






































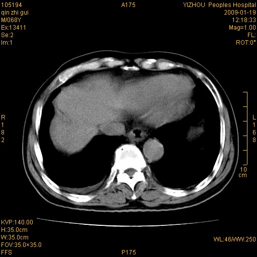
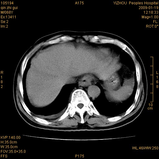
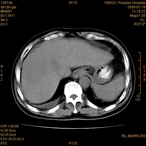
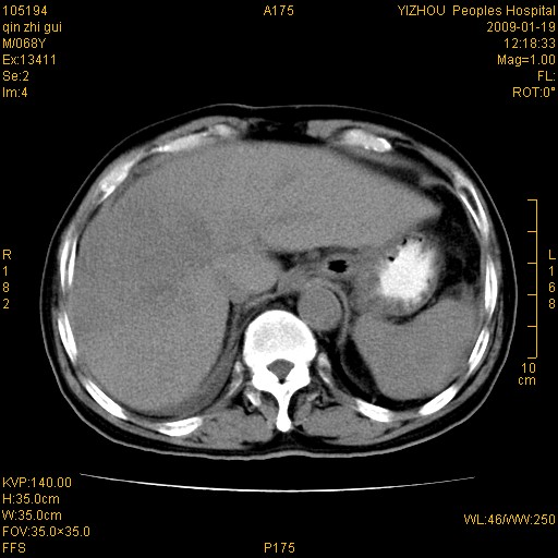
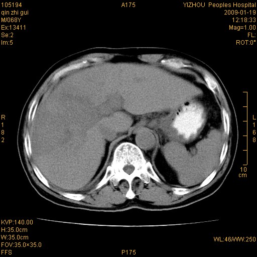
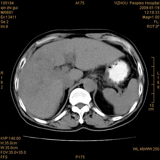
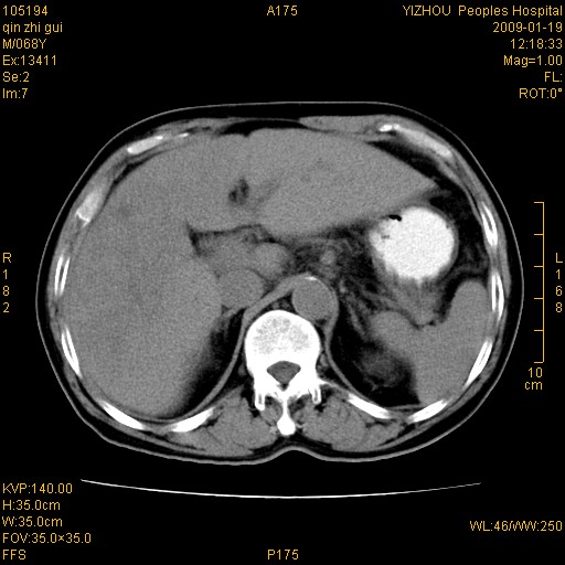
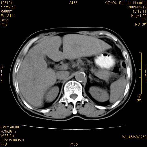
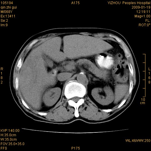
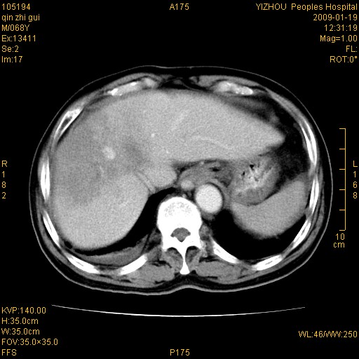
