医影在线
标题: CT17875:肺曲霉菌病?结核? [打印本页]
作者: liuzheng_9326 时间: 2009-2-2 04:52
标题: CT17875:肺曲霉菌病?结核?
(结果公布:http://www.radida.com/bbs/forum.php?mod=viewthread&tid=69923)
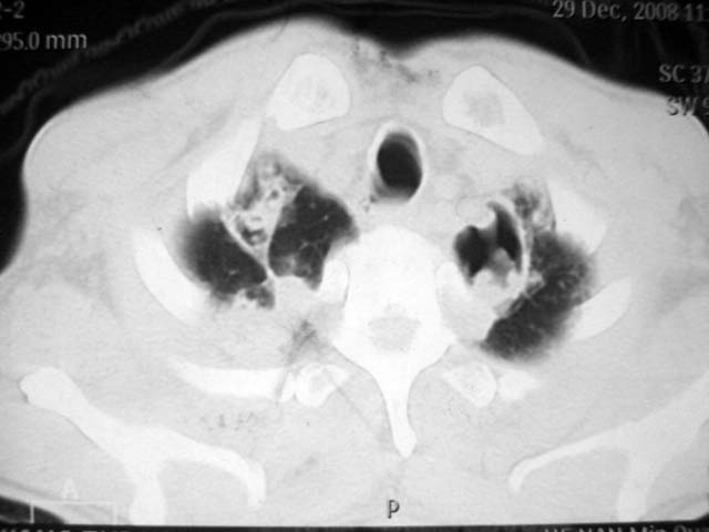
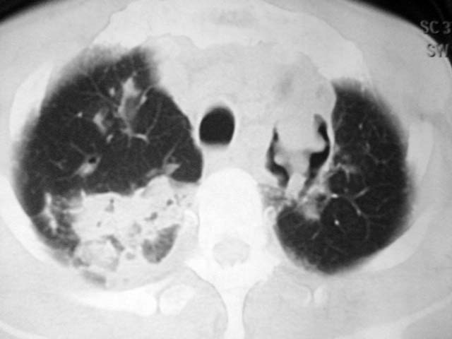
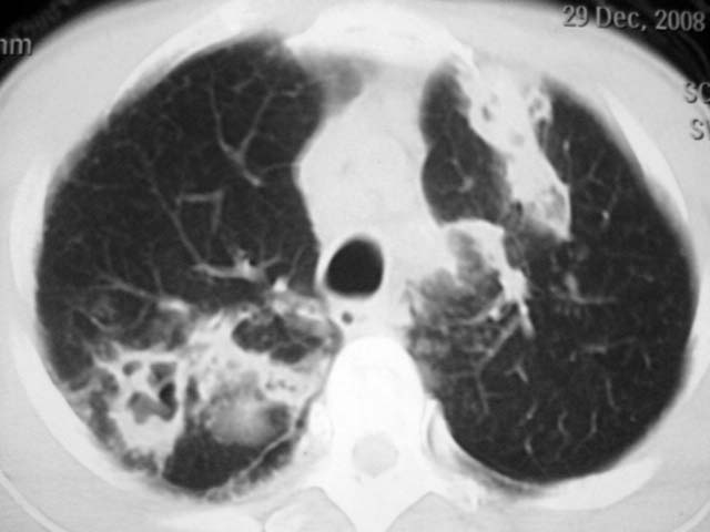
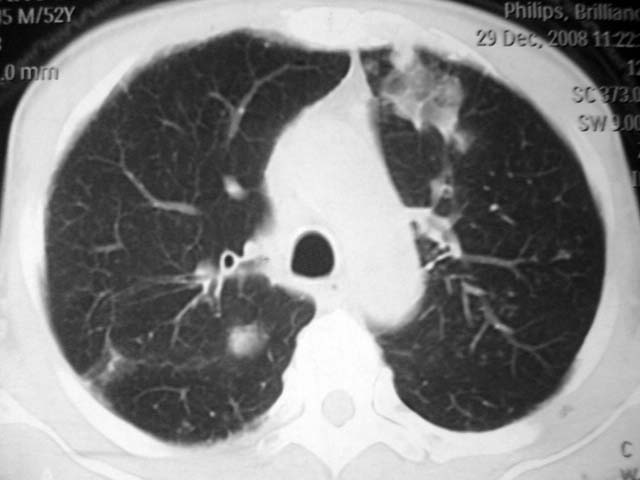
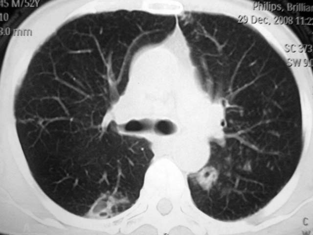
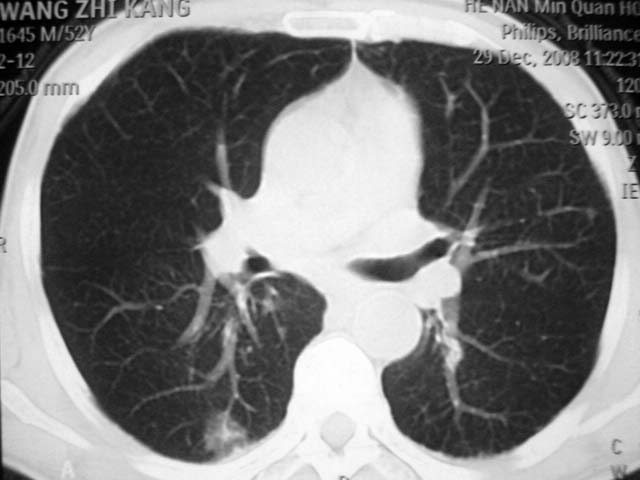
