医影在线
标题: CT17932:临床怀疑肺栓塞 [打印本页]
作者: wz_221 时间: 2009-2-5 03:48
标题: CT17932:临床怀疑肺栓塞
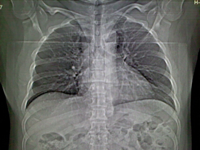
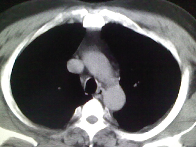
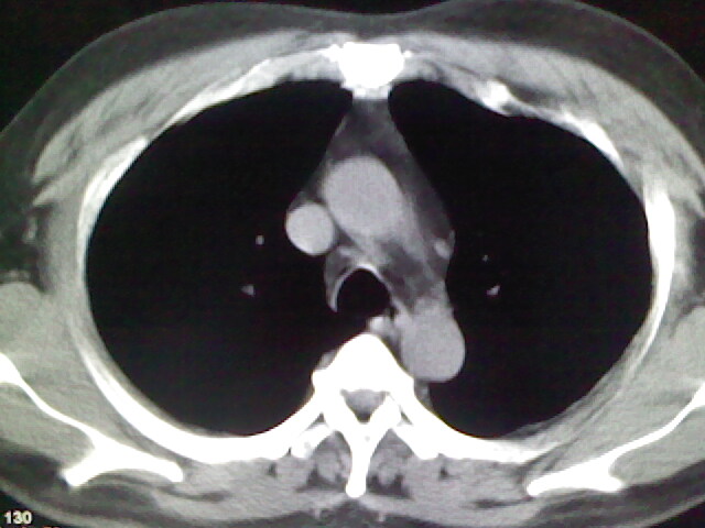
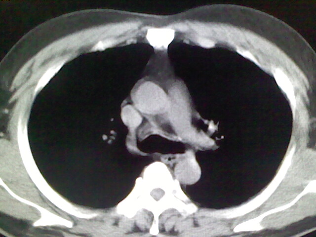
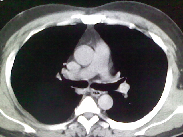
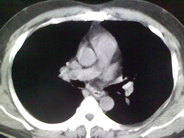
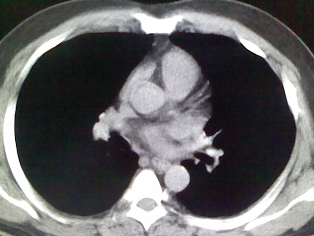
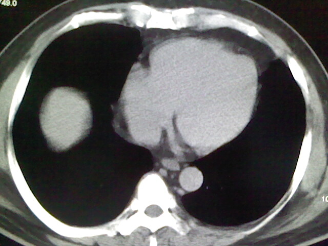
男,34岁,自觉右侧胸痹,胸闷3天余





































[本贴已被 wz_221 于 2009-2-4 19:52:20 修改过]
[本贴已被 jiajie 于 2009-2-4 20:43:44 修改过]
作者: xulianj 时间: 2009-2-5 04:10
两肺纹理增多,余未见明确异常。
作者: 流浪星 时间: 2009-2-5 04:36
未见明显异常。图像上看此患者比较肥胖,建议查下心超
作者: fumaogui 时间: 2009-2-5 04:45
未见异常。
作者: dr.yang 时间: 2009-2-5 05:03
未见明确异常。
作者: 杀毒软件 时间: 2009-2-5 05:17
未见明确异常
作者: 随光逐影 时间: 2009-2-5 05:46
左肺上叶舌段少许炎症。
作者: zsl6918 时间: 2009-2-5 05:47
大致正常表现
作者: yy杨洋 时间: 2009-2-5 06:07
未见明确异常
作者: 黑白光影 时间: 2009-2-5 06:11
肺部大致正常,有可能给心脏需作个检查。
作者: dengkai 时间: 2009-2-5 06:28
未见明确异常
作者: 卜一 时间: 2009-2-5 12:50
未见明显异常!
作者: jinguoji 时间: 2009-2-5 13:46
未见明显异常。
作者: qc80012345 时间: 2009-2-5 14:25
未见明确异常
作者: 余辉 时间: 2009-2-5 17:04
肺纹理分布较均匀,暂不提示肺梗塞
作者: zbp537 时间: 2009-2-5 17:13
左上肺局限片状透光度增强区,肺纹理稀少,可考虑局限性肺气肿。
作者: 江尾海头 时间: 2009-2-5 17:18
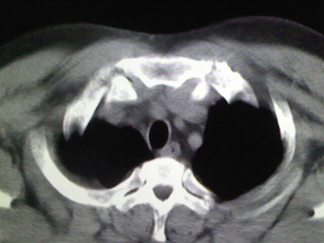
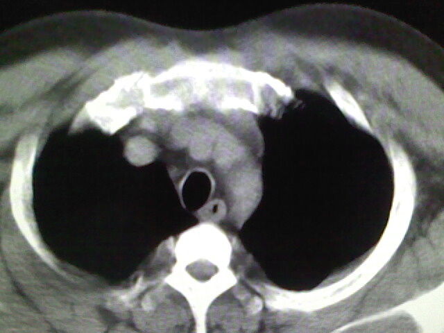
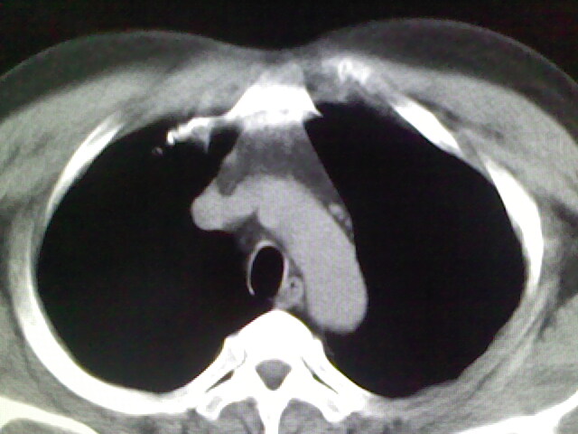
右侧肺动脉似见密度稍低影,请在机器的薄层上再看看有没有充盈缺损。
作者: zbp537 时间: 2009-2-5 18:27
左上肺局限性肺透光度减低,肺纹理稀少;这虽然符合早期肺栓塞的改变,但与局限性肺气肿难以鉴别。
书上讲早期肺栓塞就是表现肺透光度减低,肺纹稀少。
作者: 影象小辈 时间: 2009-2-5 18:30
未见明显异常
作者: LIAOQIANG 时间: 2009-2-5 22:22
未见明确异常。
| 欢迎光临 医影在线 (http://bbs.radida.com/bbs/) |
Powered by Discuz! X3.2 |