医影在线

标题: CT17894:肝胆 [打印本页]

作者: zhangyang66    时间: 2009-2-3 04:15
标题: CT17894:肝胆
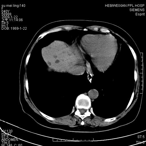
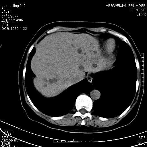
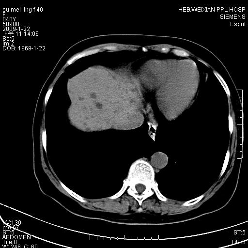
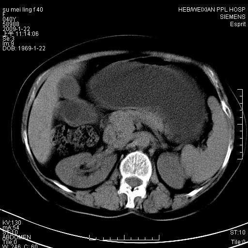
主因食欲不振检查。b超检查肝内片状低密度影。










[本贴已被 jiajie 于 2009-2-3 8:41:38 修改过]

作者: 影象小泰斗    时间: 2009-2-3 04:40
图象的序列乱,病史也简单,单看这几幅图片考虑——肝囊肿?转移瘤?建议强化
作者: 摘星空竹子    时间: 2009-2-3 04:42
图象上传不全,且比较凌乱。请重新上传。
作者: xulianj    时间: 2009-2-3 05:17
以肝多发性囊肿可能大
作者: 形影不离    时间: 2009-2-3 05:45
标题: 回复:肝胆
以下是引用xulianj在2009-2-2 21:17:00的发言:[br]以肝多发性囊肿可能大

作者: jacsibank    时间: 2009-2-3 05:59
我个人认为转移瘤可能性大!建议增强!
作者: 黑白光影    时间: 2009-2-3 06:01
建议强化
作者: x-man    时间: 2009-2-3 06:16
考虑多发肝小囊肿,建议增强,不排除囊性转移可能。
作者: 卜一    时间: 2009-2-3 06:19
建议强化!
作者: guanaishengming    时间: 2009-2-3 06:20
多发肝囊肿或caroli
作者: zsl6918    时间: 2009-2-3 06:54
强化
作者: 杀毒软件    时间: 2009-2-3 07:40
建议强化!
作者: dr.yang    时间: 2009-2-3 07:46
先增强吧。
作者: dengkai    时间: 2009-2-3 07:54
建议强化区分多发肝囊肿或转移!
作者: 随光逐影    时间: 2009-2-3 16:45
肝内多发囊性低密度灶,以肝囊肿可能性大;建议必要时行进一步检查。
作者: 同    时间: 2009-2-3 16:56
多发肝囊肿可能。
作者: zyyzzy    时间: 2009-2-3 21:31
肝多发性囊肿可能大
作者: jinguoji    时间: 2009-2-5 15:18
建议强化。
作者: zbp537    时间: 2009-2-5 17:30
肝多发囊肿可能性大,建议传全图像并增强。
作者: zhangyang66    时间: 2009-2-8 04:58
囊性病变沿胆管走向,首先考虑肝内胆管囊肿(caroli)、多发肝囊肿不除外
作者: ydx_74    时间: 2009-2-10 22:11
多发肝囊肿




欢迎光临 医影在线 (http://bbs.radida.com/bbs/) Powered by Discuz! X3.2