医影在线
标题: CT17925:F52Y,腹水待查! [打印本页]
作者: suncl 时间: 2009-2-4 19:35
标题: CT17925:F52Y,腹水待查!
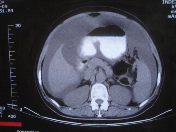
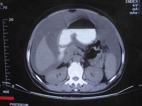
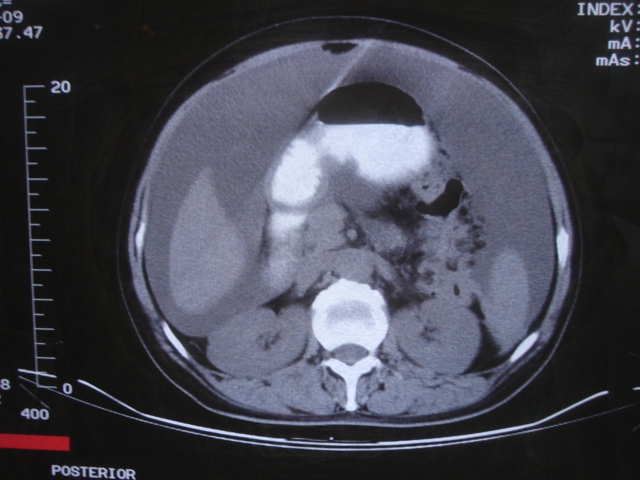
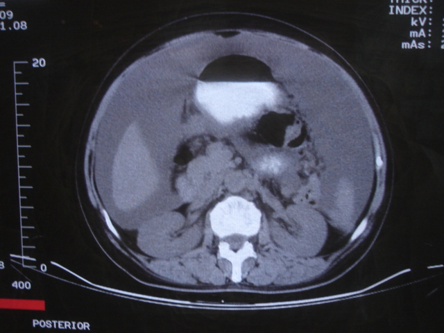
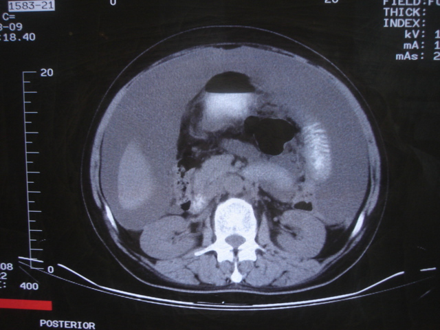
患者 女 52 腹部大量腹水。大家帮忙看看胃窦部有问题吗?




[本贴已被 jiajie 于 2009-2-4 12:43:20 修改过]
b超显示腹部、盆腔未见异常;化验室检查afp cea 正常,ca125 升高 347.4。
[本贴已被 suncl 于 2009-2-5 13:12:26 修改过]
作者: dengkai 时间: 2009-2-4 21:16
腹部大量腹水。胃窦部胃壁增厚,轮廓不规则!
作者: 卜一 时间: 2009-2-4 22:43
建议行胃镜!
作者: DXM 时间: 2009-2-4 23:17
胃窦部胃壁增厚 建议胃镜检查
作者: 随光逐影 时间: 2009-2-5 00:00
1)不排除胃癌可能;建议行胃镜检查。2)大量腹水。
作者: huenhao 时间: 2009-2-5 00:13
不排除胃癌可能;建议行胃镜检查。大量腹水
作者: zgjldq 时间: 2009-2-5 00:23
1)不排除胃癌可能;建议行胃镜检查。2)大量腹水。
作者: wulingfeng329 时间: 2009-2-5 00:30
请提供详细病史,大量腹水是不是来源于胃部不好说,再说病人是女性,还要排除一下是不是来源生殖系统的疾病.
楼主,有没连续的腹盆部ct片?
作者: dyqCT 时间: 2009-2-5 00:43
标题: 回复:ct17925:f52y,腹水待查!
以下是引用随光逐影在2009-2-4 16:00:00的发言:[br]1)不排除胃癌可能;建议行胃镜检查。2)大量腹水。
网膜不干净,可能为癌性腹膜炎。
作者: gmk_006 时间: 2009-2-5 02:35
胃窦部胃壁限局性增厚,胃癌待除外。建议胃镜检查
作者: qiushi 时间: 2009-2-5 02:55
肝脏有没有问题?
作者: 杀毒软件 时间: 2009-2-5 02:59
建议行胃镜
作者: ydx_74 时间: 2009-2-5 03:10
胃窦部胃壁限局性增厚,不排外腹膜病变的影响。
作者: xulianj 时间: 2009-2-5 03:59
胃窦部及小弯侧壁限局性增厚,胃癌待除外。建议胃镜检查!
作者: 黑白光影 时间: 2009-2-5 05:10
胃窦癌腹膜转移可能。
作者: zsl6918 时间: 2009-2-5 06:14
查附件看看
作者: jinguoji 时间: 2009-2-5 13:09
腹部大量腹水。胃窦部胃壁增厚,轮廓不规则,胃癌待除外,建议胃镜检查。
作者: suncl 时间: 2009-2-5 21:11
b超显示腹部、盆腔未见异常;化验室检查afp cea 正常,ca125 升高 347.4。
| 欢迎光临 医影在线 (http://bbs.radida.com/bbs/) |
Powered by Discuz! X3.2 |