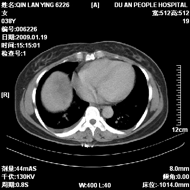
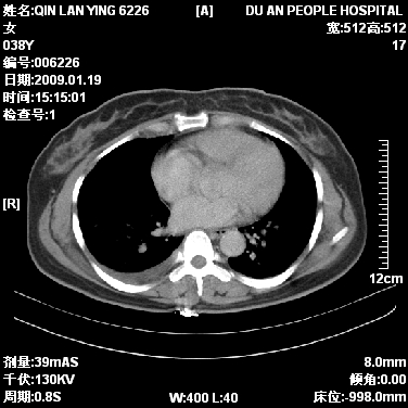
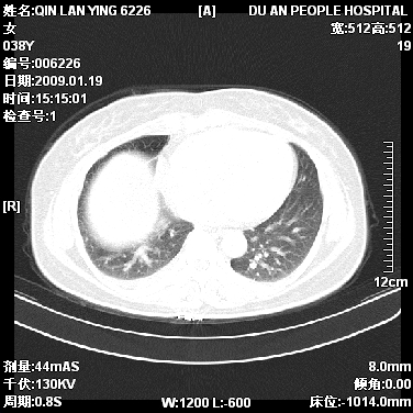
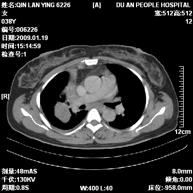
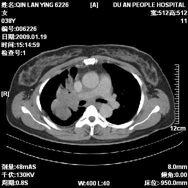
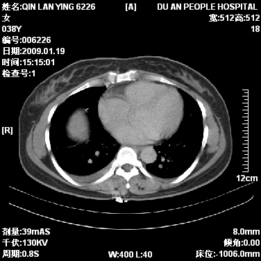
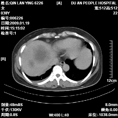
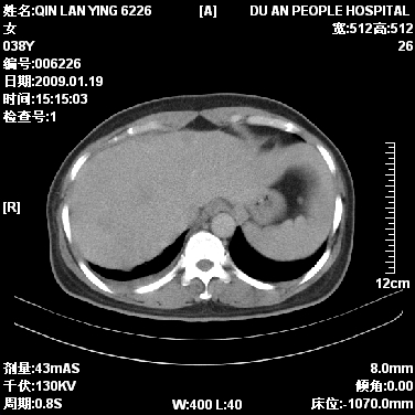
考虑----右肺中心型肺癌---阻塞性肺炎-----纵膈淋巴结及胸膜转移----肝脏转移
作者: 王仕学    时间: 2009-1-20 01:57
标题: 回复:女,38岁,胸疼1个月。
以下是引用杀毒软件在2009-1-19 17:50:00的发言:[br]考虑----右肺中心型肺癌---阻塞性肺炎-----纵膈淋巴结及胸膜转移----肝脏转移

作者: zsl6918    时间: 2009-1-20 01:58
标题: 回复:女,38岁,胸疼1个月。
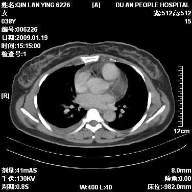
右肺中心型肺癌纵膈淋巴结转移,肝脏转移。右侧胸腔少量积液。
作者: xinliheng001    时间: 2009-1-20 01:59
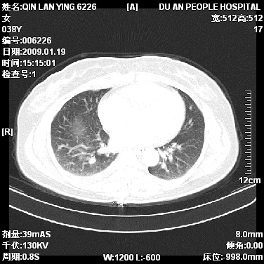
右上肺肿块、肺不张,纵膈淋巴结增大,肝内见异常低密度......
作者: 随光逐影    时间: 2009-1-20 02:07
1)右肺中央型肺癌并右肺上叶阻塞性肺炎、节段性肺不张,纵隔淋巴结转移、右侧胸膜转移、肝脏转移。2)右侧胸腔少量积液。
作者: 余辉    时间: 2009-1-20 02:49
标题: 回复:女,38岁,胸疼1个月。
以下是引用杀毒软件在2009-1-19 17:50:00的发言:[br]考虑----右肺中心型肺癌---阻塞性肺炎-----纵膈淋巴结及胸膜转移----肝脏转移

支持
作者: jjy000788    时间: 2009-1-20 02:51
经典1
作者: 同    时间: 2009-1-20 03:28
标题: 回复:女,38岁,胸疼1个月。
以下是引用随光逐影在2009-1-19 18:07:00的发言:[br]1)右肺中央型肺癌并右肺上叶阻塞性肺炎、节段性肺不张,纵隔淋巴结转移、右侧胸膜转移、肝脏转移。2)右侧胸腔少量积液。

作者: laolang    时间: 2009-1-20 04:00
1)右肺中央型肺癌并右肺上叶阻塞性肺炎、节段性肺不张,纵隔淋巴结转移、右侧胸膜转移、肝脏转移。2)右侧胸腔少量积液。
作者: huenhao    时间: 2009-1-20 04:10
支持
作者: xulianj    时间: 2009-1-20 04:28
右肺中心型肺癌纵膈淋巴结转移,肝脏转移。右侧胸腔少量积液。
作者: dengkai    时间: 2009-1-20 04:28
右肺中心型肺癌纵膈淋巴结转移,肝脏转移。右侧胸腔少量积液。
作者: zbp537    时间: 2009-1-20 04:35
1、右侧中央型肺癌并阻塞性肺不张,纵隔内、主动脉弓旁、右肺门淋巴结及肝脏转移可能性大,建议纤支镜进一步检查。
2、右侧胸腔积液。

