医影在线

标题: PED1740::男,3岁,肾母细胞瘤术后。 [打印本页]

作者: zhw974247    时间: 2009-2-6 06:58
标题: PED1740::男,3岁,肾母细胞瘤术后。
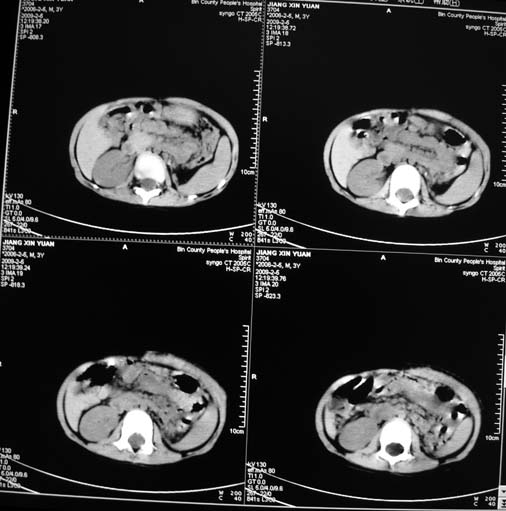
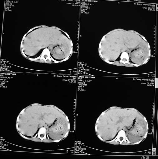
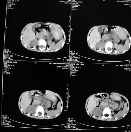
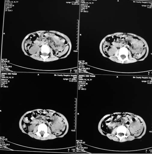
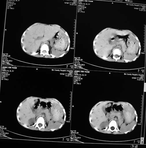
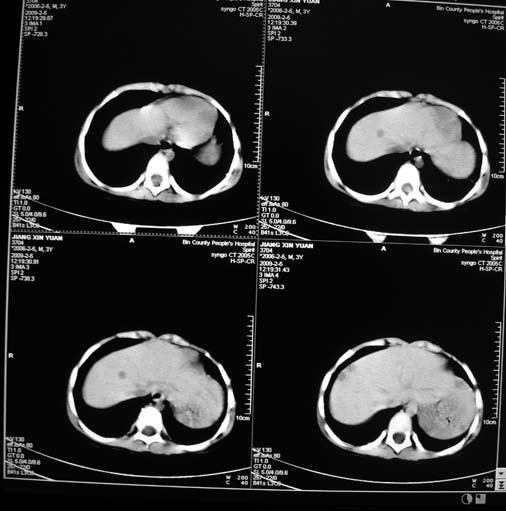
男,3岁,肾母细胞瘤术后,肝脏的低密度是什么?











[本贴已被 翁志蓬 于 2009-2-6 0:00:07 修改过]

作者: qc80012345    时间: 2009-2-6 07:15
术前是否有图像?为什么不做ct增强?
作者: 余辉    时间: 2009-2-6 16:45
胰尾下方见两枚囊形灶,肠管?病灶?左侧肾上腺区见团块状影,转移病灶?术后表现?建议与前片对比,肝脏病灶好像有牛眼表现,不除外转移,如果不增强,建议加做个b超,至少可分清其囊性或者实性,又便宜,免费自已给他弄一下也行,对诊断有帮助
作者: 随光逐影    时间: 2009-2-6 18:19
左肾母细胞瘤术后,多发性转移可能性大。
作者: jinguoji    时间: 2009-2-6 18:37
标题: 回复:ped1740::男,3岁,肾母细胞瘤术后。
以下是引用随光逐影在2009-2-6 10:19:00的发言:[br]左肾母细胞瘤术后,多发性转移可能性大。

作者: 杀毒软件    时间: 2009-2-6 20:00
标题: 回复:ped1740::男,3岁,肾母细胞瘤术后。
以下是引用随光逐影在2009-2-6 10:19:00的发言:[br]左肾母细胞瘤术后,多发性转移可能性大。

支持
作者: LIAOQIANG    时间: 2009-2-6 21:03
左肾母细胞瘤术后:肝脏多发低密度灶,考虑转移可能性大。
作者: 同    时间: 2009-2-6 21:19
首先考虑转移瘤。
作者: zsl6918    时间: 2009-2-7 15:24
转移灶
作者: jiangjing    时间: 2009-2-8 22:52
左肾母细胞瘤术后:肝脏多发低密度灶,考虑转移可能.请结合临床及增强以及术前检查等
作者: 王云仙    时间: 2009-2-9 01:01
支持3楼
作者: dengkai    时间: 2009-2-9 02:15
左肾母细胞瘤术后,多发性转移可能性大。
作者: dyqCT    时间: 2009-2-9 05:09
标题: 回复:ped1740::男,3岁,肾母细胞瘤术后。
以下是引用随光逐影在2009-2-6 10:19:00的发言:[br]左肾母细胞瘤术后,多发性转移可能性大。

支持!
作者: ydx_74    时间: 2009-2-10 22:04
支持
作者: zimiu    时间: 2009-2-14 03:59
左肾母细胞瘤术后:肝脏多发低密度灶,考虑转移可能.请结合临床及增强以及术前检查等




欢迎光临 医影在线 (http://bbs.radida.com/bbs/) Powered by Discuz! X3.2