医影在线

标题: CT17933:脑出血多日 [打印本页]

作者: wz_221    时间: 2009-2-5 04:08
标题: CT17933:脑出血多日
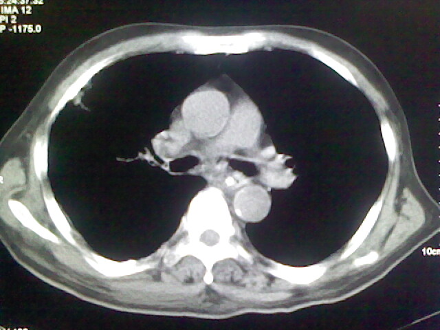
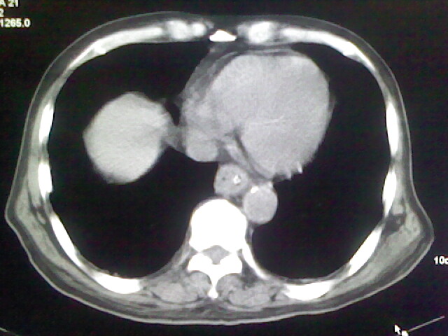
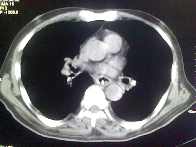
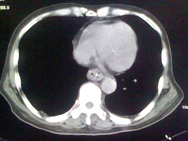
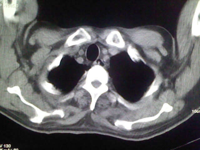
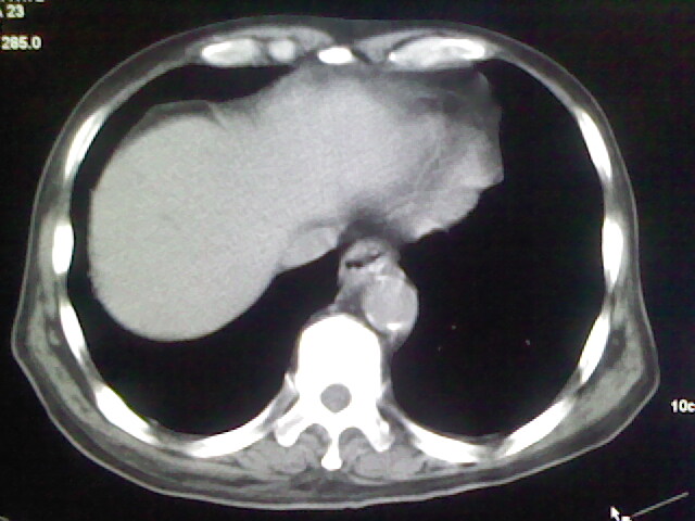
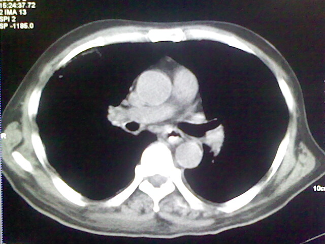
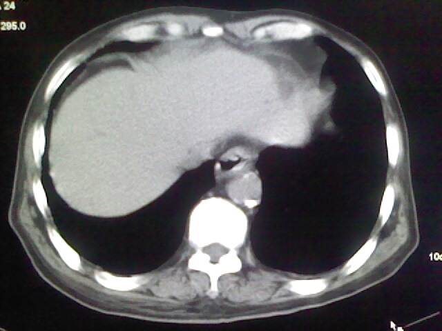
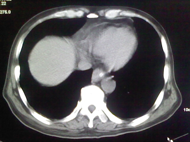
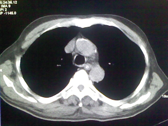
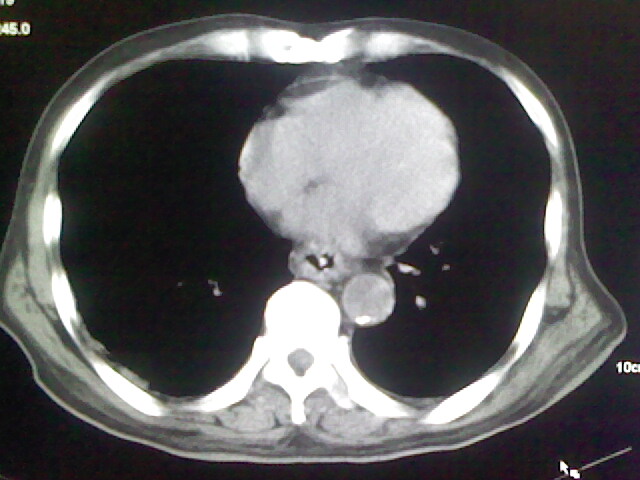
男,70岁,脑出血,长期卧床,左侧背部可触及肿块


























































