医影在线
标题: CT17895:男性,49岁,主因胸痛,右肺呼吸音低 [打印本页]
作者: zhangyang66 时间: 2009-2-3 04:18
标题: CT17895:男性,49岁,主因胸痛,右肺呼吸音低
(结果公布:http://www.radida.com/bbs/forum.php?mod=viewthread&tid=69924)
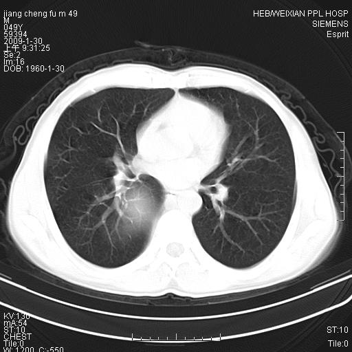
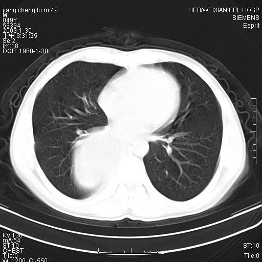
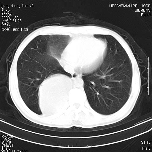
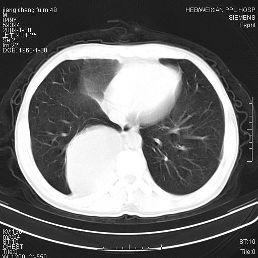
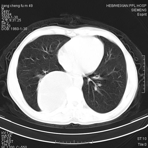
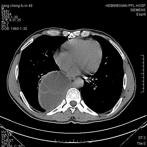
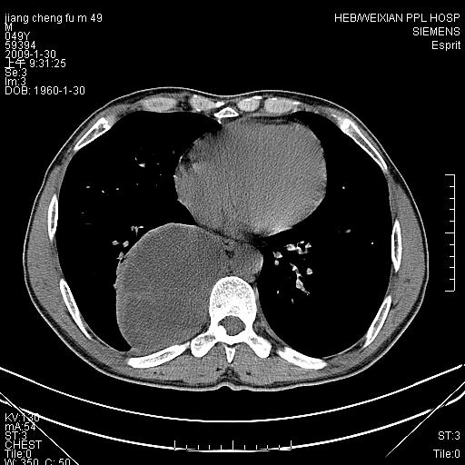
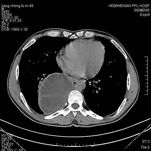
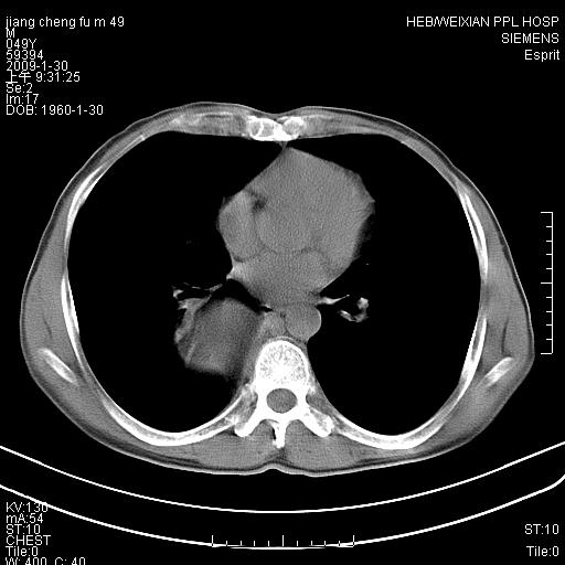
男性,49岁,主因胸痛,右肺呼吸音低。胸片提示肺占位








[本贴已被 jiajie 于 2009-2-3 8:43:39 修改过]
[本贴已被 jiajie 于 2010-8-23 18:47:38 修改过]
作者: xulianj 时间: 2009-2-3 05:08
考虑右侧脊柱旁沟囊性病变。1:支气管囊肿或食管囊;2:神经源性肿瘤。
作者: 形影不离 时间: 2009-2-3 05:42
右后纵隔囊性占位;考虑为:1)淋巴管囊肿。2)食管囊肿。建议:进一步检查。
作者: jacsibank 时间: 2009-2-3 06:02
可惜的是没下面的图片,如果扫到肝上层就好!考虑淋巴管囊肿!建议吞钡!以排除食管瘘!
作者: x-man 时间: 2009-2-3 06:11
右后纵隔囊性占位,建议先做增强,后做穿刺活检。
作者: guanaishengming 时间: 2009-2-3 06:14
首先考虑包裹性积液,纵隔占位机会较小
作者: 卜一 时间: 2009-2-3 06:21
考虑右侧脊柱旁沟囊性病变。1:支气管囊肿或食管囊肿;2:神经源性肿瘤。支持!
