



5



10



15





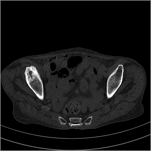
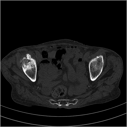
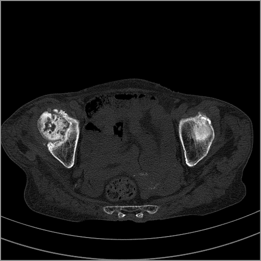
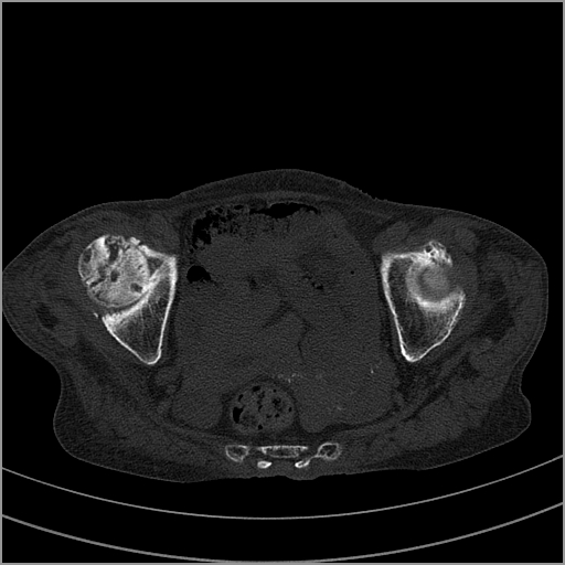
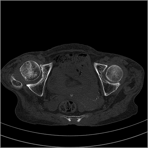
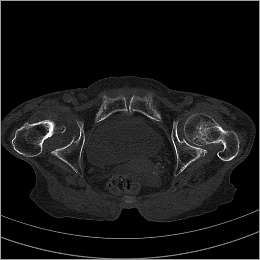
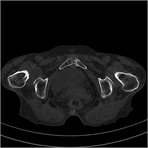
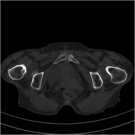
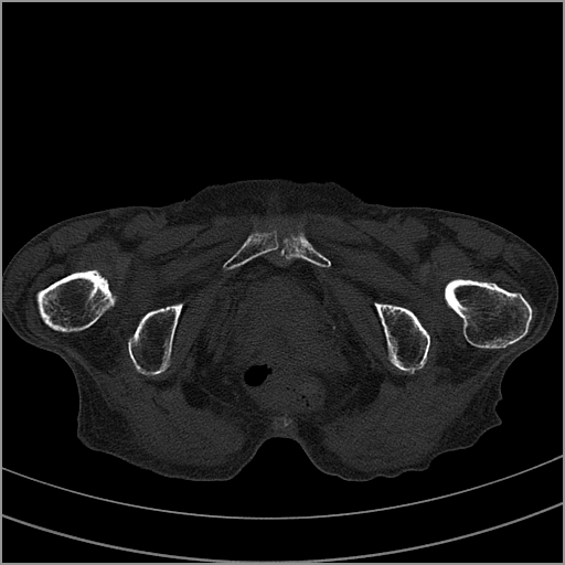
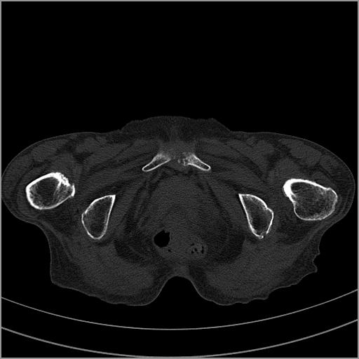
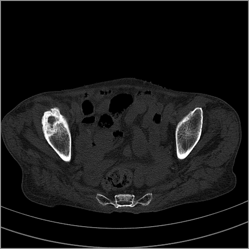
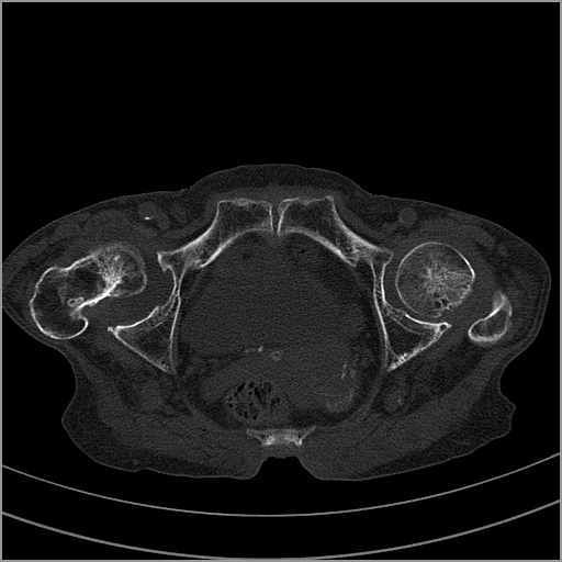
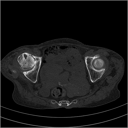
以下是引用老爱克斯新网客在2009-2-3 19:42:00的发言:[br]右侧髋臼及右侧股骨头可见明显骨质破坏,以溶骨性破坏为主,无明显硬化,髋关节间隙变窄,周围软组织明显肿胀,密度不均,脂肪间隙消失。[br] 诊断:右侧髋关节感染性病变,右侧髋关节结核的可能大。[br] 鉴别诊断:1.股骨头缺血坏死,单纯股骨头缺血坏死病例不会累积髋臼骨破坏。2。退行性关节炎,以骨质增生为主,伴有关节面硬化,骨质破坏呈多发小囊状破坏为主,其周围可见硬化环。3.股骨头缺血坏死晚期(第四期)骨质破坏可伴髋关节退行性变,可有骨质增生,但此时骨破坏以股骨头破坏为主,不应该伴有髋臼骨质破坏,因为股骨头的骨破坏是因血运中断,而没有髋臼的血运中断,又没有细菌的感染,怎么能造成髋臼的骨破坏呢。

以下是引用老爱克斯新网客在2009-2-3 19:42:00的发言:[br]右侧髋臼及右侧股骨头可见明显骨质破坏,以溶骨性破坏为主,无明显硬化,髋关节间隙变窄,周围软组织明显肿胀,密度不均,脂肪间隙消失。[br] 诊断:右侧髋关节感染性病变,右侧髋关节结核的可能大。[br] 鉴别诊断:1.股骨头缺血坏死,单纯股骨头缺血坏死病例不会累积髋臼骨破坏。2。退行性关节炎,以骨质增生为主,伴有关节面硬化,骨质破坏呈多发小囊状破坏为主,其周围可见硬化环。3.股骨头缺血坏死晚期(第四期)骨质破坏可伴髋关节退行性变,可有骨质增生,但此时骨破坏以股骨头破坏为主,不应该伴有髋臼骨质破坏,因为股骨头的骨破坏是因血运中断,而没有髋臼的血运中断,又没有细菌的感染,怎么能造成髋臼的骨破坏呢。
| 欢迎光临 医影在线 (http://bbs.radida.com/bbs/) | Powered by Discuz! X3.2 |