医影在线

标题: CT17884:粟粒状病灶请会诊 [打印本页]

作者: wh0059    时间: 2009-2-3 00:57
标题: CT17884:粟粒状病灶请会诊
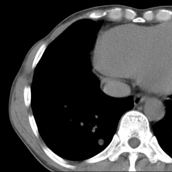
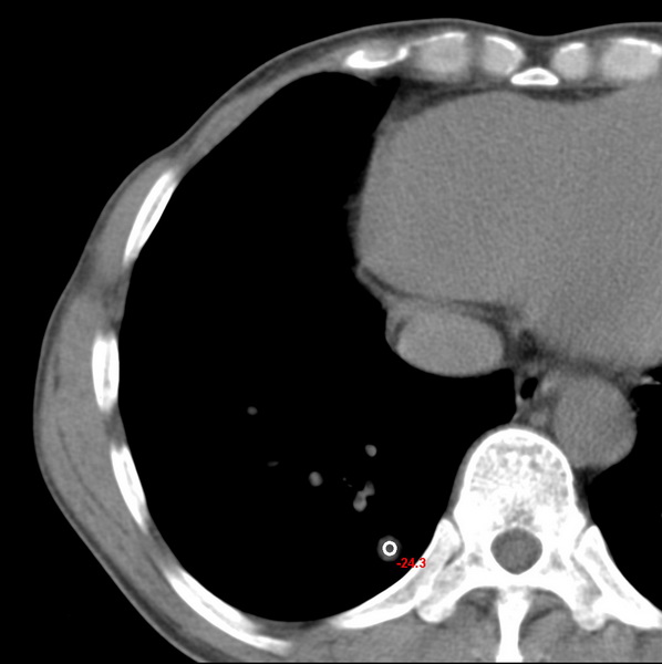
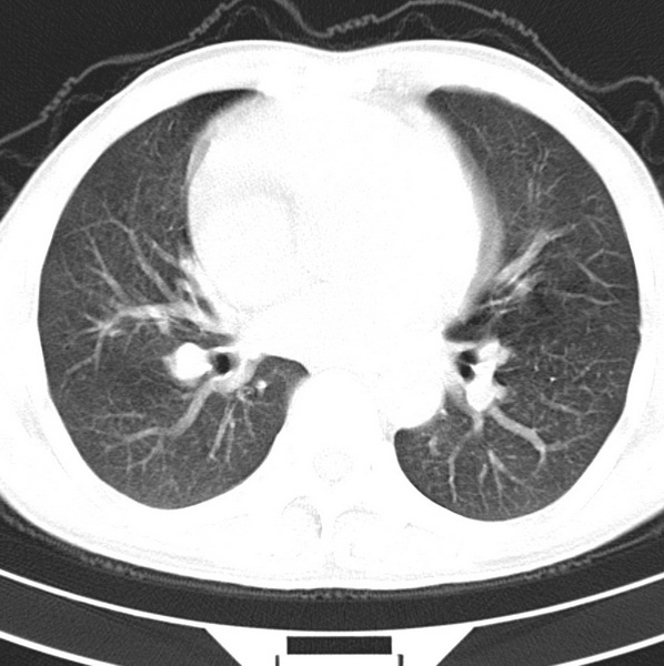
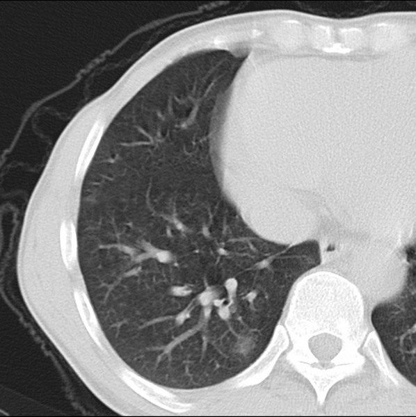
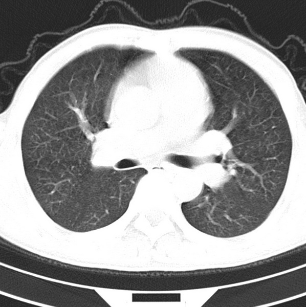
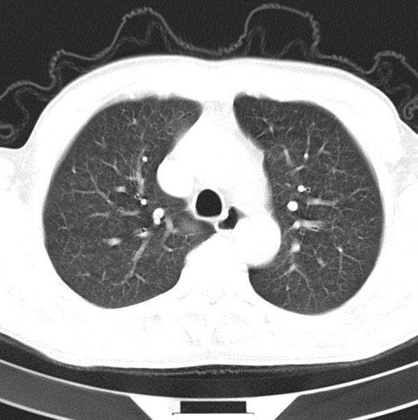
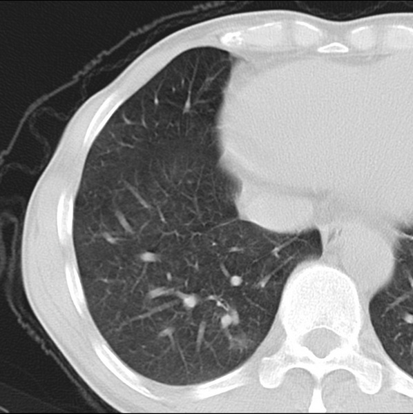
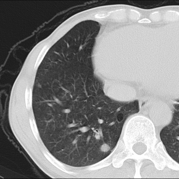
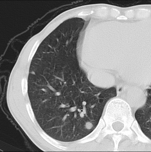
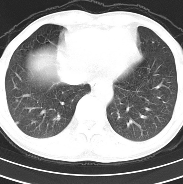
男、48、咳嗽。

