







































以下是引用zbp537在2009-2-3 19:08:00的发言:[br]我诊断为肺泡性肺水肿。[br]诊断依据:[br]1、心影普遍增大,肺血管增粗,并见絮状高密度影,肺门改变显著。[br]2、临床上表现胸闷咳嗽,无发烧,不是一个典型的肺部感染的病史。
以下是引用王仕学在2009-2-3 20:28:00的发言:[br]考虑右下肺感染,建议治疗后复查。
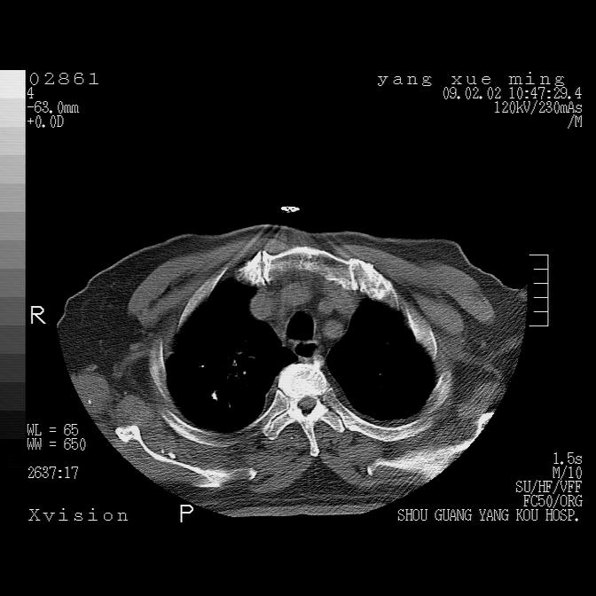
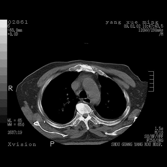
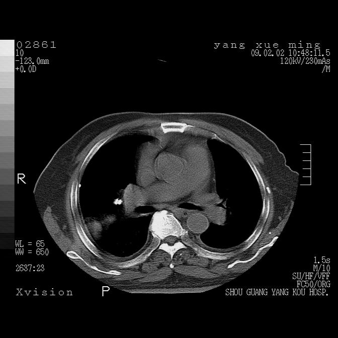
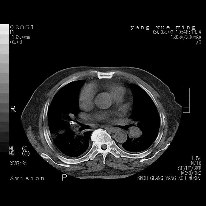
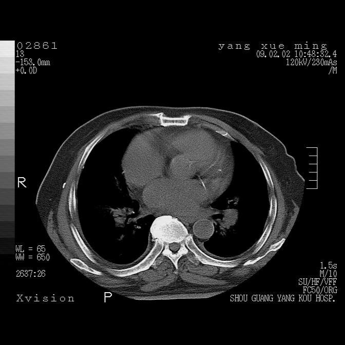
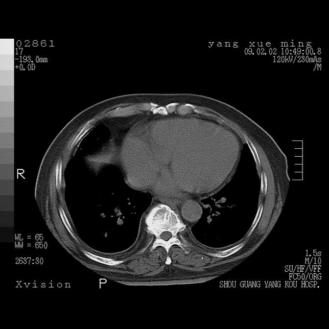
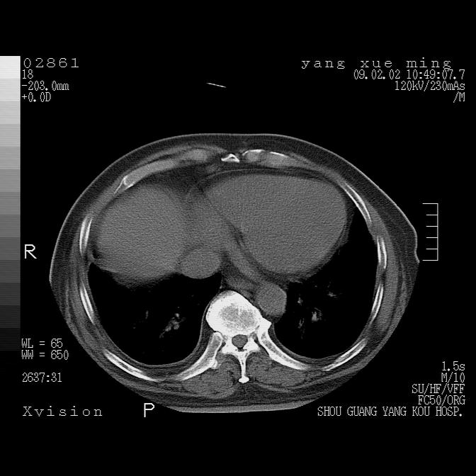
以下是引用lkc8963在2009-2-3 20:11:00的发言:[br]1)右上肺陈旧病灶。2)右下肺团块及团片影,影像表现符合感染。3)左心增大,左冠脉钙化,符合冠心病。4)双侧肺门扩大,以左侧为著,肺动脉干略粗,左上肺局限性气肿,为谨慎起见,需除肿瘤,建议增强。
以下是引用lkc8963在2009-2-3 20:11:00的发言:[br]1)右上肺陈旧病灶.2)右下肺团块及团片影,影像表现符合感染.3)左心增大,左冠脉钙化,符合冠心病.4)双侧肺门扩大以左侧为著,肺动脉干略粗,左上肺局限性气肿,为谨慎起见,需除肿瘤,建议增强.
| 欢迎光临 医影在线 (http://bbs.radida.com/bbs/) | Powered by Discuz! X3.2 |