医影在线

标题: CT17790:上腹部平扫。请老师们指教。 [打印本页]

作者: xupengjie    时间: 2009-1-21 17:57
标题: CT17790:上腹部平扫。请老师们指教。
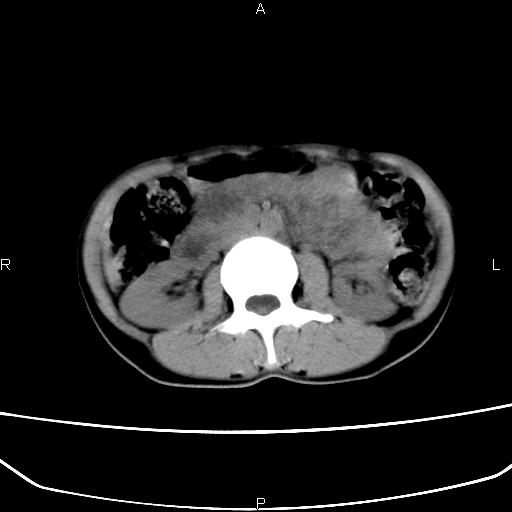
患者女40岁,自诉近半年来感觉上腹部疼痛,饱胀感。大便青黑色。曾做胃镜示浅表性胃炎。无其他病史。





































[本贴已被 翁志蓬 于 2009-1-21 22:48:43 修改过]

作者: huenhao    时间: 2009-1-21 18:13
考虑胃癌伴腹膜及腹膜后转移。
作者: qingjing    时间: 2009-1-21 18:22
不考虑胃癌没看见胃癌的征象;
腹膜后多发软组织密度影,考虑淋巴结转移。淋巴瘤不除外。
作者: xizhong    时间: 2009-1-21 18:22
(1)胃ca并腹膜后淋巴转移(2)脾大
作者: dengkai    时间: 2009-1-21 21:25
考虑胃癌伴腹膜及腹膜后转移。
作者: 随光逐影    时间: 2009-1-22 00:16
建议行进一步检查。
作者: ydx_74    时间: 2009-1-22 00:38
胃癌在哪?腹膜后淋巴结肿大,胰腺可疑。
作者: zsl6918    时间: 2009-1-22 00:53
建议:胃肠道准备。另外需强化。
作者: sdzyy    时间: 2009-1-22 00:59
建议行进一步检查。
作者: ymnn    时间: 2009-1-22 01:46
胃癌在哪?腹膜后淋巴结肿大,胰腺可疑。
作者: bcygz    时间: 2009-1-22 02:58
说的都有道理,尚需进一步检查
作者: yangzh777    时间: 2009-1-22 05:22
胃明显扩张,十二指肠降部及水平部显明不清,腹膜后淋巴结肿大,考虑十二指肠肿瘤性病变。
作者: 黑白光影    时间: 2009-1-22 23:53
上消化道仍不可忽视,建议作进一步检查。
作者: jinguoji    时间: 2009-2-7 22:07
考虑腹膜后转移,建议进一步检查。
作者: zjb    时间: 2009-2-8 04:33
胃癌在哪?腹膜后淋巴结肿大,胰腺可疑




欢迎光临 医影在线 (http://bbs.radida.com/bbs/) Powered by Discuz! X3.2