医影在线

标题: CT17832:女性病人 65岁语言障碍一天 [打印本页]

作者: syfszcw    时间: 2009-1-25 05:03
标题: CT17832:女性病人 65岁语言障碍一天
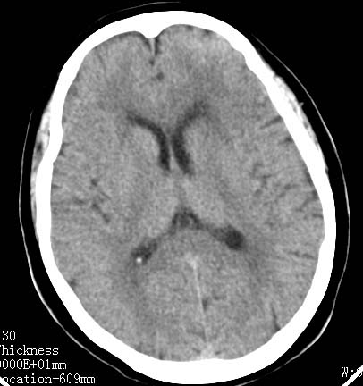
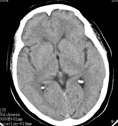
女性病人 65岁语言障碍一天








[本贴已被 jiajie 于 2009-1-25 6:35:42 修改过]

作者: zsl6918    时间: 2009-1-25 05:30
估计ct强化不一定能明确,建议mr查查吧。
作者: xulianj    时间: 2009-1-25 05:40
梗塞可能大,建议mr检查。
作者: 随光逐影    时间: 2009-1-25 06:19
考虑左侧额叶占位性病变;建议行进一步检查。
作者: dengkai    时间: 2009-1-25 06:44
考虑左侧额叶梗塞可能大,建议mr检查。
作者: 宇宙CT    时间: 2009-1-25 07:29
考虑左侧额叶梗塞可能大,建议mr检查。
作者: xiaoqvnmin    时间: 2009-1-25 15:06
若层面薄些、多些(连续)就好看了,有增强、mri就更好,都有了楼主何必犯难!
作者: SOS.LA    时间: 2009-1-25 16:01
左脑额顶等底密度肿块,灶周水肿明显,占位效应(+),考虑为转移瘤.(不考虑是胶质瘤.)
作者: tfyhl    时间: 2009-1-25 16:58
考虑:左侧额叶区梗塞灶,建议:mri排除转移瘤可能
作者: 深泽交通    时间: 2009-1-25 17:13
陈旧灶基础上又发生梗塞
作者: 放射熊    时间: 2009-1-25 17:15
考虑单发转移灶吧
脑梗塞不除外,还是应该ct增强扫描确诊
作者: 流浪星    时间: 2009-1-25 17:18
梗塞可能性大,建议mr检查。
作者: LIAOQIANG    时间: 2009-1-25 17:31
考虑脑梗塞可能性大.建议必要时mri检查.
作者: xupengjie    时间: 2009-1-25 17:34
考虑单发转移灶吧,建议mri
作者: 余辉    时间: 2009-1-25 17:35
考虑右额叶占位性病变,建议增强,不除外为低密度血肿
作者: smjin    时间: 2009-1-25 18:26
标题: 回复:ct17832:女性病人 65岁语言障碍一天
以下是引用余辉在2009-1-25 9:35:00的发言:[br]考虑右额叶占位性病变,建议增强,不除外为低密度血肿

作者: taj2000    时间: 2009-1-25 18:28
肿瘤水肿多为指状。占位效应不是很明显。先考虑脑梗塞。建议ct增强或mr进一步检查。
作者: 894072    时间: 2009-1-25 18:58
yi一级星形细胞瘤
作者: 杀毒软件    时间: 2009-1-25 20:14
建议mr检查
作者: panyishengct    时间: 2009-1-25 20:32
考虑左侧额叶占位性病变;建议行进一步检查。
作者: CYR88888    时间: 2009-1-25 20:43
胶质瘤?
作者: lkc8963    时间: 2009-1-25 21:26
检查手段不完备,大家说的可能都有道理。就本例而言,发病较急骤,比较支持血管性病变。
作者: qingjing    时间: 2009-1-25 23:35
考虑左侧额叶占位性病变;不像是血栓建议行进一步检查。
作者: zbp537    时间: 2009-1-26 00:36
做个mri的平扫及增强扫描最好。
作者: ydx_74    时间: 2009-1-26 00:55
胶质瘤可能大
作者: 黑白光影    时间: 2009-1-26 01:03
考虑右额叶占位性病变,建议ct增强或mr进一步检查。
作者: zbp537    时间: 2009-1-26 01:46
囊实性占位并水肿,不增强不好定性。
作者: zyyzzy    时间: 2009-1-26 02:00
梗死可能性大,建议增强扫描。不增强都是猜!!
作者: 卜一    时间: 2009-1-26 02:11
考虑左侧额叶梗塞可能大,建议mr检查。支持!
作者: scdlc2008    时间: 2009-1-26 03:40
胶质瘤
作者: 16899168    时间: 2009-1-26 19:31
1、左额叶占位性病变?,如胶质瘤.2、脑梗?病变太简单,建议进一步检查。
作者: 西凡    时间: 2009-1-26 22:36
病灶中心为等密度,周边绕以低密度水肿区,考虑左额叶占位性病变。
作者: wangyong1977    时间: 2009-1-27 04:06
支持28楼
作者: dr.yang    时间: 2009-1-27 05:17
做个mri的平扫及增强扫描最好。 n上皮样肿瘤可能性大。
作者: peijunlong    时间: 2009-1-27 06:22
呵呵,大家都在猜,我也猜一个:转移瘤。(没有增强只能算瞎猜哦,平时报告肯定不会这么写的,我会写左额叶混杂密度灶,建议增强扫描或mri检查)
作者: qc80012345    时间: 2009-1-27 16:46
进一步检查。
作者: jw-830    时间: 2009-1-28 00:11
考虑左侧额叶区梗塞,建议进一步检查
作者: 正峰    时间: 2009-1-28 01:32
标题: 回复:ct17832:女性病人 65岁语言障碍一天
以下是引用随光逐影在2009-1-24 22:19:00的发言:[br]考虑左侧额叶占位性病变;建议行进一步检查。

作者: dyqct    时间: 2009-1-28 01:59
标题: 回复:ct17832:女性病人 65岁语言障碍一天
以下是引用余辉在2009-1-25 9:35:00的发言:[br]考虑右额叶占位性病变,建议增强,不除外为低密度血肿

支持!
作者: 影象小泰斗    时间: 2009-1-28 19:39
额深低密度血肿?梗塞性出血?占位?建议强化!
作者: jinguoji    时间: 2009-1-29 04:49
考虑右额叶占位性病变,建议增强,不除外为低密度血肿.
作者: zblbq    时间: 2009-1-30 04:45
考虑左额叶占位性病变,建议增强




欢迎光临 医影在线 (http://bbs.radida.com/bbs/) Powered by Discuz! X3.2