










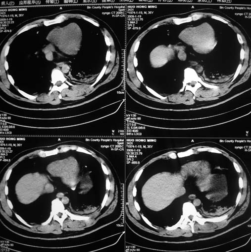
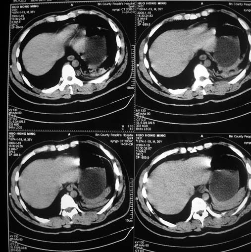
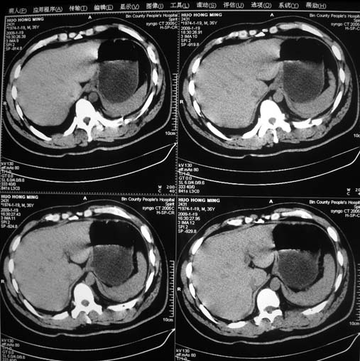
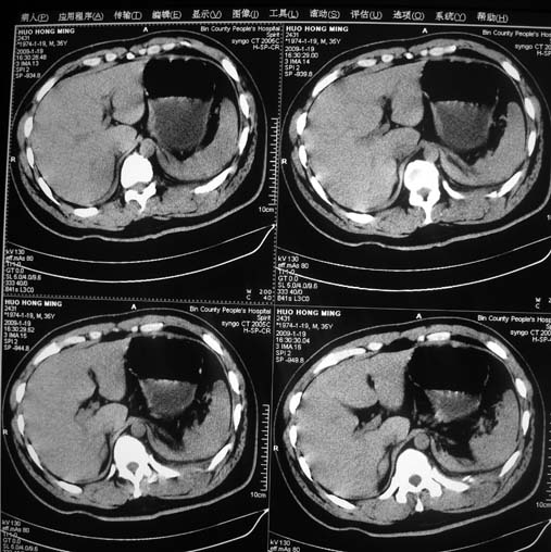
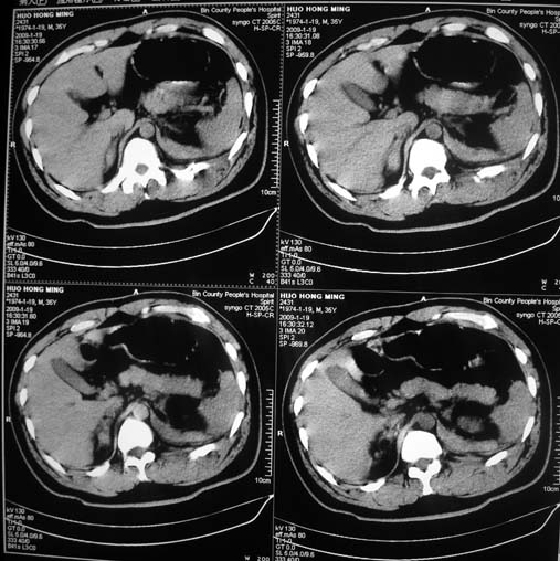
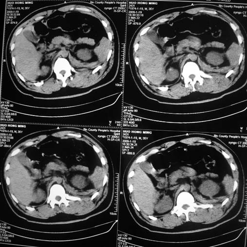
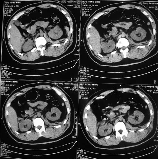
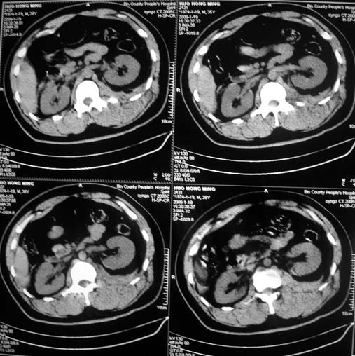
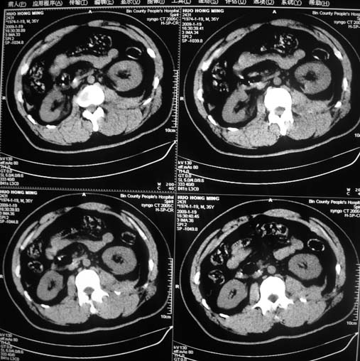
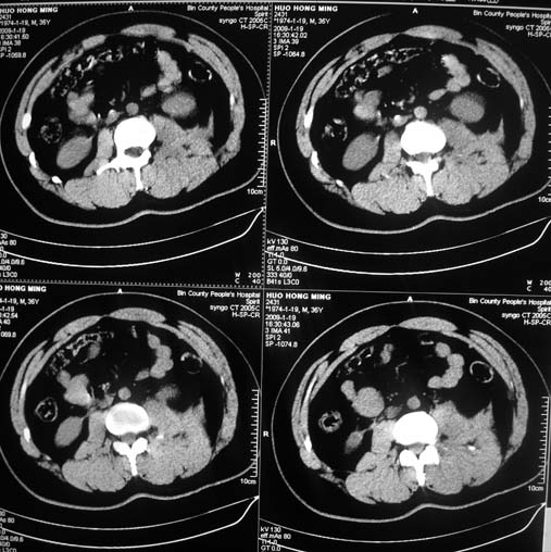
以下是引用余辉在2009-1-20 8:22:00的发言:[br]右侧肾上腺明显增大、边缘不光整,肯定有问题,结合患者病史考虑肾上腺挫伤、伴血肿形成。[br]另左肾后唇包膜下方可见局限性新月形高密度影,考虑肾包膜下出血[br]余同意楼上,建议增强排除脾破列
以下是引用随光逐影在2009-1-20 8:21:00的发言:[br]1)左侧多发肋骨及部分腰椎左侧横突骨折。2)左侧肾旁后间隙及同侧胸腔积血。3)左侧腰大肌肿胀。
以下是引用随光逐影在2009-1-20 8:21:00的发言:[br]1)左侧多发肋骨及部分腰椎左侧横突骨折。2)左侧肾旁后间隙及同侧胸腔积血。3)左侧腰大肌肿胀。
| 欢迎光临 医影在线 (http://bbs.radida.com/bbs/) | Powered by Discuz! X3.2 |