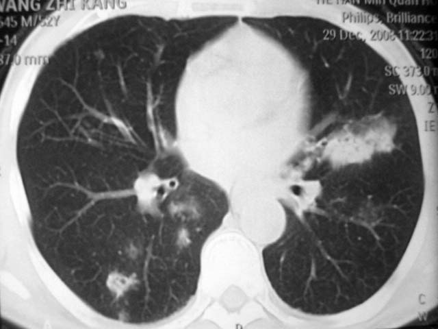
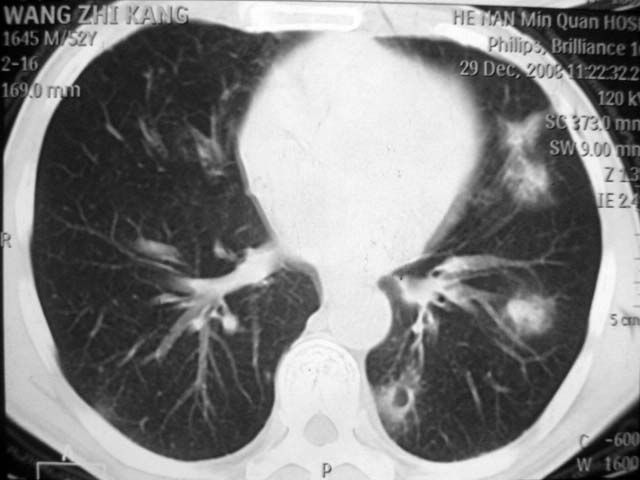
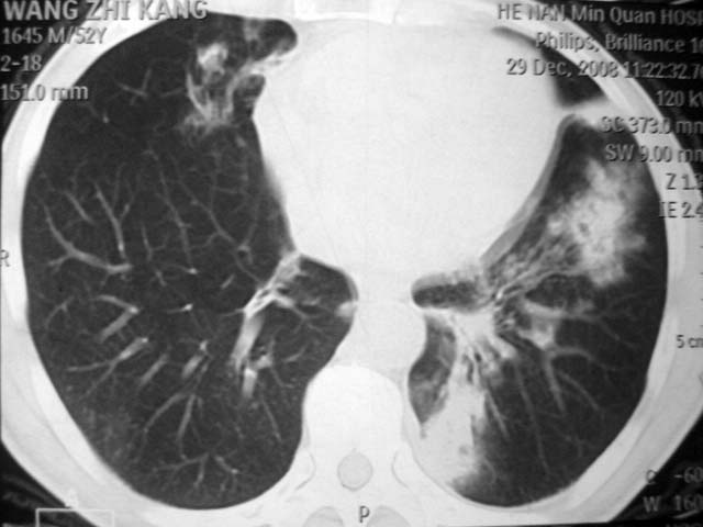
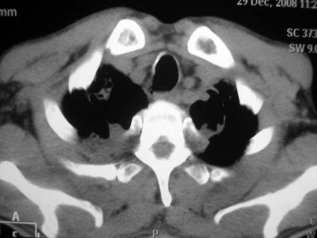
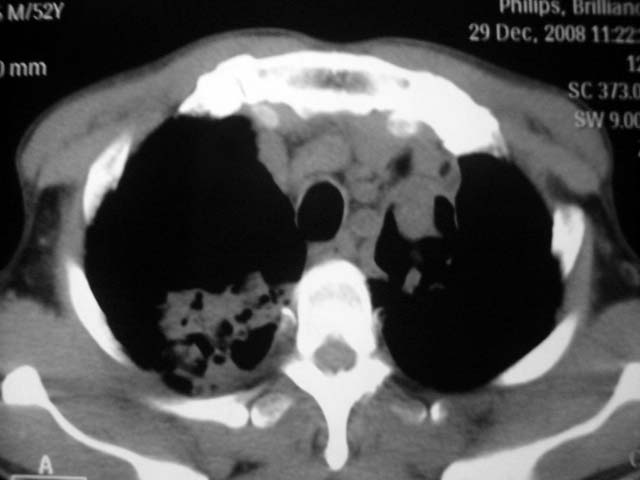
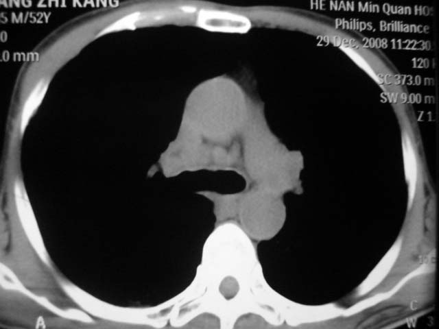
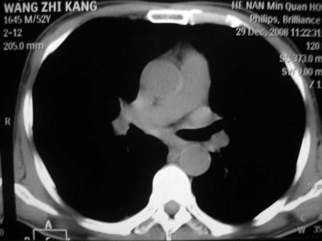
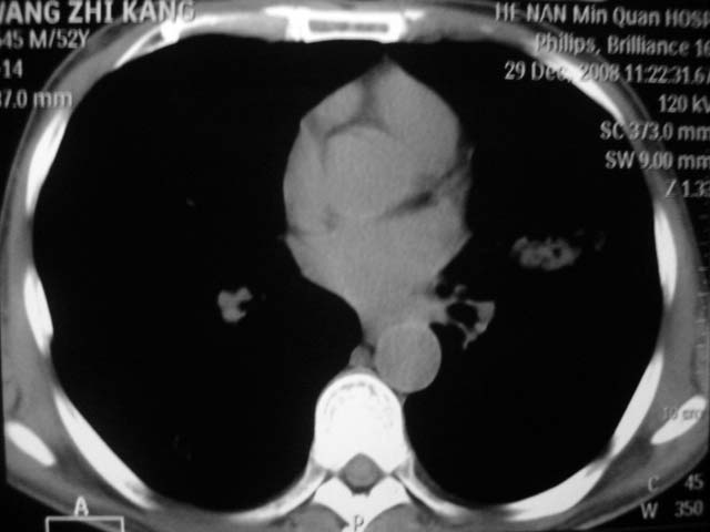
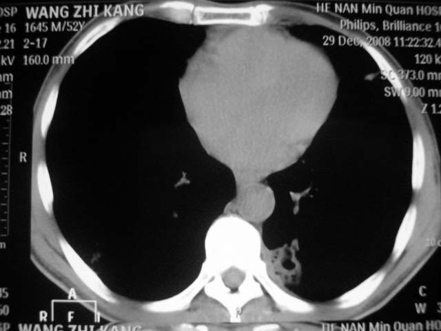
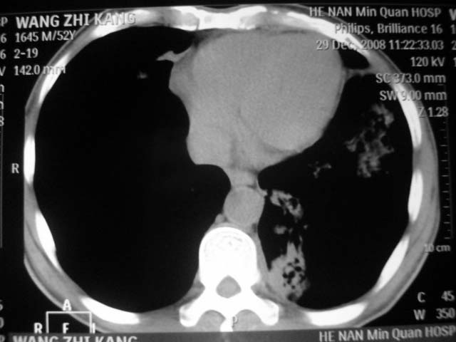
