医影在线

标题: CT17800:女性,70岁 [打印本页]

作者: 网事随风    时间: 2009-1-22 18:01
标题: CT17800:女性,70岁
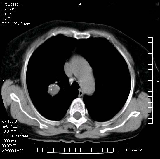
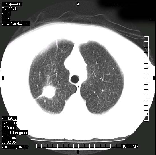
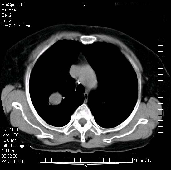
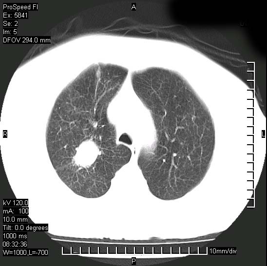
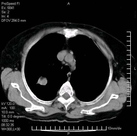
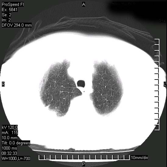
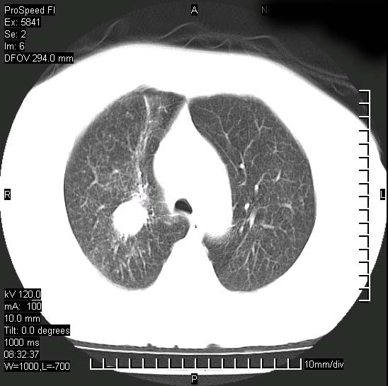
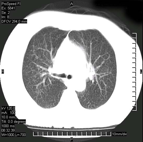
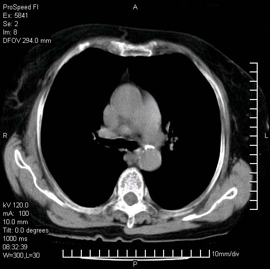
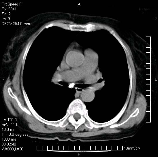
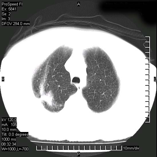
胸痛,咳嗽,气短一周,无发热。右上肺见一结节灶,边缘刺角,内见多个小钙化结节。考虑结核球?肿瘤? 余无异常没有上传。



















[本贴已被 jiajie 于 2009-1-22 13:54:06 修改过]

作者: 随光逐影    时间: 2009-1-22 18:08
考虑右肺上叶继发性肺结核,结核球形成。

建议:追踪复查。
作者: 杀毒软件    时间: 2009-1-22 18:11
支持---随光逐影老师考虑
作者: 深泽交通    时间: 2009-1-22 18:20
标题: 回复:胸部:女性,70岁
以下是引用随光逐影在2009-1-22 10:08:00的发言:[br]考虑右肺上叶继发性肺结核,结核球形成。[br][br]建议:追踪复查。

作者: wxq2008    时间: 2009-1-22 19:37
支持结核球诊断但建议薄扫
作者: jiangjing    时间: 2009-1-22 20:31
考虑右肺上叶继发性肺结核,结核球形成。

建议:追踪复查。
作者: 流浪星    时间: 2009-1-22 20:37
考虑右肺上叶继发性肺结核,结核球形成。支持!
作者: judy160954    时间: 2009-1-22 20:54
慢性炎性病变,结核可能性大些。
作者: scdlc2008    时间: 2009-1-22 21:57
结核球形成。支持!
作者: 陈正林    时间: 2009-1-22 23:45
考虑右肺上叶继发性肺结核,结核球形成。

建议:追踪复查。
作者: 黑白光影    时间: 2009-1-23 00:26
支持2楼意见。
作者: hzmdoc    时间: 2009-1-23 01:47
支持结核球形成
作者: 宇宙CT    时间: 2009-1-23 01:48
考虑右肺上叶继发性肺结核,结核球形成。

建议:追踪复查。
作者: dengkai    时间: 2009-1-23 02:02
考虑右肺上叶继发性肺结核,结核球形成。

建议:追踪复查。
作者: liuhuizhs    时间: 2009-1-23 02:27
胸膜是受侵的,考虑感染,结核球可能性大
作者: xulianj    时间: 2009-1-23 03:19
考虑右肺上叶继发性肺结核,结核球形成。
作者: zimiu    时间: 2009-1-23 04:02
考虑右肺上叶继发性肺结核,结核球形成。
作者: zyyzzy    时间: 2009-1-23 07:05
考虑结核球,并胸膜局限性增厚!!
作者: xiaomeng    时间: 2009-1-23 09:01
为什么不考虑肺癌????????????
作者: LIAOQIANG    时间: 2009-1-23 17:28
考虑右肺上叶继发性肺结核,结核球形成。
作者: huqi8888    时间: 2009-1-23 17:56
支持考虑右肺上叶继发性肺结核,结核球形成。




欢迎光临 医影在线 (http://bbs.radida.com/bbs/) Powered by Discuz! X3.2