医影在线

标题: CT17975:请求会诊。男、57岁。上腹部胀痛2天。临床诊断:糜 [打印本页]

作者: taj2000    时间: 2009-2-6 20:08
标题: CT17975:请求会诊。男、57岁。上腹部胀痛2天。临床诊断:糜

















































[本贴已被 jiajie 于 2009-2-6 14:16:17 修改过]

作者: 杀毒软件    时间: 2009-2-6 20:18
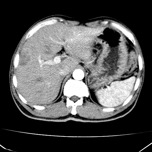
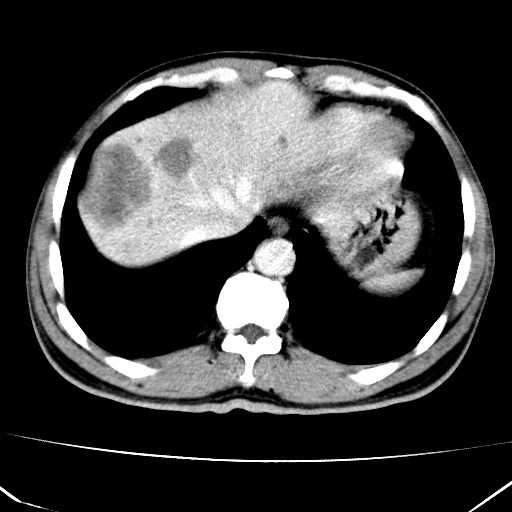
考虑---胃癌肝脏转移可能---建议---胃镜
作者: 流浪星    时间: 2009-2-6 20:48
支持楼上考虑
作者: LIAOQIANG    时间: 2009-2-6 20:53
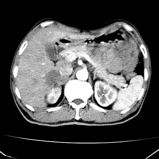
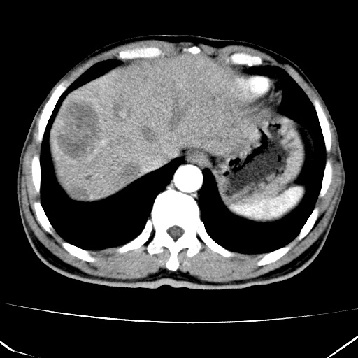
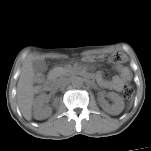
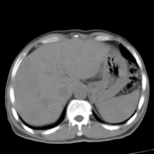
