医影在线

标题: CT17892:盆腔肿块 [打印本页]

作者: zhangyang66    时间: 2009-2-3 04:05
标题: CT17892:盆腔肿块
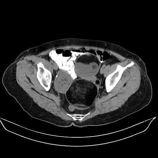
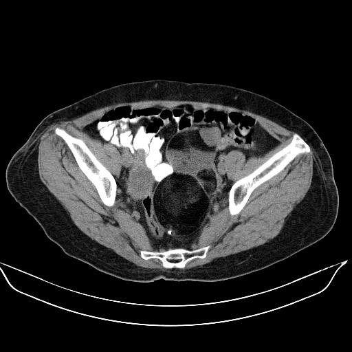
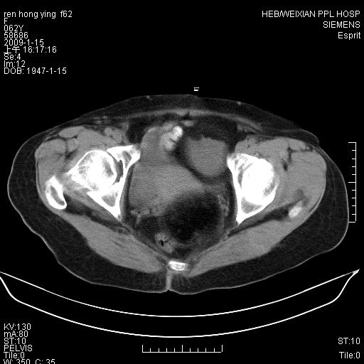
患者,女,61岁,无自觉症状,体检时发现盆腔肿块。










[本贴已被 jiajie 于 2009-2-3 8:40:42 修改过]

作者: 同    时间: 2009-2-3 04:17
考虑 畸胎瘤可能性大。
作者: panyishengct    时间: 2009-2-3 04:26
考虑 畸胎瘤可能性大。
作者: 影象小泰斗    时间: 2009-2-3 04:43
考虑畸胎瘤
1
作者: 摘星空竹子    时间: 2009-2-3 04:48
标题: 回复:盆腔肿块
以下是引用同在2009-2-2 20:17:00的发言:[br]考虑 畸胎瘤可能性大。

支持!
作者: xulianj    时间: 2009-2-3 05:21
畸胎瘤!
作者: 形影不离    时间: 2009-2-3 05:37
多发性畸胎瘤!
作者: wxq2008    时间: 2009-2-3 05:43
畸胎瘤
作者: 黑白光影    时间: 2009-2-3 05:57
支持畸胎瘤
作者: 卜一    时间: 2009-2-3 06:14
支持畸胎瘤  !
作者: x-man    时间: 2009-2-3 06:21
典型畸胎瘤
作者: guanaishengming    时间: 2009-2-3 06:24
多发性畸胎瘤!
作者: pysylhj    时间: 2009-2-3 06:25
支持大家
作者: zsl6918    时间: 2009-2-3 06:47
标题: 回复:盆腔肿块
以下是引用同在2009-2-2 20:17:00的发言:[br]考虑 畸胎瘤可能性大。

作者: 杀毒软件    时间: 2009-2-3 07:54
支持畸胎瘤  !
作者: dr.yang    时间: 2009-2-3 07:55
支持畸胎瘤  !
作者: dengkai    时间: 2009-2-3 08:17
支持畸胎瘤
作者: 随光逐影    时间: 2009-2-3 16:25
盆腔内多发性畸胎瘤。
作者: wsz9999    时间: 2009-2-3 16:58
支持畸胎瘤  !
作者: 余辉    时间: 2009-2-3 17:22
典型畸胎瘤(皮样囊肿)
作者: zbp537    时间: 2009-2-3 19:24
畸胎瘤,没有疑义。
作者: jinguoji    时间: 2009-2-5 15:21
考虑畸胎瘤。




欢迎光临 医影在线 (http://bbs.radida.com/bbs/) Powered by Discuz! X3.2