[本贴已被 jiajie 于 2009-2-4 20:44:12 修改过]

作者: 流浪星    时间: 2009-2-5 04:32
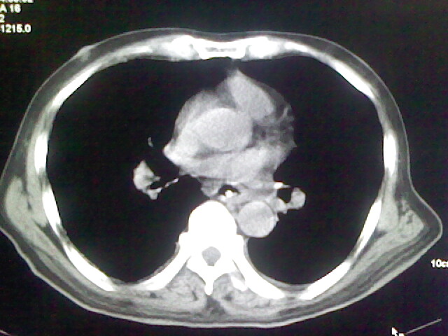
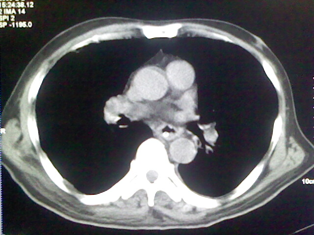
右肺病灶考虑炎症性。
作者: ZXL51642    时间: 2009-2-5 04:57
慢性间质性炎症,与老年患者长期卧床相关,胸壁软组织及肋骨未见异常。
作者: 杀毒软件    时间: 2009-2-5 05:16
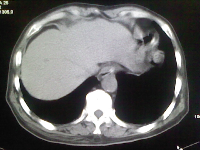
背部没见到肿块呀,有感染灶。
作者: huangyinshan    时间: 2009-2-5 05:26
右肺病灶考虑炎症性
作者: 随光逐影    时间: 2009-2-5 05:43
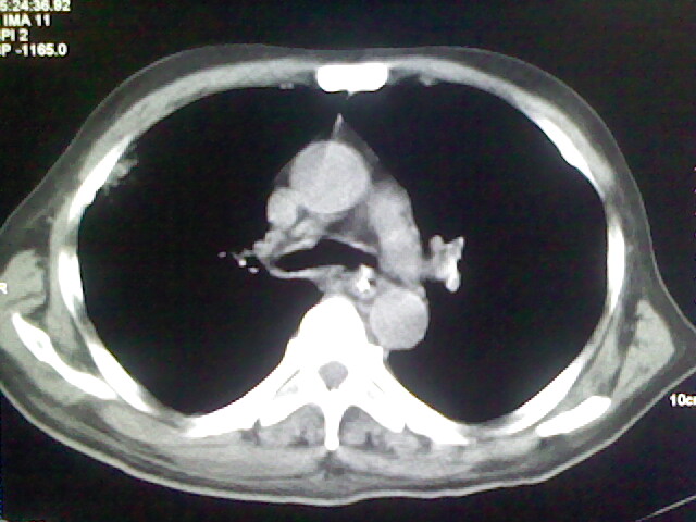
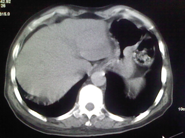
考虑右肺及左肺下叶炎症。
作者: zsl6918    时间: 2009-2-5 05:46
继发感染
作者: 黑白光影    时间: 2009-2-5 05:56
肺部感染。
作者: dengkai    时间: 2009-2-5 06:38
右肺及左肺下叶炎症。
作者: wangzhengyuan    时间: 2009-2-5 06:51
炎性病变。
作者: 卜一    时间: 2009-2-5 12:52
