医影在线

标题: CT17880:盆腔CT平扫 [打印本页]

作者: 同    时间: 2009-2-2 20:46
标题: CT17880:盆腔CT平扫
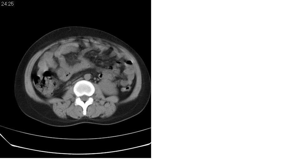
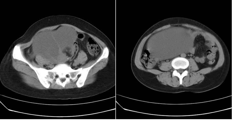
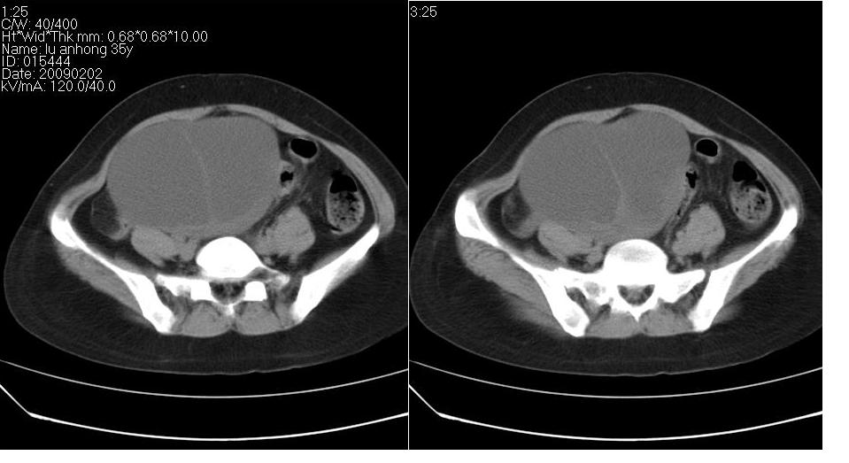
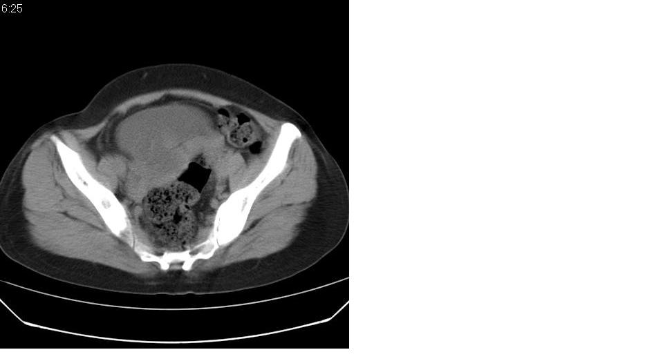
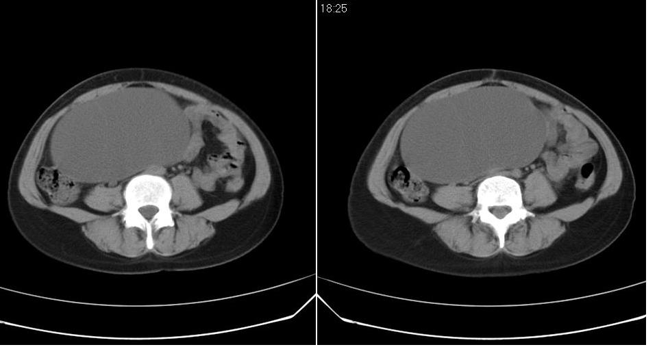
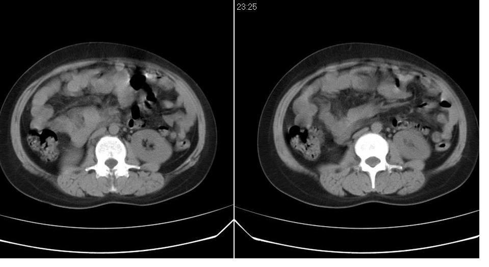
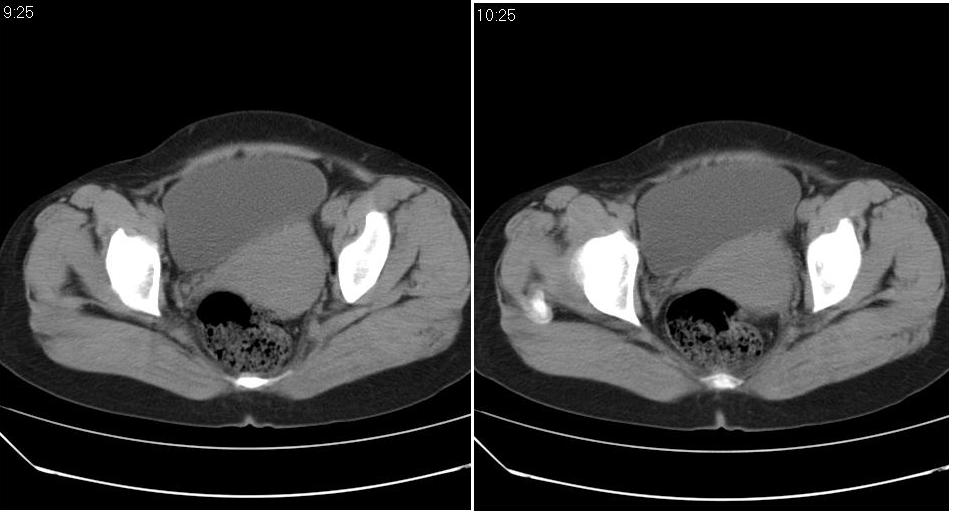
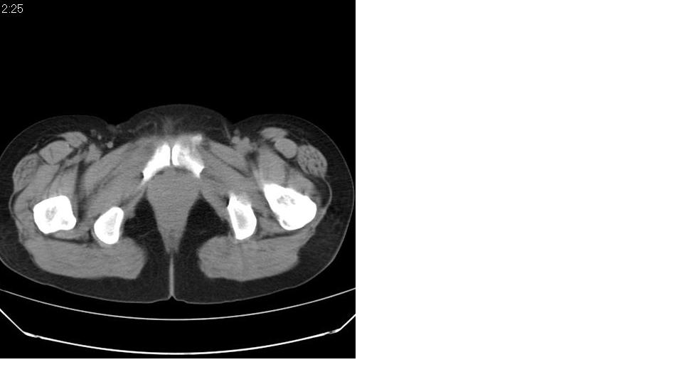
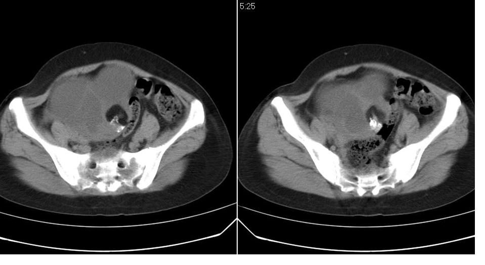
女 35岁,下腹部坠感疼,其它病史不详。图象顺序有点乱。












