医影在线

标题: CT17838:F20Y,右肱骨痛疼一年余 [打印本页]

作者: lxl    时间: 2009-1-27 23:18
标题: CT17838:F20Y,右肱骨痛疼一年余














[本贴已被 jiajie 于 2009-1-28 17:30:34 修改过]

作者: liangshusheng    时间: 2009-1-28 01:03
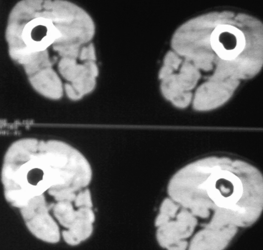
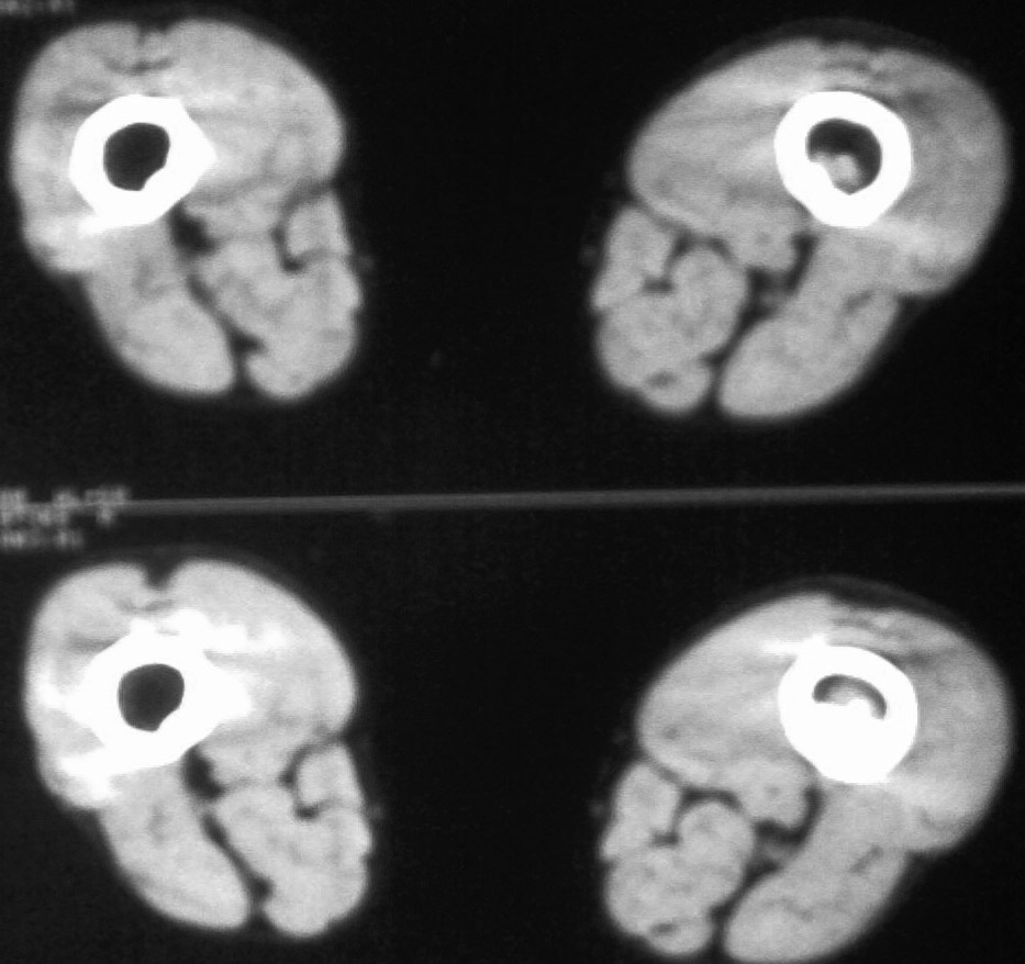
ct看起来只是髓腔内钙化,皮质无破坏,与下面的平片不大同,不知为甚?
作者: dyqct    时间: 2009-1-28 01:23
右肱骨中下段恶性肿瘤(纤维肉瘤可能性大)伴病理性骨折。
作者: 随光逐影    时间: 2009-1-28 01:27
支持 右肱骨中下段恶性肿瘤(纤维肉瘤可能性大)伴病理性骨折。
作者: jinguoji    时间: 2009-1-28 02:09
支持 右肱骨中下段恶性肿瘤伴病理性骨折。
作者: zyyzzy    时间: 2009-1-28 02:31
右肱骨中下段恶性肿瘤(纤维肉瘤可能性大)伴病理性骨折。
作者: kaisar    时间: 2009-1-28 02:47
肉瘤可能性大
作者: zhanggenliang    时间: 2009-1-28 04:31
恶性肿瘤可能性大,伴病理性骨折
作者: zxczxc    时间: 2009-1-28 06:39
右肱骨转移瘤可能性大。
作者: jacsibank    时间: 2009-1-28 06:39
右肱骨中下段恶性肿瘤伴病理性骨折
     中央型纤维肉瘤主要破坏松质骨,x线表现以局灶性透亮区为主,其中无成骨现象。边缘参差不齐。中间偶可有散在小钙化点,邻近骨皮质局限变薄,轻度膨胀,虽常被穿破,然多无骨膜反应,有些病例,病变范围较广,骨小梁排列紊乱夹杂有骨质破坏的小斑点状透光区,分布弥散,偶有少量骨膜新骨形成。周围型肿瘤常位于软组织中,呈圆形或卵圆形阴影,密度较肌肉影略离,肿块中可出现少量均匀钙化点。
     发病率低,至少比骨肉瘤的发病率低10倍。无明显性别差异,或仅轻微偏重于男性。可发生在任何年龄段,在15~60岁之间的分布没有什么差别,发生在青春期前为个别病例。