作者: zsl6918 时间: 2009-2-3 06:51
定位定性不易,良性病变
作者: 杀毒软件 时间: 2009-2-3 07:41
标题: 回复:胸部
以下是引用xulianj在2009-2-2 21:08:00的发言:[br]考虑右侧脊柱旁沟囊性病变。1:支气管囊肿或食管囊;2:神经源性肿瘤。
支持
作者: dr.yang 时间: 2009-2-3 07:44
考虑右侧脊柱旁沟囊性病变。1:支气管囊肿或食管囊肿;2:神经源性肿瘤。支持!
作者: dengkai 时间: 2009-2-3 08:01
考虑右侧脊柱旁沟囊性病变。1:支气管囊肿或食管囊肿;
2:神经源性肿瘤。支持!
建议吞钡!以排除食管瘘!
作者: SOS.LA 时间: 2009-2-3 14:50
包裹性积液
作者: 随光逐影 时间: 2009-2-3 16:39
右侧脊柱旁沟囊性占位病变,考虑神经源性肿瘤;建议行mri检查。
作者: laolang 时间: 2009-2-3 17:50
考虑:1:包裹性积液.2:食管或淋巴管囊肿.
作者: shen12345 时间: 2009-2-3 17:55
没有见过啊,最好增强看一下啊
作者: gmk_006 时间: 2009-2-3 18:59
右脊柱旁沟良性病变。其组织来源提示支气管囊肿或食管囊肿可能性大。期待病理结果。
作者: zbp537 时间: 2009-2-3 19:14
在分析这个病变时,首先病灶边界清晰,但其内密度不均匀,有条索状状实性成分,肿块的外侧壁亦呈一不均匀的厚壁改变,因此支气管囊肿的可能性不大。主要考虑神经源性肿瘤(主要考虑神经鞘瘤,因为它囊变的机率比较高),其次考虑肺膈离征,行增强扫描如发现来自胸主动脉供血动脉血管可确诊。
作者: 同 时间: 2009-2-3 19:28
标题: 回复:ct17895:男性,49岁,主因胸痛,右肺呼吸音低
以下是引用dr.yang在2009-2-2 23:44:00的发言:[br]考虑右侧脊柱旁沟囊性病变。1:支气管囊肿或食管囊肿;2:神经源性肿瘤。支持!
作者: jinguoji 时间: 2009-2-5 15:16
标题: 回复:ct17895:男性,49岁,主因胸痛,右肺呼吸音低
以下是引用xulianj在2009-2-2 21:08:00的发言:[br]考虑右侧脊柱旁沟囊性病变。1:支气管囊肿或食管囊;2:神经源性肿瘤。
作者: zhangyang66 时间: 2009-5-15 00:37
患者已做手术,病理家属不甚清除,只说良性病变。手术完全切除,术后复查未见明显异常。
作者: 余辉 时间: 2009-5-15 00:41
考虑右侧脊柱旁沟囊性病变,囊骨有分隔,囊壁较厚。1:神经源性肿瘤;2:食管囊肿或淋巴管囊肿。支持!
作者: ct诊断高手 时间: 2009-5-15 03:19
考虑右侧脊柱旁沟囊性病变。1:支气管囊肿或食管囊肿;2:神经源性肿瘤。支持!
作者: zbp537 时间: 2009-5-15 04:10
囊状肿块内有线样软组织分隔,支气管囊肿及食管囊肿可不考虑。我考虑:1、囊性肺膈离征(需要增强扫描来排除)。2、神经鞘瘤。3、淋巴管囊肿。
作者: chinanyd 时间: 2009-5-15 04:43
可惜了,仍然是不知道最后的结果,依照楼主所说家属的反映,‘良性病变,完全切除’,还是考虑神经纤维瘤可能性大一些
作者: 拾荒者 时间: 2010-8-24 04:56
标题: 回复:ct17895:男性,49岁,主因胸痛,右肺呼吸音低
以下是引用zbp537在2009-5-14 20:10:00的发言:[br]囊状肿块内有线样软组织分隔,支气管囊肿及食管囊肿可不考虑。我考虑:1、囊性肺膈离征(需要增强扫描来排除)。2、神经鞘瘤。3、淋巴管囊肿。
作者: linyiming 时间: 2010-8-24 07:50
考虑右侧脊柱旁沟囊性病变。1:支气管囊肿或食管囊肿;2:神经源性肿瘤。支持
作者: 37度 时间: 2010-8-24 08:00
前肠囊肿或神经源性肿瘤。
作者: dhlyq 时间: 2010-8-24 08:06
前肠囊肿或神经源性肿瘤。
作者: yuhongjun 时间: 2010-8-25 13:56
考虑右侧脊柱旁沟囊性病变。1:支气管囊肿或食管囊肿;2:神经源性肿瘤。支持!
| 欢迎光临 医影在线 (http://bbs.radida.com/bbs/) |
Powered by Discuz! X3.2 |