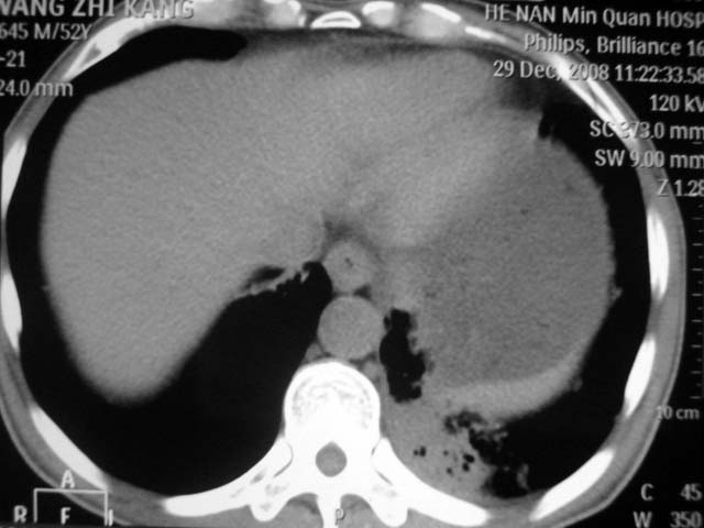
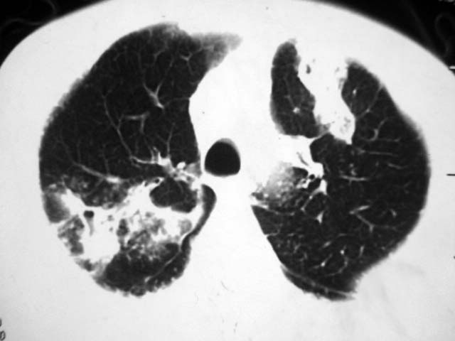
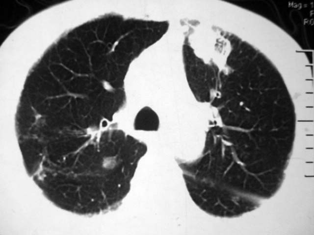
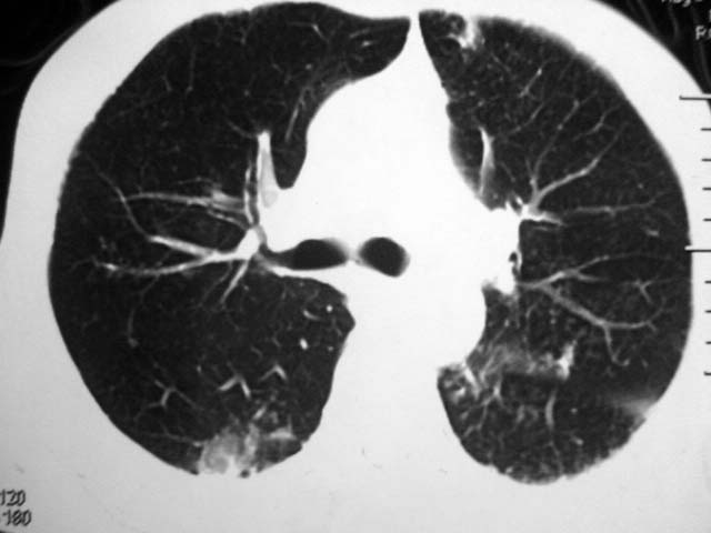
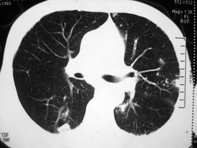
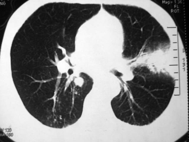
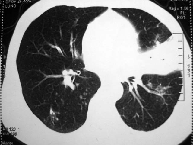
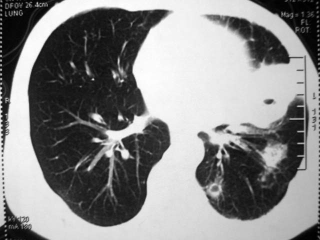
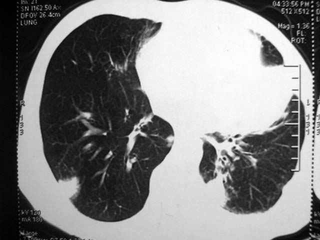
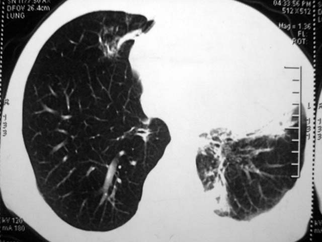