考虑右肺及左肺下叶慢性炎症。
作者: jinguoji    时间: 2009-2-5 13:50
考虑右肺及左肺下叶炎症。
作者: qc80012345    时间: 2009-2-5 14:23
支持;肺部感染。
作者: 余辉    时间: 2009-2-5 16:59
肺部感染,背部筋膜增厚,考虑坠积性水肿或炎症
作者: 江尾海头    时间: 2009-2-5 17:26
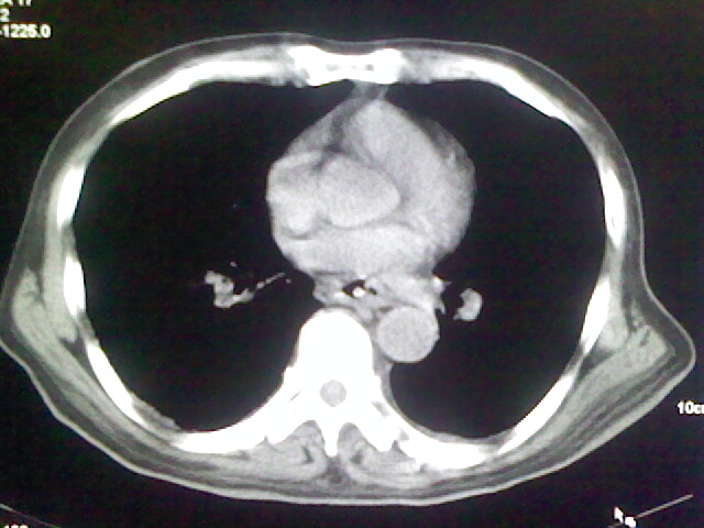
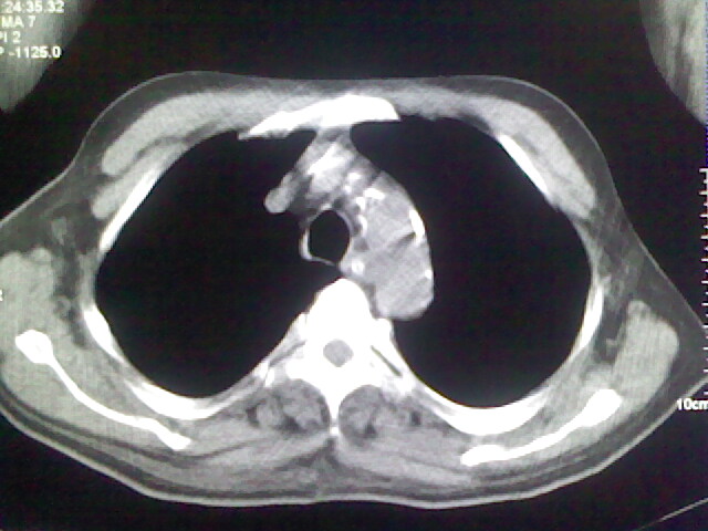
右侧肺部见片状密度增高影,边缘模糊。考虑炎症。另食管壁增厚。
作者: zbp537    时间: 2009-2-5 17:26
右肺肺气肿并炎症。
作者: 清风照影来    时间: 2009-2-5 17:51
标题: 回复:ct17933:脑出血多日
炎性病变。
作者: zbp537    时间: 2009-2-5 18:20
肺气肿并炎症。
作者: LIAOQIANG    时间: 2009-2-5 22:26
右肺上叶前段病呈楔形,其尖端指向肺门,考虑肺动脉栓塞可能性大.
作者: CVDLL    时间: 2009-2-13 00:50
食道里是什么
你放上去的
作者: dsl555    时间: 2009-2-13 02:14
肺部感染




欢迎光临 医影在线 (http://bbs.radida.com/bbs/) Powered by Discuz! X3.2