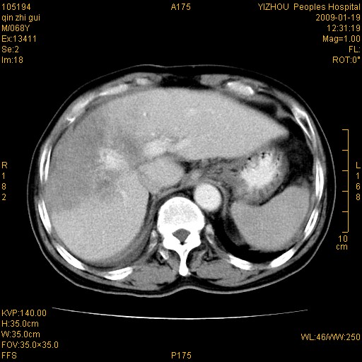
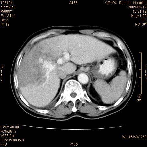
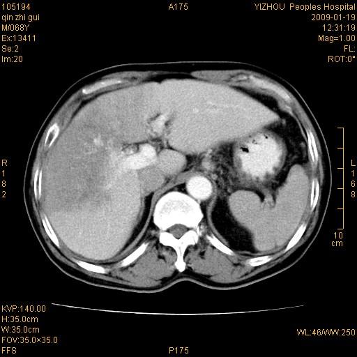
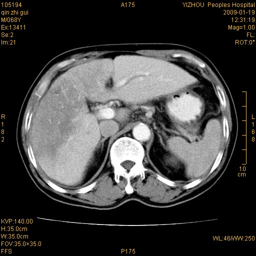
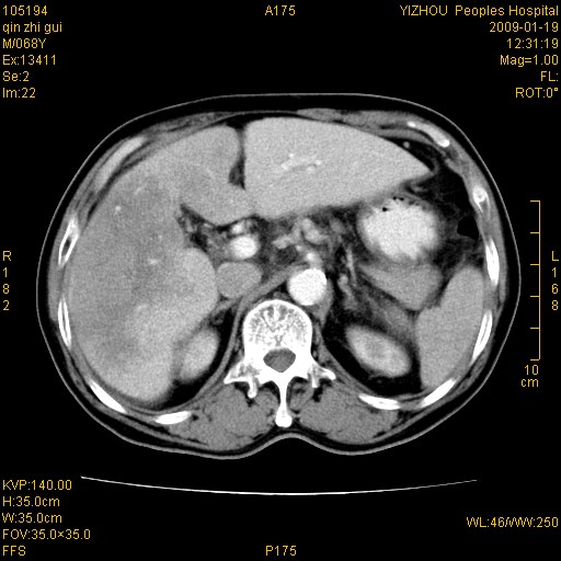
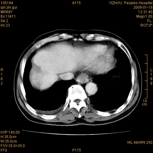
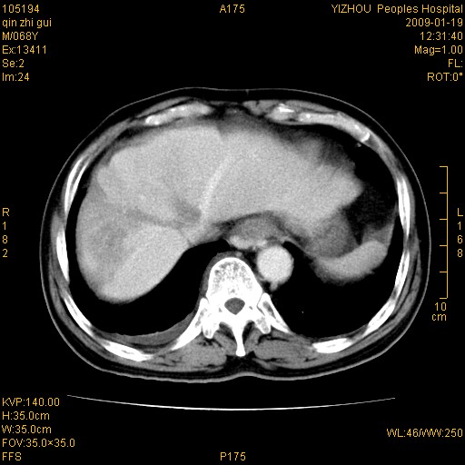
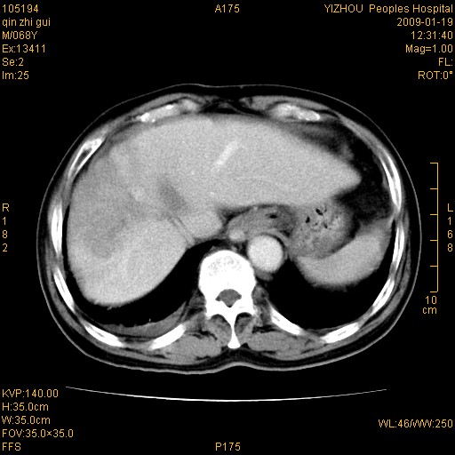
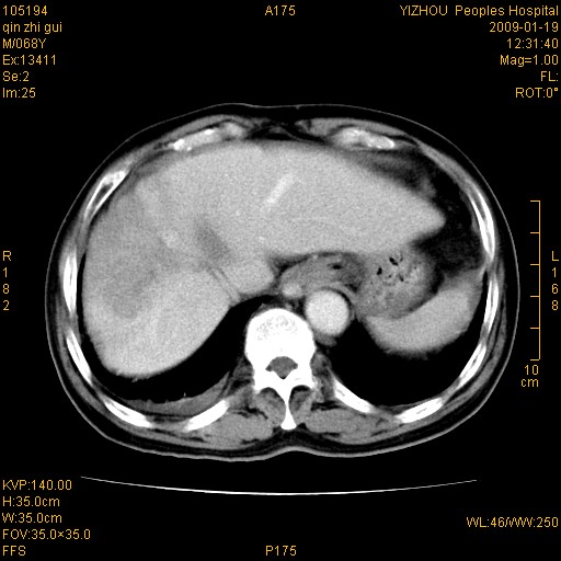
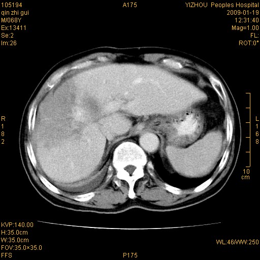
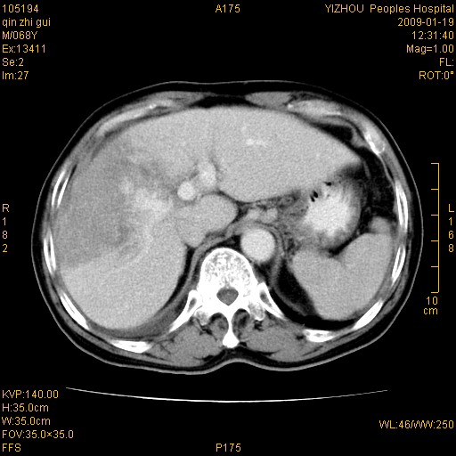
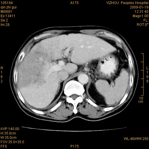
