医影在线
标题: CT17960:F,68岁,颈部肿大4年,加重1年疼痛, [打印本页]
作者: ydx_74 时间: 2009-2-6 04:48
标题: CT17960:F,68岁,颈部肿大4年,加重1年疼痛,
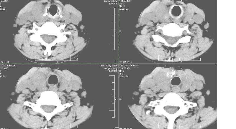
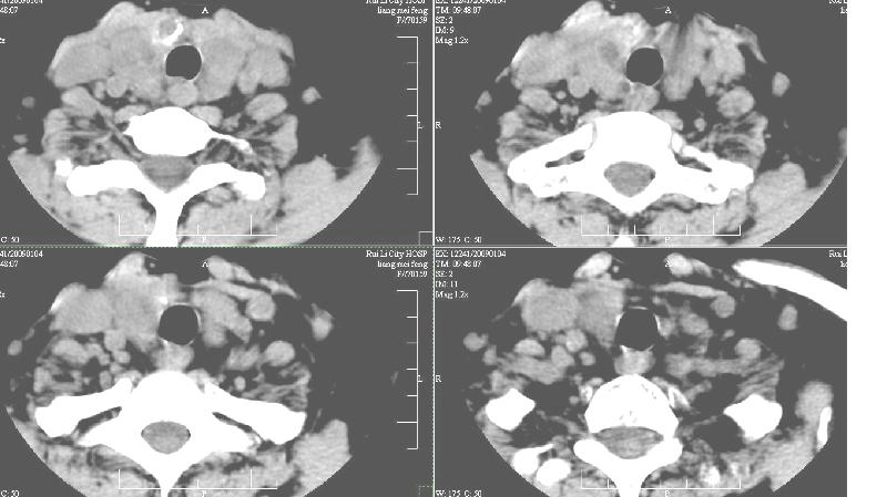
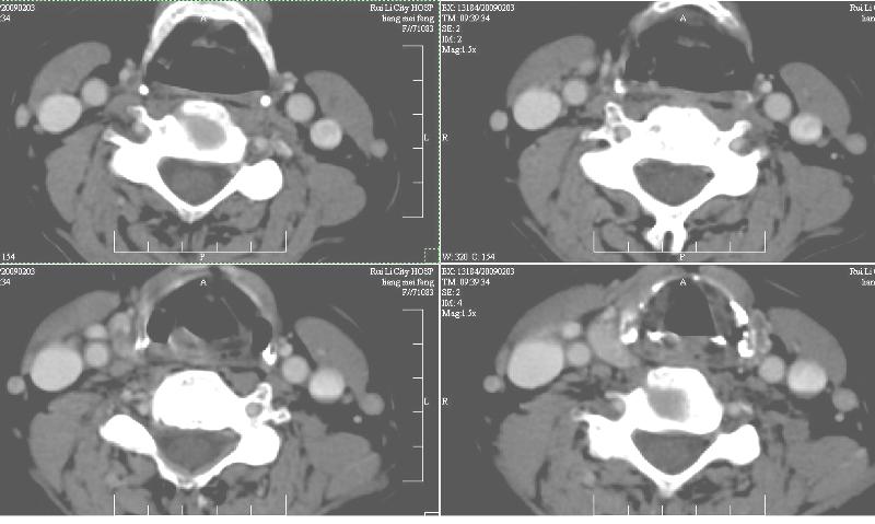
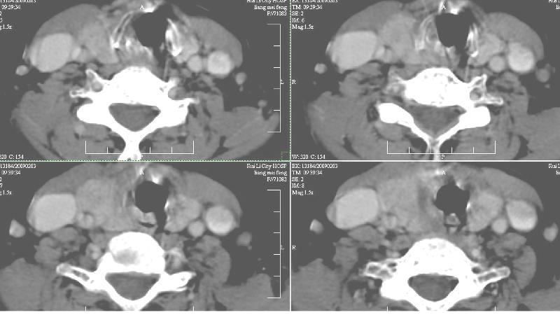
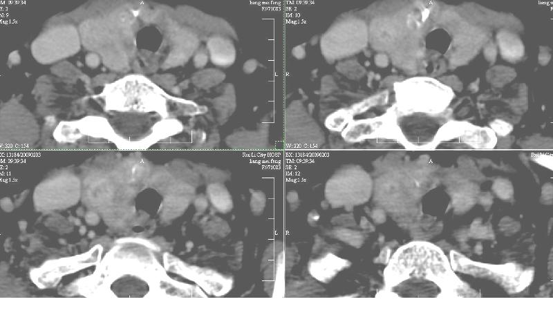
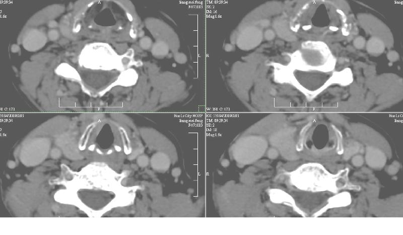
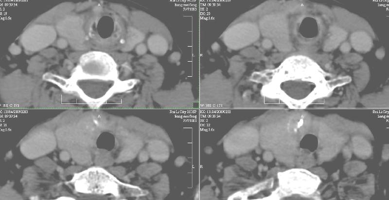
双侧甲状腺稍肿,右侧触及包块,随吞咽上下活动。 1、双侧甲状腺肿(摄碘率降低)。2、右侧甲状腺多发腺瘤,必要时增强。平扫


增强:1、双侧甲状腺肿。2、平扫甲状腺内多发占位病变,增强显示不清楚,境界欠清,请结合临床考虑甲状腺瘤。



2期



[本贴已被 jiajie 于 2009-2-5 21:15:03 修改过]
作者: 杀毒软件 时间: 2009-2-6 05:13
标题: 1
考虑甲状腺癌!
[本贴已被 杀毒软件 于 2009-2-5 21:54:45 修改过]
作者: dengkai 时间: 2009-2-6 05:15
右侧甲状腺占位及右侧淋巴结肿大,考虑甲状腺癌!期待结果!
作者: dsl555 时间: 2009-2-6 05:36
标题: 回复:ct17960:f,68岁,颈部肿大4年,加重1年疼痛,
以下是引用dengkai在2009-2-5 21:15:00的发言:[br]右侧甲状腺占位及右侧淋巴结肿大,考虑甲状腺癌!期待结果!
作者: zsl6918 时间: 2009-2-6 16:50
强化效果一般,未见明显恶性征象。
作者: 随光逐影 时间: 2009-2-6 17:49
1)弥漫性甲状腺肿。2)甲状腺多发性腺瘤?
作者: 黑白光影 时间: 2009-2-6 18:51
同意楼主意见。
作者: ydx_74 时间: 2009-2-7 04:20
甲状腺癌?有那些征象?请教下!
作者: zjb 时间: 2009-2-8 04:53
标题: 回复:ct17960:f,68岁,颈部肿大4年,加重1年疼痛,
以下是引用ydx_74在2009-2-6 20:20:00的发言:[br]甲状腺癌?有那些征象?请教下!
| 欢迎光临 医影在线 (http://bbs.radida.com/bbs/) |
Powered by Discuz! X3.2 |