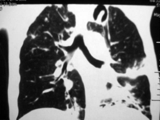
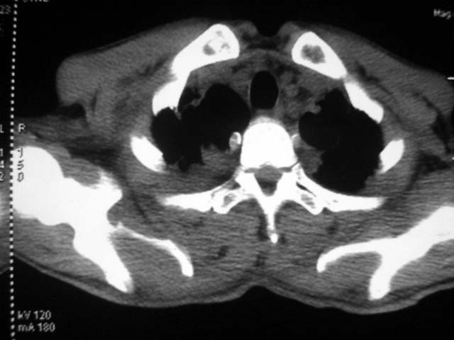
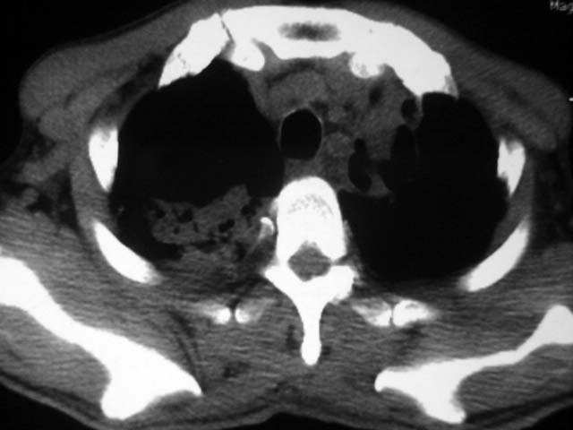
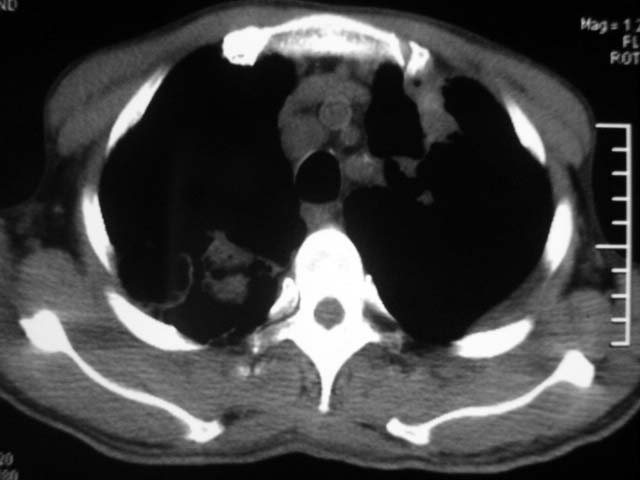
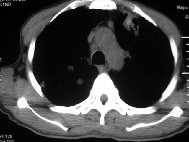
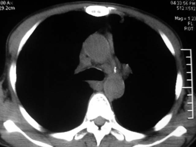
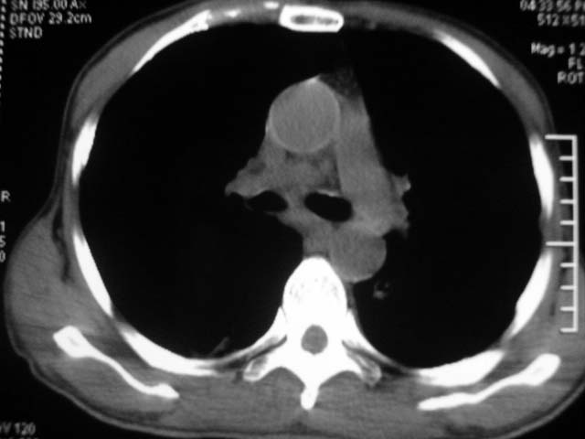
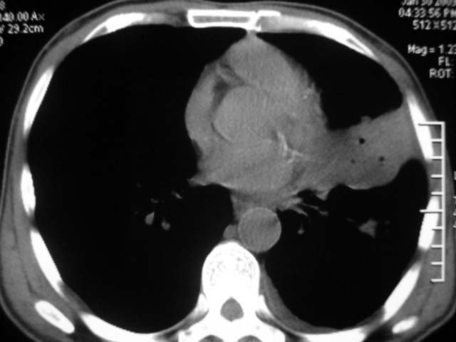
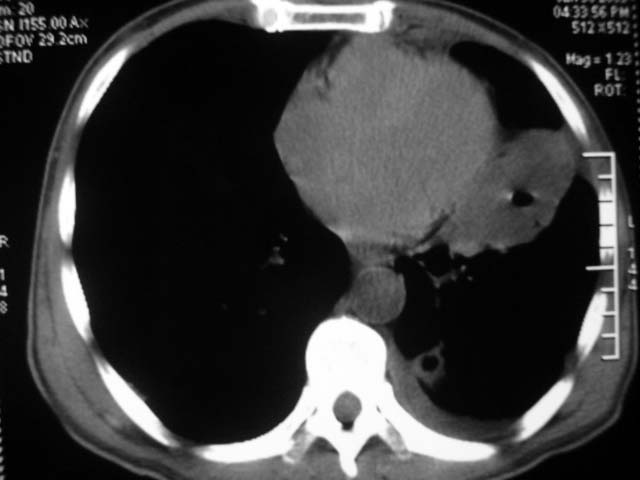
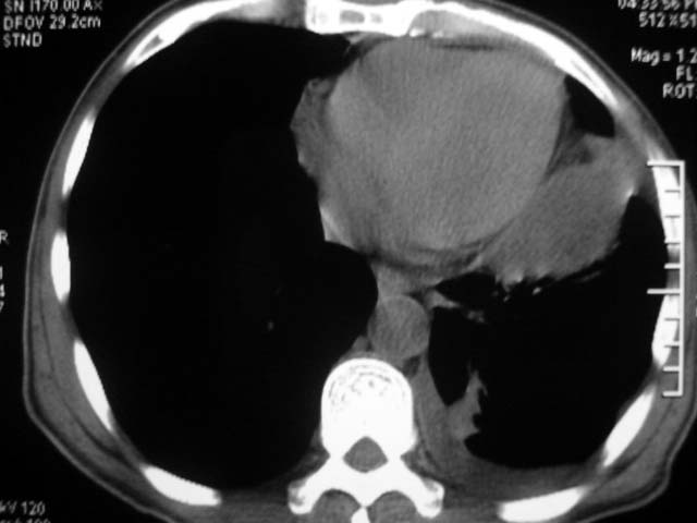
