医影在线
标题: PED1732:M5Y,右肺囊性占位! [打印本页]
作者: 形影不离 时间: 2009-2-3 02:12
标题: PED1732:M5Y,右肺囊性占位!
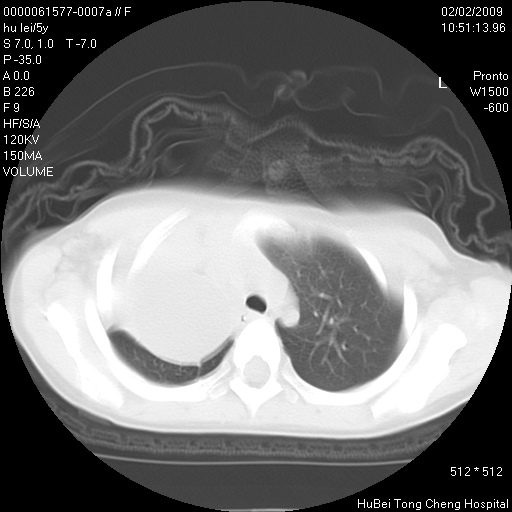
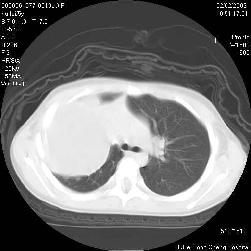
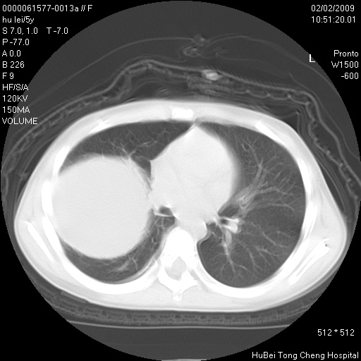
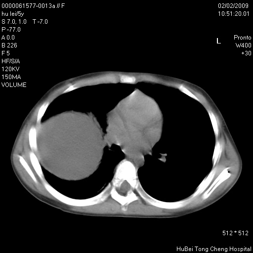
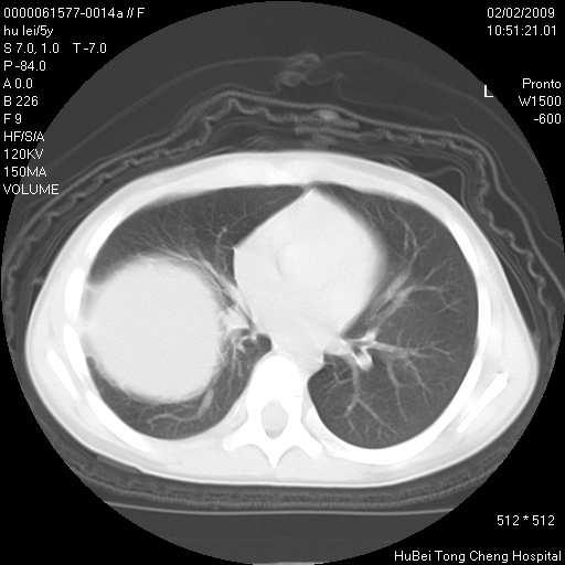
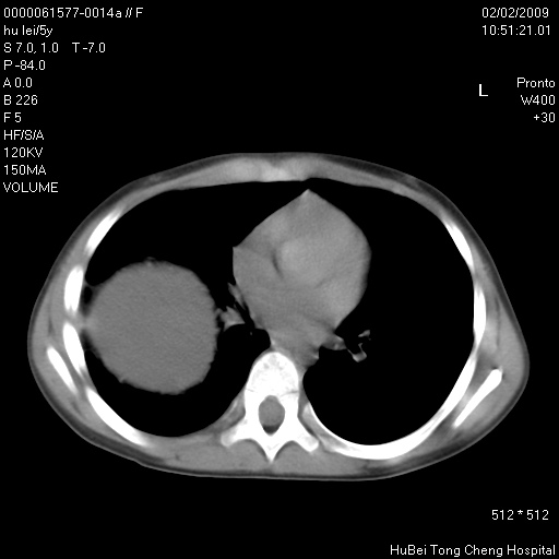
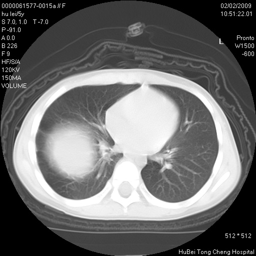
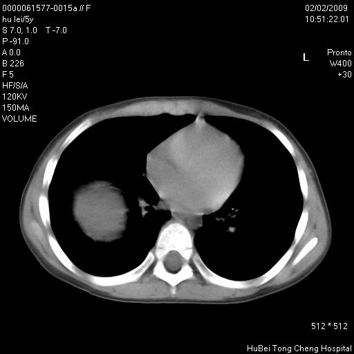
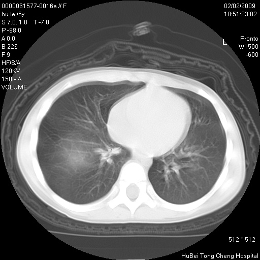
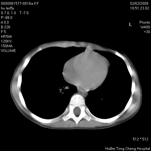
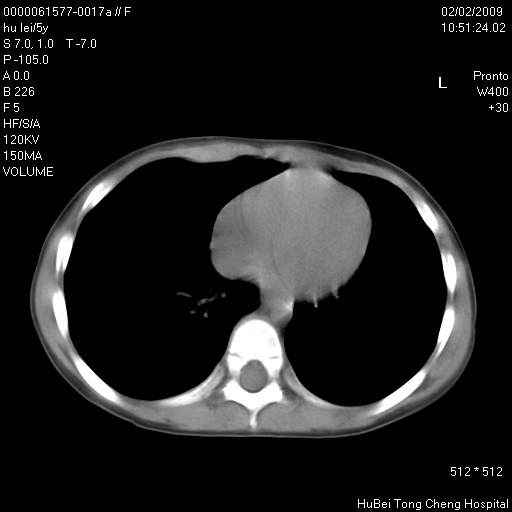
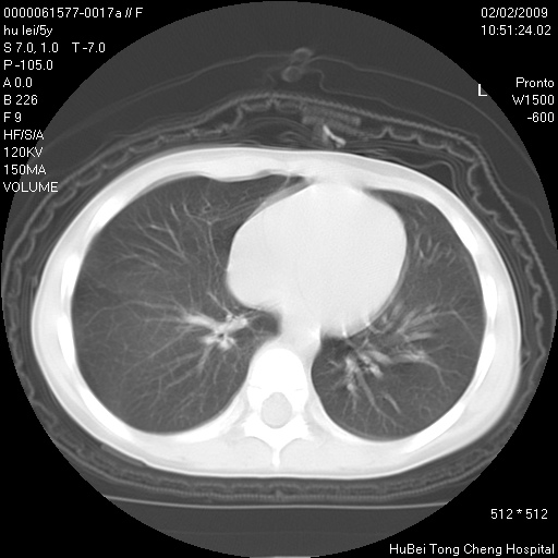
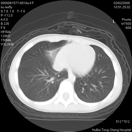
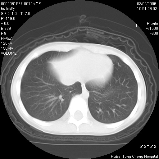
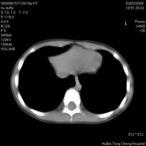