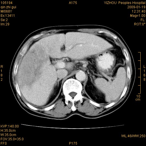
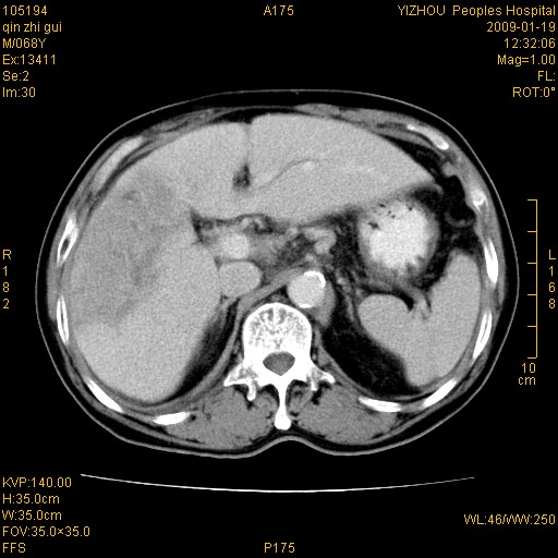
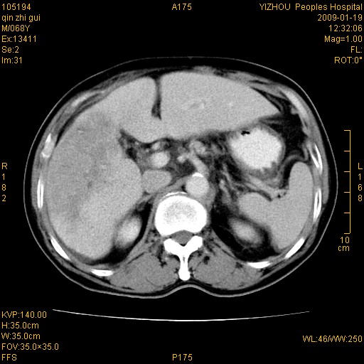
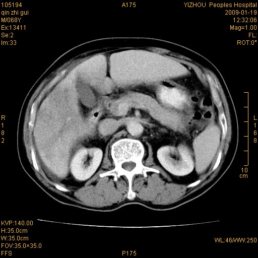
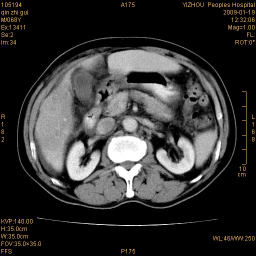
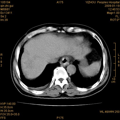
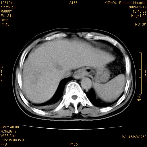
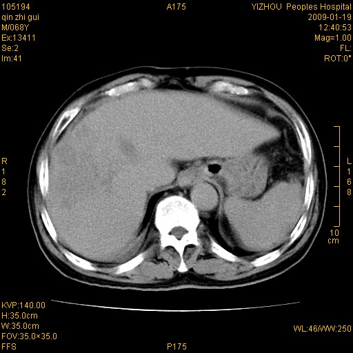
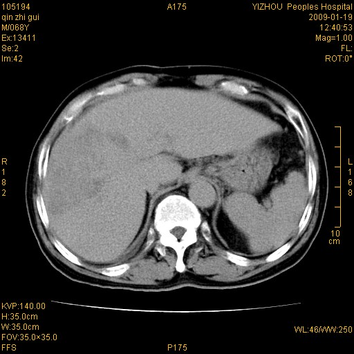
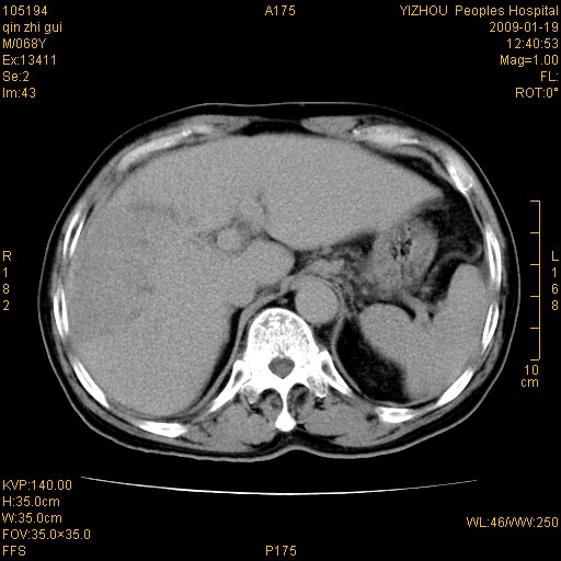
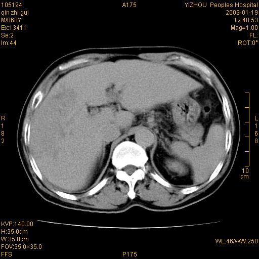