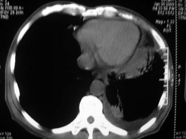
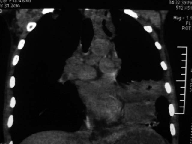
男,52岁,发热2月,糖尿病史。























抗结核治疗irpz方案,血糖未治疗,空腹15.9左右。症状无好转,左胸痛。
复查ct


























[本贴已被 liuzheng_9326 于 2009-2-1 21:10:43 修改过]
[本贴已被 翁志蓬 于 2009-2-2 0:33:11 修改过]
[本贴已被 jiajie 于 2010-8-23 18:40:52 修改过]
作者: chenqiong 时间: 2009-2-2 05:21
多考虑结核并发曲霉菌病,韦氏肉芽肿待排
作者: wxq2008 时间: 2009-2-2 05:28
多考虑结核并发曲霉菌病
作者: zsl6918 时间: 2009-2-2 06:19
考虑结核合并霉菌感染
作者: 黑白光影 时间: 2009-2-2 06:25
抗结核有好转,同意杂菌感染(结核合并霉菌感染)。
作者: 杀毒软件 时间: 2009-2-2 06:39
支持大家
作者: tiger-w 时间: 2009-2-2 06:42
虽说抗结核治疗无效,还是考虑结核合并霉菌感染,糖尿病也应治疗。
作者: 宇宙CT 时间: 2009-2-2 07:08
考虑结核合并霉菌感染
作者: dengkai 时间: 2009-2-2 08:41
多考虑结核并发曲霉菌病,韦氏肉芽肿待排
作者: 随光逐影 时间: 2009-2-2 16:12
考虑两肺继发性肺结核并曲霉菌感染。
作者: 余辉 时间: 2009-2-2 18:20
考虑两肺继发性肺结核并曲霉菌感染
作者: ydx_74 时间: 2009-2-2 23:41
标题: 回复:ct17875:肺曲霉菌病?结核?