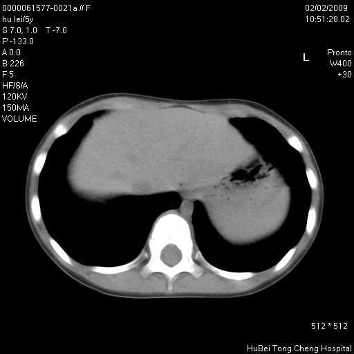
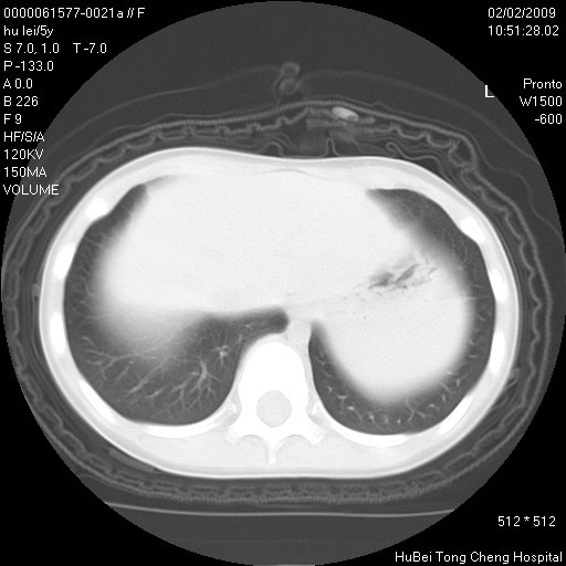
患者:男,5。无明显不适,拍胸片考虑右肺囊肿。
行ct扫描,图象如下:









































[本贴已被 jiajie 于 2009-2-3 8:47:35 修改过]
作者: ybing 时间: 2009-2-3 03:25
右肺巨大囊肿或包虫
作者: dsl555 时间: 2009-2-3 03:32
右肺巨大囊肿
作者: 宇宙CT 时间: 2009-2-3 03:48
右肺巨大囊肿
作者: 同 时间: 2009-2-3 04:08
考虑右肺巨大囊肿。
作者: panyishengct 时间: 2009-2-3 04:19
右肺巨大囊肿
作者: 影象小泰斗 时间: 2009-2-3 04:22
肺囊肿!
作者: gmk_006 时间: 2009-2-3 04:30
右肺巨大囊肿。
作者: 影像之路 时间: 2009-2-3 04:36
考虑先天性巨大支气管肺囊肿,建议包虫实验除外肺包虫。
作者: zyyzzy 时间: 2009-2-3 04:38
考虑支气管囊肿或皮样囊肿
作者: wangyong1977 时间: 2009-2-3 04:51
考虑先天性巨大支气管肺囊肿
作者: xulianj 时间: 2009-2-3 05:23
考虑右肺巨大囊肿。
作者: jacsibank 时间: 2009-2-3 06:40