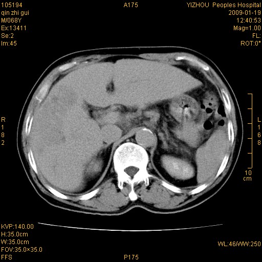
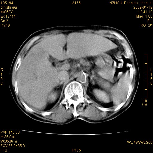
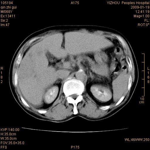
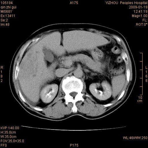
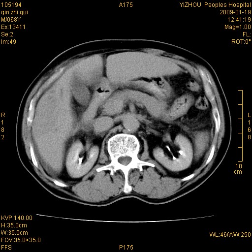
以下是引用随光逐影在2009-1-21 16:11:00的发言:[br]1)考虑肝右叶肝癌并肝静脉及门静脉瘤栓形成。2)肝硬化,少量腹水。3)胆囊炎。4)右侧少量胸腔积液。
引用第2楼余辉于2009-01-21 16:20发表的 :
病灶外缘凹凸不平,平扫低密度,增强动脉期有强化,门脉早显,静脉期及延期呈延迟强化,结合病史考虑右肝前叶巨块型肝癌可能性大,强化表现不除外胆管细胞癌
| 欢迎光临 医影在线 (http://bbs.radida.com/bbs/) | Powered by Discuz! X3.2 |