[本贴已被 jiajie 于 2009-2-2 16:39:53 修改过]

作者: 流浪星    时间: 2009-2-2 21:10
考虑右侧卵巢畸胎瘤。
作者: xiaoniu    时间: 2009-2-2 21:26
定位于盆腔附件,有囊性密度,有脂肪密度、还有骨密度;应该是比较典型的卵巢畸胎瘤。
作者: gmk_006    时间: 2009-2-2 22:17
标题: 回复:盆腔ct平扫
支持!
作者: 杀毒软件    时间: 2009-2-2 23:45
比较典型的卵巢畸胎瘤
作者: ydx_74    时间: 2009-2-2 23:54
支持
作者: 随光逐影    时间: 2009-2-3 00:44
支持 卵巢畸胎瘤。
作者: dsl555    时间: 2009-2-3 03:28
定位于盆腔附件,有囊性密度,有脂肪密度、还有骨密度;应该是比较典型的卵巢畸胎瘤。
作者: 黑白光影    时间: 2009-2-3 04:51
支持卵巢畸胎瘤
作者: zsl6918    时间: 2009-2-3 07:00
标题: 回复:ct17880:盆腔ct平扫
考虑卵巢畸胎瘤
作者: wsz9999    时间: 2009-2-3 17:25
考虑卵巢畸胎瘤
作者: jinguoji    时间: 2009-2-5 22:23
考虑卵巢畸胎瘤。




欢迎光临 医影在线 (http://bbs.radida.com/bbs/) Powered by Discuz! X3.2