标题: 回复:右肺囊性占位!
以下是引用影像之路在2009-2-2 20:36:00的发言:[br]考虑先天性巨大支气管肺囊肿,建议包虫实验除外肺包虫。
作者: zsl6918 时间: 2009-2-3 06:43
考虑先天性肺囊肿
作者: pysylhj 时间: 2009-2-3 06:48
考虑右肺支气管源性肺囊肿
作者: 杀毒软件 时间: 2009-2-3 07:46
标题: 1
肺囊肿---不排除淋巴管瘤可能
[本贴已被 杀毒软件 于 2009-2-3 12:44:20 修改过]
作者: 随光逐影 时间: 2009-2-3 16:50
右肺巨大囊性占位性病变;考虑巨大肺囊肿,不排除淋巴管瘤可能。
作者: jiangjing 时间: 2009-2-3 22:12
肺囊肿!
作者: 余辉 时间: 2009-2-3 23:04
支持囊肿
作者: 裴德医生 时间: 2009-2-4 01:42
病灶与前胸壁和右上纵隔、叶间裂界限不清,病灶前缘及内侧缘看不到正常的肺组织,不能排除包裹性积液。
作者: dyqCT 时间: 2009-2-4 04:29
支持右肺巨大囊肿。
作者: 王仕学 时间: 2009-2-4 04:54
考虑先天性巨大支气管肺囊肿
作者: scdlc2008 时间: 2009-2-5 19:59
囊肿
作者: huqi8888 时间: 2009-2-7 00:00
右肺巨大囊肿
| 欢迎光临 医影在线 (http://bbs.radida.com/bbs/) |
Powered by Discuz! X3.2 |