医影在线

标题: CT17773B盆腔CT平扫 [打印本页]

作者: 同    时间: 2009-1-22 00:06
标题: CT17773B盆腔CT平扫
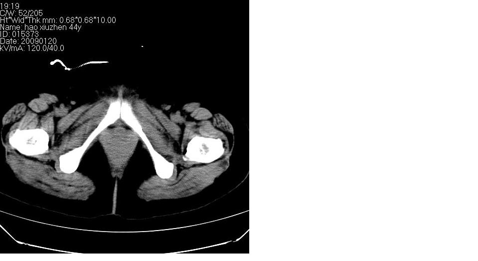
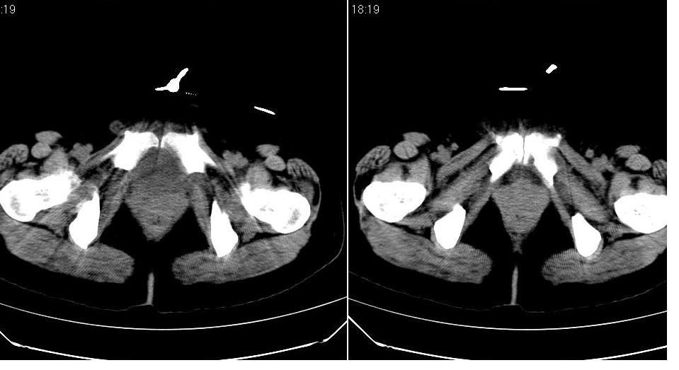
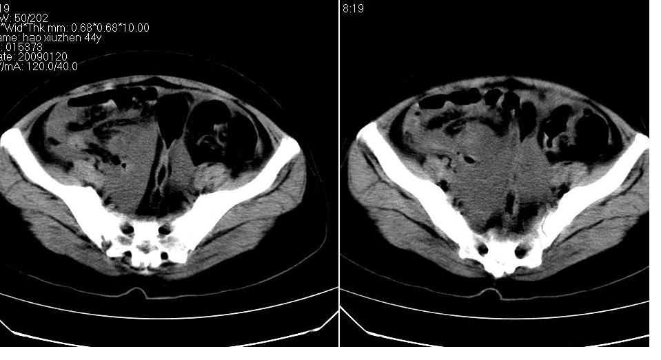
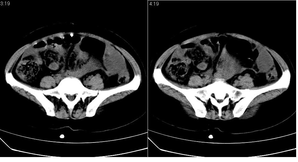
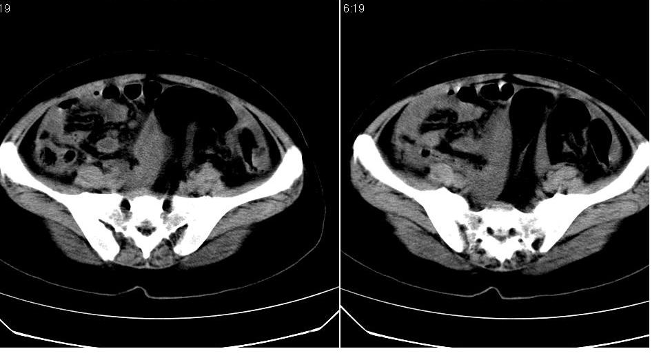
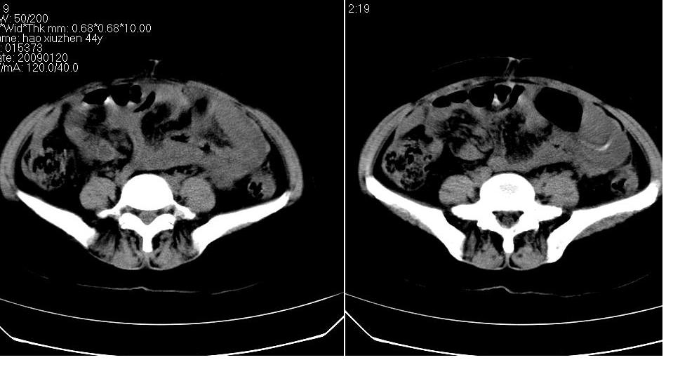
女 44岁,于ct17773号病例同一个病人。有结果我会尽快告诉大家。











[本贴已被 翁志蓬 于 2009-1-21 22:51:34 修改过]

作者: 随光逐影    时间: 2009-1-22 00:44
盆腔及腹腔积液,原因待查。
作者: zsl6918    时间: 2009-1-22 00:49
标题: 回复:盆腔ct平扫
盆腔及腹腔积液,原因待查。
作者: dengkai    时间: 2009-1-22 02:22
盆腔及腹腔积液,原因待查。
作者: 流浪星    时间: 2009-1-22 02:24
盆腔及腹腔积液,原因待查。支持
作者: 杀毒软件    时间: 2009-1-22 03:25
标题: 回复:盆腔ct平扫
以下是引用随光逐影在2009-1-21 16:44:00的发言:[br]盆腔及腹腔积液,原因待查。

支持
作者: tiger-w    时间: 2009-1-22 06:31
支持:盆腔及腹腔积液,原因待查。
作者: xysheng    时间: 2009-1-22 07:11
结核性腹膜炎可能,
作者: x-man    时间: 2009-1-22 07:23
盆腔及腹腔积液,原因待查
作者: 黑白光影    时间: 2009-1-22 23:58
盆腔及腹腔积液,期待结果。
作者: jinguoji    时间: 2009-2-7 07:14
盆腔及腹腔积液,原因待查。




欢迎光临 医影在线 (http://bbs.radida.com/bbs/) Powered by Discuz! X3.2