



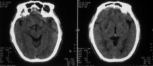
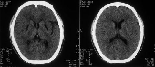
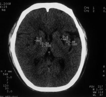
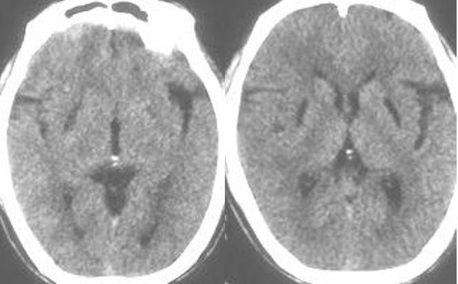
以下是引用随光逐影在2009-1-20 19:38:00的发言:[br]双侧豆状核对称性脑软化灶(中毒性脑病后遗改变?肝豆状核变性?)。
以下是引用卜一在2009-1-20 19:51:00的发言:[br][br] 双侧豆状核对称性脑软化灶(中毒性脑病后遗改变?肝豆状核变性?)。 [br] [br]支持!
以下是引用随光逐影在2009-1-20 19:38:00的发言:[br]双侧豆状核对称性脑软化灶(中毒性脑病后遗改变?肝豆状核变性?)。
以下是引用jiangjing在2009-1-21 9:38:00的发言:[br]双侧豆状核对称性脑软化灶(中毒性脑病后遗改变?肝豆状核变性?)。

| 欢迎光临 医影在线 (http://bbs.radida.com/bbs/) | Powered by Discuz! X3.2 |