






以下是引用随光逐影在2009-1-22 9:27:00的发言:[br]1)考虑胆囊癌侵犯肝脏。2)肝总管及胆总管多发性结石并肝内、外胆管扩张。
以下是引用随光逐影在2009-1-22 9:27:00的发言:[br]1)考虑胆囊癌侵犯肝脏。2)肝总管及胆总管多发性结石并肝内、外胆管扩张。
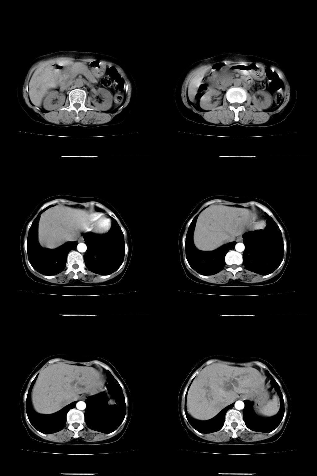
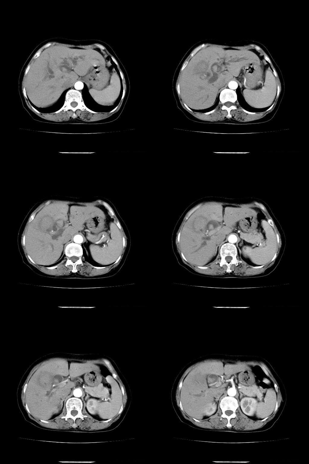
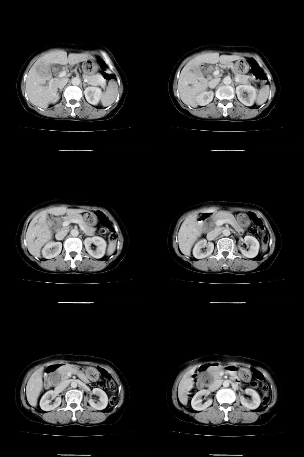
以下是引用余辉在2009-1-22 8:49:00的发言:[br]平扫肝内胆管扩张,右肝前叶球形低密度影,边缘较清楚,胆囊壁增厚,内可见较大高密度影,胆总管内亦可见高密度影,胰头区结构欠清。[br]增强动脉期见右肝前叶球形变灶明显增强,边缘见环状低密度区。胆囊见高密度影无增强,胆总管明显扩张,内见块状高密度影,周围环以低密度区,边界清楚。[br]静脉期见右肝前叶病灶持续增强,密度较动脉期增高。[br]考虑1胆囊及胆总管结石伴梗阻性胆系扩张,胆囊胆管炎。[br] 2右肝前叶占位性病变,强化规律符合胆管细胞癌,建议结合其他检查协诊
| 欢迎光临 医影在线 (http://bbs.radida.com/bbs/) | Powered by Discuz! X3.2 |