胸片示双肺纹理紊乱,行胸部ct检查。

右肺下叶基底段结节影,双肺粟粒样阴影,ct值测量约-20hu左右,可能不准。

层厚层距为4mm左右,病灶轴面最大径约1cm左右。

请大家帮助会诊











[本贴已被 jiajie 于 2009-2-3 8:34:25 修改过]

作者: 卜一    时间: 2009-2-3 02:20
肺内结节—很难定性!建议定期复查!
作者: 形影不离    时间: 2009-2-3 02:53
标题: 回复:粟粒状病灶请会诊
以下是引用卜一在2009-2-2 18:20:00的发言:[br]肺内结节—很难定性!建议定期复查!

作者: dsl555    时间: 2009-2-3 02:58
标题: 回复:粟粒状病灶请会诊
以下是引用卜一在2009-2-2 18:20:00的发言:[br]肺内结节—很难定性!建议定期复查!

作者: 宇宙CT    时间: 2009-2-3 03:13
肺内结节—很难定性!建议定期复查!
作者: 同    时间: 2009-2-3 03:27
肺内结节---很难定性,建议定期复查。
作者: xulianj    时间: 2009-2-3 04:51
建议薄层扫描图和增强检查,这样能提供一些有价值的信息。
作者: 黑白光影    时间: 2009-2-3 05:02
结核球不排除,建议复查。
作者: 影像之路    时间: 2009-2-3 05:15
建议楼主结合临床,注意粟粒性肺结核与转移瘤的鉴别。
作者: zsl6918    时间: 2009-2-3 06:56
良性结节
作者: dengkai    时间: 2009-2-3 08:30
建议定期复查!
作者: 随光逐影    时间: 2009-2-3 16:36
肺内结节,性质待定;建议追踪复查。
作者: wsz9999    时间: 2009-2-3 16:40
结核球不排除,建议复查。
作者: zyyzzy    时间: 2009-2-3 23:36
考虑炎性病变,建议治疗后复查
作者: jinguoji    时间: 2009-2-5 22:09
标题: 回复:ct17884:粟粒状病灶请会诊
以下是引用卜一在2009-2-2 18:20:00的发言:[br]肺内结节—很难定性!建议定期复查!





欢迎光临 医影在线 (http://bbs.radida.com/bbs/) Powered by Discuz! X3.2