医影在线
标题: PED1739:男4岁,反复抽搐多年,今早再次大抽搐,伴昏迷 [打印本页]
作者: 王明发 时间: 2009-2-6 01:13
标题: PED1739:男4岁,反复抽搐多年,今早再次大抽搐,伴昏迷
男4岁,反复抽搐多年,今早再次大抽搐,伴昏迷









[本贴已被 jiajie 于 2009-2-5 19:09:13 修改过]
作者: 杀毒软件 时间: 2009-2-6 01:24
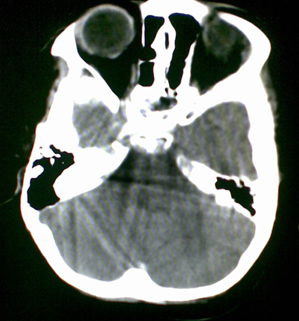
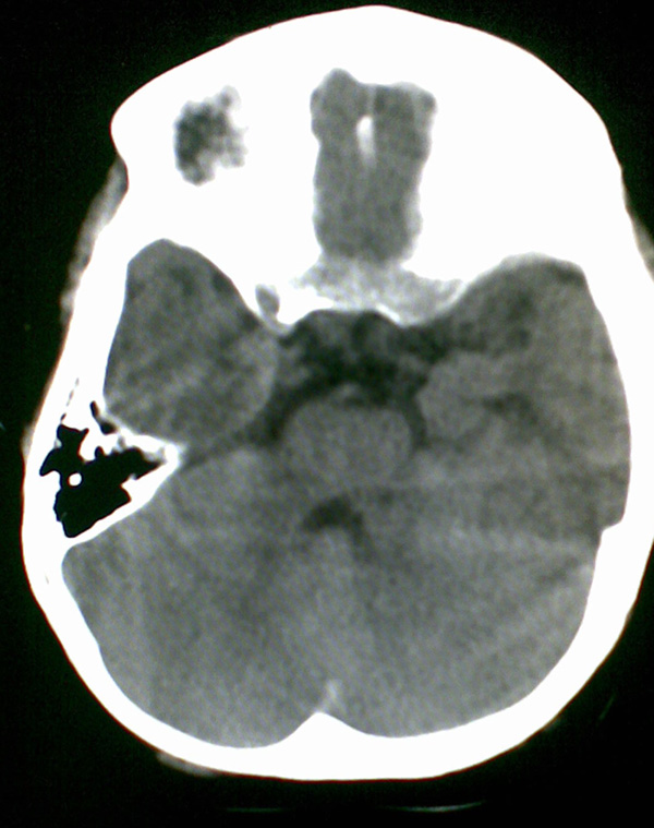
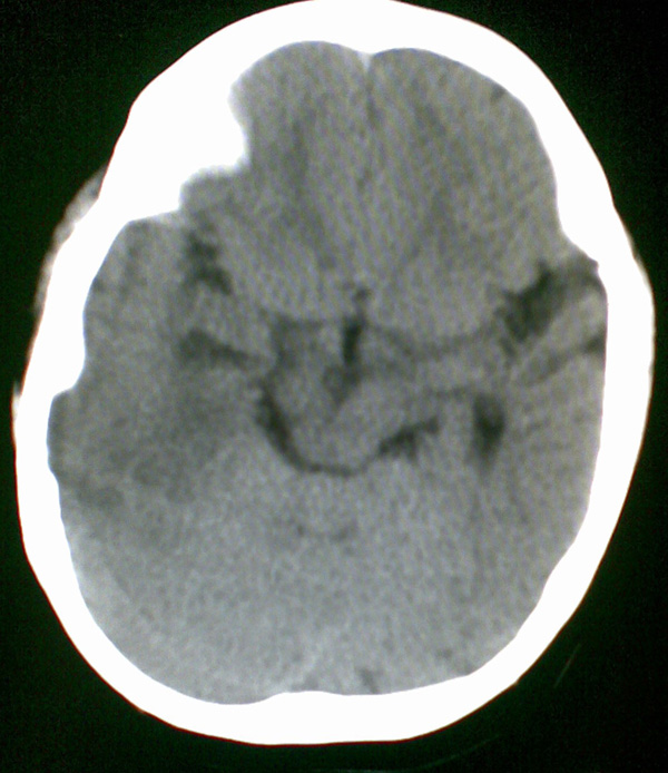
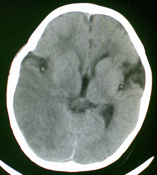
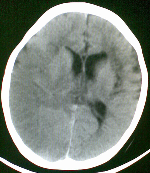
考虑---右侧大脑半球脑梗死
作者: wangzhengyuan 时间: 2009-2-6 01:46
右侧大脑半球密度减低,脑组织肿胀,占位?建议增强。
作者: wxn112233 时间: 2009-2-6 01:59
考虑脑梗塞.
