医影在线

标题: CT17787:头ct,请帮忙看看右顶部有无异常 [打印本页]

作者: yangjyan    时间: 2009-1-21 04:04
标题: CT17787:头ct,请帮忙看看右顶部有无异常
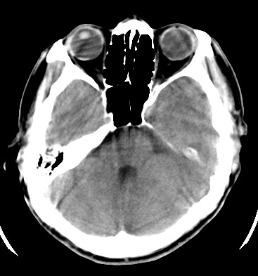
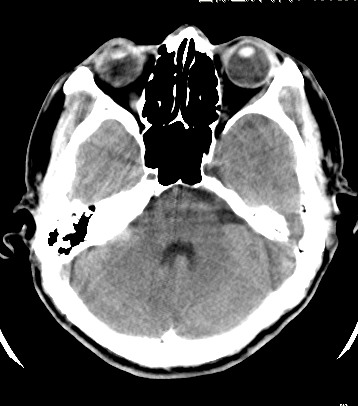
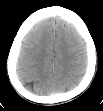
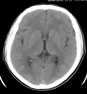
男,58岁,偶有头疼













[本贴已被 翁志蓬 于 2009-1-20 22:16:02 修改过]

作者: 流浪星    时间: 2009-1-21 04:11
未见明显异常。右顶部低密度影为深入的脑沟。
作者: 影象小泰斗    时间: 2009-1-21 04:11
增宽的脑沟!无异常!
作者: 随光逐影    时间: 2009-1-21 04:17
未见明确异常。
作者: xulianj    时间: 2009-1-21 04:23
未见明确异常。
作者: dengkai    时间: 2009-1-21 04:53
未见明确异常。
作者: 深泽交通    时间: 2009-1-21 05:08
是宽大的脑沟,局部不象有萎缩现象
作者: 林林林    时间: 2009-1-21 05:16
未见明确异常
作者: 黑白光影    时间: 2009-1-21 05:16
未见明确异常。
作者: zsl6918    时间: 2009-1-21 05:16
正常所见
作者: ct诊断高手    时间: 2009-1-21 05:20
未见明确异常
作者: panyishengct    时间: 2009-1-21 05:42
未见明确异常。
作者: 余辉    时间: 2009-1-21 05:58
未见明确异常
作者: zyyzzy    时间: 2009-1-21 06:24
未见明显异常
作者: zyyzzy    时间: 2009-1-21 06:26
未见明显异常
作者: 杀毒软件    时间: 2009-1-21 06:53
未见明确异常
作者: xjzhao    时间: 2009-1-21 10:00
未见异常,
作者: zbp537    时间: 2009-1-21 17:25
增宽的脑沟
诊断依据:
低密度影周围脑组织边缘均有一层脑灰质覆盖。
作者: jiangjing    时间: 2009-1-21 17:37
未见明确异常
作者: sdzyy    时间: 2009-1-21 17:37
增宽的脑沟!无异常!
作者: 钥匙    时间: 2009-1-21 17:41
未见明显异常
作者: wansheng    时间: 2009-1-21 19:08
标题: 回复:ct17787:头ct,请帮忙看看右顶部有无异常
以下是引用zsl6918在2009-1-20 21:16:00的发言:[br]正常所见

作者: ydx_74    时间: 2009-1-22 00:21
未见明确异常
作者: yangzh777    时间: 2009-1-22 05:29
应该是正常的
作者: tiger-w    时间: 2009-1-22 05:50
正常啊,是对右顶增宽脑沟有疑问吗
作者: zhaozejun1    时间: 2009-1-23 07:06
未见异常
作者: jinguoji    时间: 2009-2-7 22:18
未见明确异常。
作者: wy232326    时间: 2009-2-8 00:04
未见明确异常。
作者: zjb    时间: 2009-2-8 04:17
正常所见




欢迎光临 医影在线 (http://bbs.radida.com/bbs/) Powered by Discuz! X3.2