医影在线
标题: PED1727:急!请各位老师讨论 [打印本页]
作者: 边生丽 时间: 2009-1-24 19:18
标题: PED1727:急!请各位老师讨论
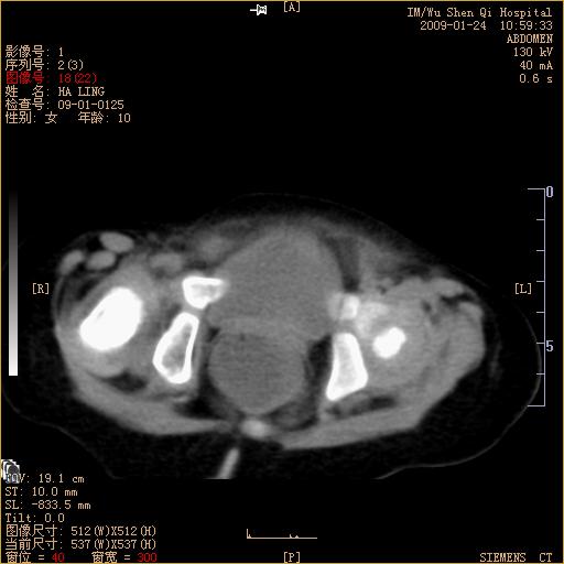
女 10岁 吐泻5天















[本贴已被 jiajie 于 2009-1-24 18:40:26 修改过]
作者: 边生丽 时间: 2009-1-24 19:21
标题: 其他的图片
其余的图片




[本贴已被 边生丽 于 2009-1-24 11:30:20 修改过]
作者: SOS.LA 时间: 2009-1-24 19:59
低位肠梗阻.
作者: dengkai 时间: 2009-1-24 22:28
肠管扩张!
作者: qingjing 时间: 2009-1-24 22:32
肠管积气积液,还有液面,建议结合临床
作者: ydx_74 时间: 2009-1-24 23:33
扩张的肠管到直肠,麻痹性肠梗阻?
作者: 边生丽 时间: 2009-1-25 00:37
考虑巨结肠吗?
作者: 边生丽 时间: 2009-1-25 00:53
患儿,10月,抱慊
作者: dsl555 时间: 2009-1-25 01:38
考虑巨结
作者: 随光逐影 时间: 2009-1-25 01:46
肠管积气、积液伴液平;建议结合临床(可能与腹泻有关)。
作者: 拾荒者 时间: 2009-1-25 04:13
肠管积气、积液,直肠明显扩张(充满液体),不知检查前有否肛管注液,临床有吐泻5天病史,不应该考虑肠梗阻,不知什么临床为做ct检查?
作者: 杀毒软件 时间: 2009-1-25 04:29
标题: 回复:ped1727:急!请各位老师讨论
以下是引用qingjing在2009-1-24 14:32:00的发言:[br]肠管积气积液,还有液面,建议结合临床
支持
作者: zsl6918 时间: 2009-1-25 05:00
先天性巨结肠应该首先考虑
作者: 余辉 时间: 2009-1-25 18:43
标题: 回复:ped1727:急!请各位老师讨论
以下是引用随光逐影在2009-1-24 17:46:00的发言:[br]肠管积气、积液伴液平;建议结合临床(可能与腹泻有关)。
支持
作者: dyqct 时间: 2009-1-28 01:35
标题: 回复:ped1727:急!请各位老师讨论
以下是引用随光逐影在2009-1-24 17:46:00的发言:[br]肠管积气、积液伴液平;建议结合临床(可能与腹泻有关)。
支持!
作者: liaizhi 时间: 2009-1-29 22:57
肠管积气扩张,内有小液平,肠间脂肪间隙模糊,考虑不完全性肠梗阻可能性大.
作者: 同 时间: 2009-2-1 21:19
考虑巨结肠。
作者: hguox 时间: 2009-2-2 02:42
考虑巨结
| 欢迎光临 医影在线 (http://bbs.radida.com/bbs/) |
Powered by Discuz! X3.2 |