











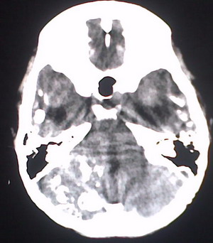
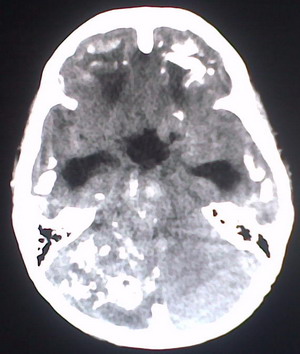
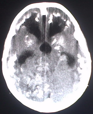
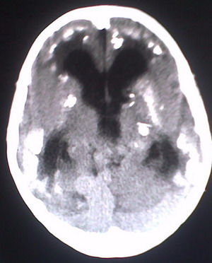
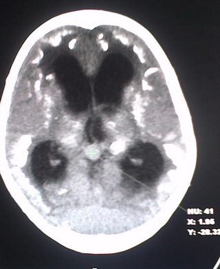
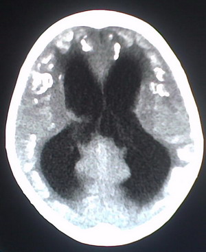
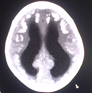
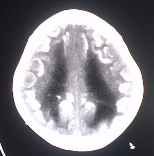
以下是引用jiajie在2009-2-3 20:02:00的发言:[br]脑室周围白质区可见大量斑片状钙化,部分融合成带状,双侧侧脑室及第三脑室扩大。[br]考虑弓形体原虫感染。(先天性宫内感染、torch综合症)
以下是引用jiajie在2009-2-3 20:02:00的发言:[br]脑室周围白质区可见大量斑片状钙化,部分融合成带状,双侧侧脑室及第三脑室扩大。[br]考虑弓形体原虫感染。(先天性宫内感染、torch综合症)
以下是引用影象小泰斗在2009-2-3 20:50:00的发言:[br]没见过这样的病例!考虑先天性颅脑发育异常(脑血管性质的)
以下是引用lkc8963在2009-2-3 21:15:00的发言:[br]临床眼睑可见静脉扩张,ct双侧眼上静脉亦示扩张,颅内钙化以皮层\\软脑膜为主而不是位于白质和室管膜,再加上静脉窦异常,还是应该考虑静脉血管瘤病,可能为较复杂的血管畸形.
以下是引用卜一在2009-2-4 9:21:00的发言:[br]sturge-weber综合征:面部三叉神经分布区的毛细血管性或海绵状血管瘤以及同侧枕、顶或额叶软脑膜的血管瘤(以静脉性为主)。脑皮质,特别是第二三层,毛细血管可有增厚和钙化。局部发生层状坏死、神经细胞脱失、萎缩、胶质细胞增生及钙盐沉着。可根据面部典型分布的特征性皮痣作出诊断。头颅ct:发现面部血管瘤同侧的脑内病理钙化影,呈双层线条波浪形、脑回形或树枝形。本例支持:sturge-weber综合征![br]
以下是引用dyqct在2009-2-4 10:01:00的发言:[br][quote]以下是引用卜一在2009-2-4 9:21:00的发言:[br]sturge-weber综合征:面部三叉神经分布区的毛细血管性或海绵状血管瘤以及同侧枕、顶或额叶软脑膜的血管瘤(以静脉性为主)。脑皮质,特别是第二三层,毛细血管可有增厚和钙化。局部发生层状坏死、神经细胞脱失、萎缩、胶质细胞增生及钙盐沉着。可根据面部典型分布的特征性皮痣作出诊断。头颅ct:发现面部血管瘤同侧的脑内病理钙化影,呈双层线条波浪形、脑回形或树枝形。本例支持:sturge-weber综合征![br]
以下是引用lkc8963在2009-2-3 21:15:00的发言:[br]临床眼睑可见静脉扩张,ct双侧眼上静脉亦示扩张,颅内钙化以皮层\\软脑膜为主而不是位于白质和室管膜,再加上静脉窦异常,还是应该考虑静脉血管瘤病,可能为较复杂的血管畸形.
| 欢迎光临 医影在线 (http://bbs.radida.com/bbs/) | Powered by Discuz! X3.2 |