医影在线

标题: CT17915:胸部CT平扫 [打印本页]

作者: 同    时间: 2009-2-4 01:11
标题: CT17915:胸部CT平扫
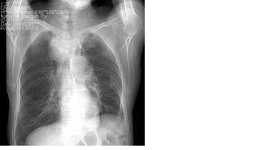
男 76岁,去年在外医院行食道癌手术,现胸闷,呼吸困难,肺窗有慢支肺气肿,无其它。













[本贴已被 jiajie 于 2009-2-3 19:37:02 修改过]

作者: 杀毒软件    时间: 2009-2-4 01:19
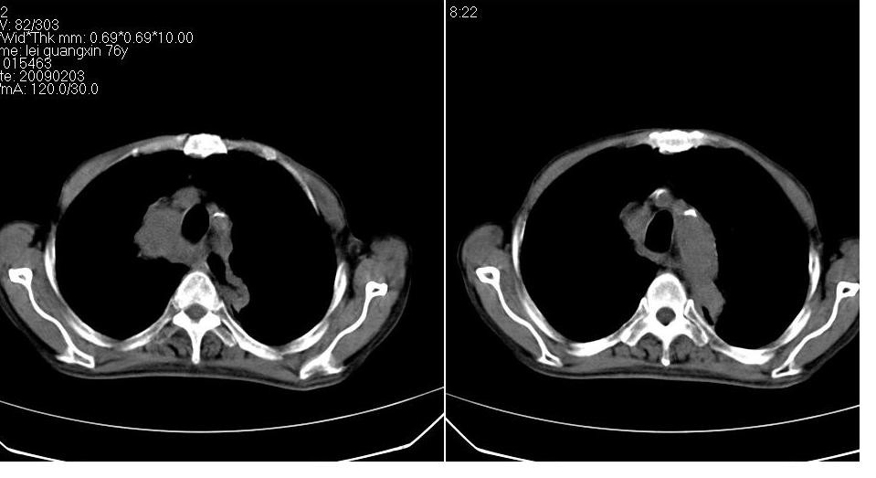
考虑----食管癌术后改变〔胃作食管重建术〕-------纵膈淋巴结转移
作者: lirenxiong    时间: 2009-2-4 01:20
纵隔阴影考虑转移,肺叶病变请给予值和肺窗
作者: wxq2008    时间: 2009-2-4 01:29
淋巴结转移,食道癌术后变胸腔胃。
作者: 894072    时间: 2009-2-4 03:06
食道癌术后变胸腔胃
作者: gmk_006    时间: 2009-2-4 03:09
纵隔淋巴结转移,纵隔术后改变、胸腔胃。
作者: 学    时间: 2009-2-4 03:10
支持以上说法
作者: 老爱克斯    时间: 2009-2-4 04:02
了解病史。支持纵隔淋巴结转移的诊断,但如果是上段食道癌术后就应考虑食道癌术后吻合口复发伴淋巴结转移。
作者: wangyong1977    时间: 2009-2-4 04:04
纵隔阴影考虑转移,胸腔胃。
作者: xulianj    时间: 2009-2-4 04:36
食道癌术后纵隔淋巴结转移
作者: 吴承学    时间: 2009-2-4 04:40
标题: 回复:ct17915:胸部ct平扫
纵隔淋巴结转移,纵隔术后改变、胸腔胃。
作者: ydx_74    时间: 2009-2-4 04:53
标题: 回复:ct17915:胸部ct平扫
上段食道癌术后,胸腔胃,术后吻合口复发伴淋巴结转移。
作者: 黑白光影    时间: 2009-2-4 05:45
食道癌术后变胸腔胃。淋巴结转移。
作者: 宇宙CT    时间: 2009-2-4 06:17
纵隔淋巴结转移,纵隔术后改变、胸腔胃。
作者: 胡宇    时间: 2009-2-4 07:27
淋巴结转移,食道癌术后变胸腔胃。
作者: dengkai    时间: 2009-2-4 08:31
纵隔淋巴结转移,纵隔术后改变、胸腔胃。
作者: 随光逐影    时间: 2009-2-4 16:00
食管癌术后,胸腔胃;纵膈淋巴结转移。
作者: hguox    时间: 2009-2-4 16:44
纵隔淋巴结转移,纵隔术后改变、胸腔胃。
作者: scdlc2008    时间: 2009-2-4 16:51
纵隔淋巴结转移
作者: 余辉    时间: 2009-2-4 17:09
食道癌术后纵隔淋巴结转移
作者: huenhao    时间: 2009-2-4 17:12
淋巴结转移,食道癌术后改变--胸腔胃
作者: 卜一    时间: 2009-2-4 17:26
食道癌术后纵隔淋巴结转移!!!
作者: dyqCT    时间: 2009-2-4 17:43
支持:食道癌术后纵隔淋巴结转移。
作者: zjb    时间: 2009-2-4 18:00
纵隔淋巴结转移,纵隔术后改变、胸腔胃
作者: zsl6918    时间: 2009-2-4 19:16
支持复发转移表现
作者: LIAOQIANG    时间: 2009-2-4 19:19
食道癌术后纵隔淋巴结转移。
作者: jinguoji    时间: 2009-2-5 14:27
纵隔淋巴结转移,纵隔术后改变、胸腔胃。




欢迎光临 医影在线 (http://bbs.radida.com/bbs/) Powered by Discuz! X3.2