医影在线

标题: CT17882:颅脑 [打印本页]

作者: wxq2008    时间: 2009-2-2 22:47
标题: CT17882:颅脑
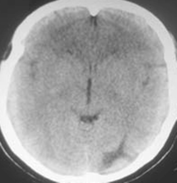
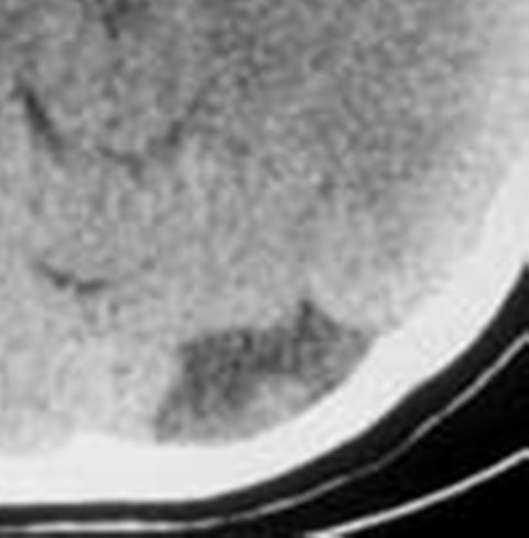
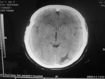
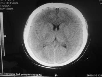
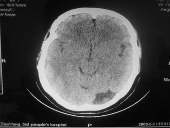
女。44岁,语言障碍三天,右侧上肢时而麻木。时而好转。其它图像未见异常。图像有点差请大家见谅。mg]/upload/forum/2009/02/0214453656449.jpg[/img]






[本贴已被 jiajie 于 2009-2-2 16:41:40 修改过]

作者: ydx_74    时间: 2009-2-3 00:01
蛛网膜囊肿
作者: ydx_74    时间: 2009-2-3 00:05
标题: 回复:颅脑
双侧额叶密度低,考虑线束老化或脑梗塞?

作者: 随光逐影    时间: 2009-2-3 00:49
左侧枕叶脑软化灶?
作者: 卜一    时间: 2009-2-3 02:16
梗塞可能性大!
作者: dsl555    时间: 2009-2-3 03:20
支持 左侧枕叶脑软化灶?
作者: xulianj    时间: 2009-2-3 04:45
支持 左侧枕叶脑软化灶?
作者: 黑白光影    时间: 2009-2-3 04:56
支持 左侧枕叶脑软化灶考虑。
作者: jacsibank    时间: 2009-2-3 06:45
双侧额叶脑梗塞,左侧枕叶脑软化灶,
作者: 杀毒软件    时间: 2009-2-3 07:55
支持 左侧枕叶脑软化灶考虑
作者: dengkai    时间: 2009-2-3 07:59
支持 左侧枕叶脑软化灶考虑。
作者: wsz9999    时间: 2009-2-3 17:15
支持 左侧枕叶脑软化灶
作者: zyyzzy    时间: 2009-2-3 21:24
临近脑沟五增宽,考虑蛛网膜囊肿
作者: jinguoji    时间: 2009-2-5 22:16
支持考虑左侧枕叶脑软化灶。




欢迎光临 医影在线 (http://bbs.radida.com/bbs/) Powered by Discuz! X3.2