作者: jiangjing 时间: 2009-2-6 02:14
考虑脑梗塞. kaolv 血管病变---烟雾病可能
作者: 随光逐影 时间: 2009-2-6 02:18
1)右侧大脑半球大面积脑梗塞。2)双侧额叶脑软化灶。3)脑萎缩。
建议:必要时行dsa检查排除烟雾病可能。
作者: liangshusheng 时间: 2009-2-6 02:42
大面积脑梗塞
作者: 余辉 时间: 2009-2-6 02:50
标题: 1
右侧半球梗塞,多发软化灶,考虑血管畸形继发,进一步检查。
[本贴已被 余辉 于 2009-2-5 18:50:11 修改过]
作者: dsl555 时间: 2009-2-6 02:55
考虑---右侧大脑半球脑梗死
作者: 黑白光影 时间: 2009-2-6 06:17
右侧大脑半球大面积脑梗塞。
作者: LIAOQIANG 时间: 2009-2-6 21:00
右侧大脑半球大面积脑梗塞。双侧额叶脑软化灶。考虑血管畸形继发,建议进一步检查。
作者: 同 时间: 2009-2-6 21:21
标题: 回复:ped1739:男4岁,反复抽搐多年,今早再次大抽搐,伴
以下是引用随光逐影在2009-2-5 18:18:00的发言:[br]1)右侧大脑半球大面积脑梗塞。2)双侧额叶脑软化灶。3)脑萎缩。[br]建议:必要时行dsa检查排除烟雾病可能。
作者: doc张 时间: 2009-2-6 21:38
可怜的孩子,新老病灶同时存在。
作者: huqi8888 时间: 2009-2-6 23:57
以下是引用随光逐影在2009-2-5 18:18:00的发言:
1)右侧大脑半球大面积脑梗塞。2)双侧额叶脑软化灶。3)脑萎缩。
建议:必要时行dsa检查排除烟雾病可能。
作者: liaizhi 时间: 2009-2-7 05:19
1右侧大面积脑梗死2左侧额颞部软化灶。
作者: zsl6918 时间: 2009-2-7 15:25
建议mr明确
作者: 王云仙 时间: 2009-2-9 01:18
学习了
作者: dengkai 时间: 2009-2-9 02:13
1右侧大面积脑梗死2左侧额颞部软化灶。
作者: 王云仙 时间: 2009-2-9 04:57
支持6楼
作者: dyqCT 时间: 2009-2-9 05:07
标题: 回复:ped1739:男4岁,反复抽搐多年,今早再次大抽搐,伴
以下是引用随光逐影在2009-2-5 18:18:00的发言:[br]1)右侧大脑半球大面积脑梗塞。2)双侧额叶脑软化灶。3)脑萎缩。[br]建议:必要时行dsa检查排除烟雾病可能。
作者: ydx_74 时间: 2009-2-10 22:07
右侧大脑半球大面积脑梗塞(血管畸形)
作者: zimiu 时间: 2009-2-14 03:57
右侧半球梗塞,多发软化灶,考虑血管畸形继发,进一步检查。
作者: jinguoji 时间: 2009-2-17 06:12
右侧大脑半球大面积脑梗塞。
| 欢迎光临 医影在线 (http://bbs.radida.com/bbs/) |
Powered by Discuz! X3.2 |