以下是引用余辉在2009-2-2 10:20:00的发言:[br]考虑两肺继发性肺结核并曲霉菌感染
作者: zhangjixiang 时间: 2009-2-3 02:46
结核、曲霉菌、毛霉菌都有可能,纤支镜检查可有助明确
作者: 形影不离 时间: 2009-2-3 02:51
标题: 回复:ct17875:肺曲霉菌病?结核?
以下是引用随光逐影在2009-2-2 8:12:00的发言:[br]考虑两肺继发性肺结核并曲霉菌感染。
作者: dsl555 时间: 2009-2-3 03:00
标题: 回复:ct17875:肺曲霉菌病?结核?
以下是引用tiger-w在2009-2-1 22:42:00的发言:[br]虽说抗结核治疗无效,还是考虑结核合并霉菌感染,糖尿病也应治疗。
作者: wsz9999 时间: 2009-2-3 17:40
考虑两肺继发性肺结核并曲霉菌感染
作者: zyyzzy 时间: 2009-2-3 17:59
多考虑结核并发曲霉菌病,韦氏肉芽肿待排
作者: zbp537 时间: 2009-2-3 19:19
我考虑弥漫性肺泡细胞癌可能性大。
诊断依据:
1、中老年男性病人。
2、双肺见多发片状及结节状高密度影,大多数病灶中心均见“空泡征”。
3、纵隔内淋巴结肿大。
以上三点符合肺泡细胞癌的影像表现。
作者: jinguoji 时间: 2009-2-5 22:52
考虑两肺继发性肺结核并曲霉菌感染。
作者: liuzheng_9326 时间: 2009-3-3 02:45
结果:两肺继发性肺结核并曲霉菌感染。
作者: 子十 时间: 2009-3-3 04:02
标题: 回复:ct17875:肺曲霉菌病?结核?
以下是引用宇宙ct在2009-2-1 23:08:00的发言:[br]考虑结核合并霉菌感染
作者: 鲁巨CT 时间: 2009-3-3 05:39
考虑韦氏肉芽肿
作者: pujunzhi 时间: 2010-8-24 02:59
结果:两肺继发性肺结核并曲霉菌感染。好病例,学习了!
作者: shihai 时间: 2010-8-24 04:47
标题: 回复:ct17875:肺曲霉菌病?结核?
以下是引用随光逐影在2009-2-2 8:12:00的发言:[br]考虑两肺继发性肺结核并曲霉菌感染。
作者: 拾荒者 时间: 2010-8-24 04:53
结果:两肺继发性肺结核并曲霉菌感染。
谢谢!糖尿病人抗感染治疗的同时不控制血糖,治疗效果不会好。
作者: 37度 时间: 2010-8-24 07:52
结果:两肺继发性肺结核并曲霉菌感染。好病例,学习了!
作者: yuhongjun 时间: 2010-8-25 13:59
考虑两肺继发性肺结核并曲霉菌感染。
| 欢迎光临 医影在线 (http://bbs.radida.com/bbs/) |
Powered by Discuz! X3.2 |