本病例有几个容易诊断的地方:1、右肺上叶前段支气管闭塞,肺不张。2、淋巴结明显肿大。3、肝脏多个类圆形低密度影呈“牛眼征”改变,高度提示转移。
作者: gfw    时间: 2009-1-20 04:36
右肺中心型肺癌纵膈淋巴结转移,肝脏转移。右侧胸腔少量积液。
作者: 李三住医    时间: 2009-1-20 04:42
同意楼上意见
作者: 黑白光影    时间: 2009-1-20 04:49
1)右肺中央型肺癌并右肺上叶阻塞性肺炎、节段性肺不张,纵隔淋巴结转移、右侧胸膜转移、肝脏转移。2)右侧胸腔少量积液。支持
作者: 卜一    时间: 2009-1-20 05:20
以下是引用杀毒软件在2009-1-19 17:50:00的发言:
考虑----右肺中心型肺癌---阻塞性肺炎-----纵膈淋巴结及胸膜转移----肝脏转移


支持!!!
作者: 影象小泰斗    时间: 2009-1-20 05:26
肺癌伴纵隔淋巴结转移、肝脏转移
作者: smjin    时间: 2009-1-20 06:22
肺癌越来越年轻化了,以前肺癌老年化的时代一去不复返了。现在35岁左右的肺癌已经不稀奇了~~~~
作者: 894072    时间: 2009-1-20 06:35
zhege这个病人是麦克白杆菌肺炎,合并肝脓肿,做个zeng强
作者: 宇宙CT    时间: 2009-1-20 07:57
1)右肺中央型肺癌并右肺上叶阻塞性肺炎、节段性肺不张,纵隔淋巴结转移、右侧胸膜转移、肝脏转移。2)右侧胸腔少量积液。
作者: 联众之王    时间: 2009-1-20 14:45
水平裂受压向下呈"弧行",肿块内梢低密度,肝内子母灶,血象高:先考虑脓肿
                            待排:肺癌
作者: SOS.LA    时间: 2009-1-20 15:04
也是sclc(ed)
作者: 影像之路    时间: 2009-1-20 17:12
从影像学角度分析      右肺上叶中央型肺癌,并阻塞性不张、肺炎,纵隔淋巴结、膈顶淋巴结转移。
肝内两个大小不等低密度结节,内可见更低密度影,首先考虑肝内转移瘤,但联想到患者wbc1万4,建议楼主还是做个增强比较明确,除外肝脓肿的可能。
作者: 深泽交通    时间: 2009-1-20 17:59
标题: 回复:ct17781:女,38岁,胸疼1个月。
以下是引用杀毒软件在2009-1-19 17:50:00的发言:[br]考虑----右肺中心型肺癌---阻塞性肺炎-----纵膈淋巴结及胸膜转移----肝脏转移

作者: ydx_74    时间: 2009-1-20 18:11
唉,才38岁!
作者: 宇宙CT    时间: 2009-1-21 00:36
1)右肺中央型肺癌并右肺上叶阻塞性肺炎、节段性肺不张,纵隔淋巴结转移、右侧胸膜转移、肝脏转移。2)右侧胸腔少量积液。
作者: ymnn    时间: 2009-1-21 02:21
右肺中心型肺癌纵膈淋巴结转移,肝脏转移。右侧胸腔少量积液。
作者: 医中人    时间: 2009-1-21 02:26
支持
作者: 清风无痕    时间: 2009-1-21 02:37
右肺中心型肺癌纵膈淋巴结转移,肝脏转移。右侧胸腔少量积液。
作者: yangyudong333    时间: 2009-1-21 03:19
考虑----右肺中心型肺癌---阻塞性肺炎-----纵膈淋巴结及胸膜转移----肝脏转移
作者: wangyong1977    时间: 2009-1-21 04:45
1)右肺中央型肺癌并右肺上叶阻塞性肺炎、节段性肺不张,纵隔淋巴结转移、右侧胸膜转移、肝脏转移。2)右侧胸腔少量积液。
作者: wzr    时间: 2009-1-21 06:09
右肺中心型肺癌纵膈淋巴结转移,肝脏转移。右侧胸腔少量积液
作者: zyyzzy    时间: 2009-1-21 06:44
1)右肺中央型肺癌并右肺上叶阻塞性肺炎、节段性肺不张,纵隔淋巴结转移、右侧胸膜转移、肝脏转移。2)右侧胸腔少量积液。
作者: jinguoji    时间: 2009-1-21 08:24
标题: 回复:ct17781:女,38岁,胸疼1个月。
以下是引用杀毒软件在2009-1-19 17:50:00的发言:[br]考虑----右肺中心型肺癌---阻塞性肺炎-----纵膈淋巴结及胸膜转移----肝脏转移





欢迎光临 医影在线 (http://bbs.radida.com/bbs/) Powered by Discuz! X3.2