医影在线

标题: CT17898:求助 [打印本页]

作者: 王明发    时间: 2009-2-3 05:46
标题: CT17898:求助
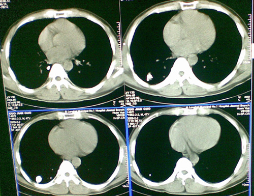
像肺结核钙化吗,不曾见过的影像,请大家帮忙看一下









[本贴已被 jiajie 于 2009-2-3 8:45:24 修改过]

作者: 形影不离    时间: 2009-2-3 05:50
陈旧性肺结核。
作者: 黑白光影    时间: 2009-2-3 05:52
支持
作者: jacsibank    时间: 2009-2-3 05:54
支持!
作者: x-man    时间: 2009-2-3 06:22
陈旧性肺结核,钙化。
作者: 卜一    时间: 2009-2-3 06:26
陈旧性肺结核。
作者: panyishengct    时间: 2009-2-3 06:37
陈旧性肺结核。
作者: zsl6918    时间: 2009-2-3 06:45
支持结核钙化
作者: dr.yang    时间: 2009-2-3 07:37
陈旧性肺结核
作者: 杀毒软件    时间: 2009-2-3 07:44
支持结核钙化
作者: lingmei    时间: 2009-2-3 07:46
支持结核钙化
作者: dengkai    时间: 2009-2-3 08:06
陈旧性肺结核,钙化。
作者: 随光逐影    时间: 2009-2-3 16:17
右肺结核(以纤维增殖、钙化病灶为主)。
作者: shen12345    时间: 2009-2-3 17:49
陈旧性肺结核并钙化
作者: 姜晓辉    时间: 2009-2-3 18:24
支持结核钙化
作者: huqi8888    时间: 2009-2-3 19:00
支持结核钙化。
作者: zbp537    时间: 2009-2-3 19:02
考虑陈旧性肺结核。
作者: gmk_006    时间: 2009-2-3 19:09
陈旧性肺结核。
作者: 同    时间: 2009-2-3 19:32
支持结核钙化灶。
作者: jiangjing    时间: 2009-2-3 22:04
支持结核钙化
作者: xulianj    时间: 2009-2-4 04:23
支持结核钙化
作者: jinguoji    时间: 2009-2-5 15:09
支持结核钙化。




欢迎光临 医影在线 (http://bbs.radida.com/bbs/) Powered by Discuz! X3.2