    好发于以下部位,按顺序排列为股骨远端、胫骨近端、股骨近端、肱骨近端及骨盆,约50%的病例发生在膝关节周围,20%在四肢骨近端,20%在躯干骨,很少在手足骨。

    在长骨,一般位于到骨干的一端或干骺端;在成人常侵及骨骺,纯粹定位于骨干者少见。

    多发的纤维肉瘤罕见,其一般位于同一肢体的一块或多块骨。同时位于骨和软组织中,或先后发生的多发纤维肉瘤同样罕见。

    疼痛是主要症状。在低度恶性的纤维肉瘤中,肿胀轻且晚,有时无肿胀,但当纤维肉瘤侵袭性较强时,肿胀则较早出现。纤维肉瘤的病理性骨折多见。
作者: 胡宇    时间: 2009-1-28 06:59
右肱骨中下段恶性肿瘤(纤维肉瘤可能性大)伴病理性骨折。
作者: 枫叶侠    时间: 2009-1-28 07:15
右肱骨下段恶性肿瘤(纤维肉瘤可能性大)伴病理性骨折。
作者: hexue    时间: 2009-1-28 07:59
支持 右肱骨中下段恶性肿瘤伴病理性骨折。
作者: 眼睛    时间: 2009-1-28 11:24
恶性肿瘤伴病理性骨折
作者: 黑白光影    时间: 2009-1-28 18:02
恶性肿瘤伴病理性骨折.
作者: caihe    时间: 2009-1-28 19:14
标题: 回复:f20y,右肱骨痛疼一年余
以下是引用dyqct在2009-1-27 17:23:00的发言:[br]右肱骨中下段恶性肿瘤(纤维肉瘤可能性大)伴病理性骨折。

支持!
作者: zhangweidong    时间: 2009-1-28 20:30
支持!
作者: 杀毒软件    时间: 2009-1-28 21:24
标题: 回复:f20y,右肱骨痛疼一年余
以下是引用dyqct在2009-1-27 17:23:00的发言:[br]右肱骨中下段恶性肿瘤(纤维肉瘤可能性大)伴病理性骨折。

支持
作者: zsl6918    时间: 2009-1-29 04:01
资料不是太清晰,考虑恶性骨肿瘤可能性大
作者: panyishengct    时间: 2009-1-29 04:33
恶性肿瘤可能性大,伴病理性骨折
作者: 王仕学    时间: 2009-1-29 07:05
支持 右肱骨中下段恶性肿瘤伴病理性骨折。
作者: 宇宙CT    时间: 2009-1-30 04:23
支持 右肱骨中下段恶性肿瘤伴病理性骨折。
作者: dengkai    时间: 2009-1-30 04:49
支持 右肱骨中下段恶性肿瘤伴病理性骨折。




欢迎光临 医影在线 (http://bbs.radida.com/bbs/) Powered by Discuz! X3.2