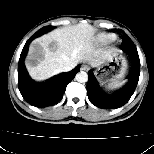
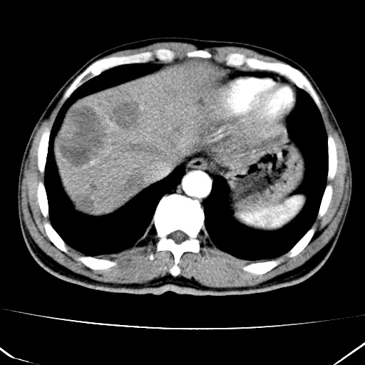
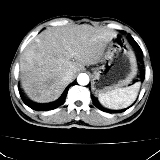
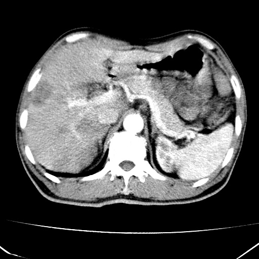
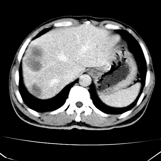
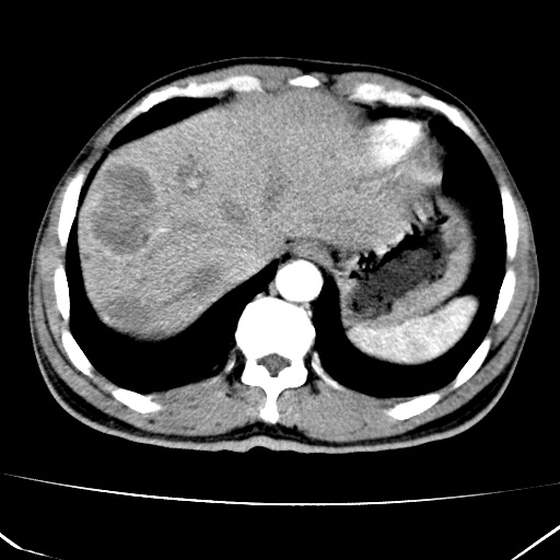
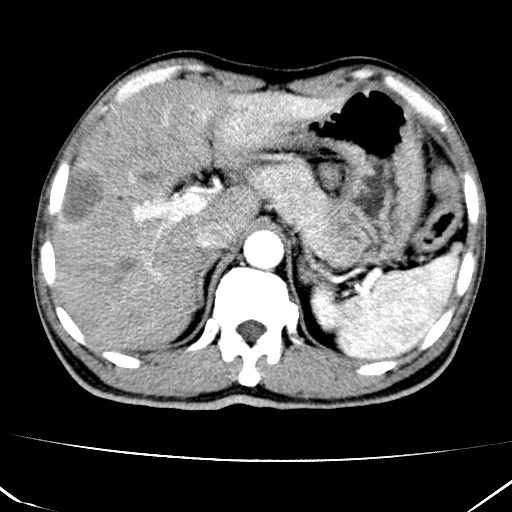
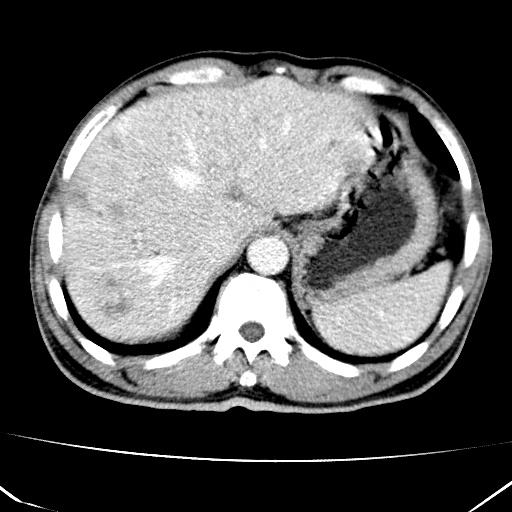
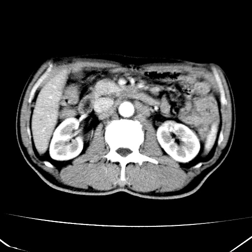
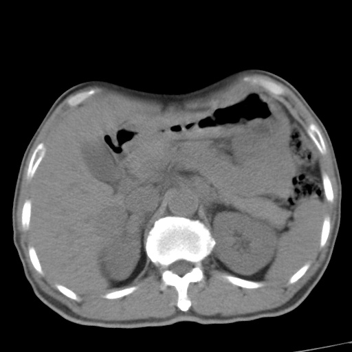
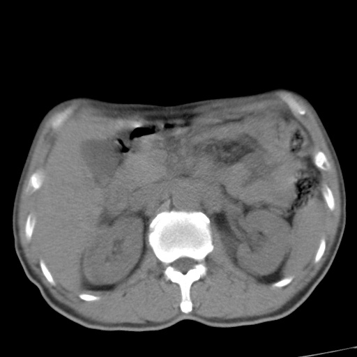
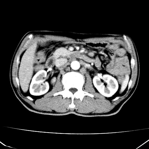
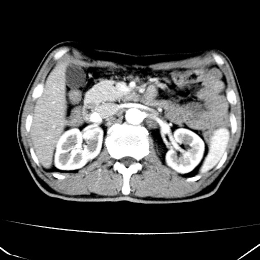
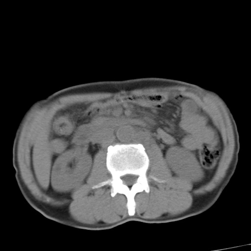
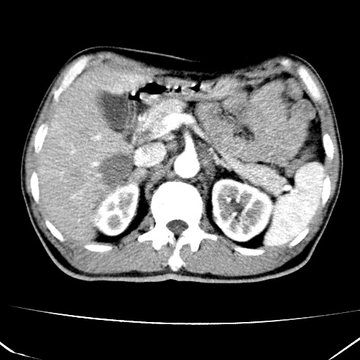
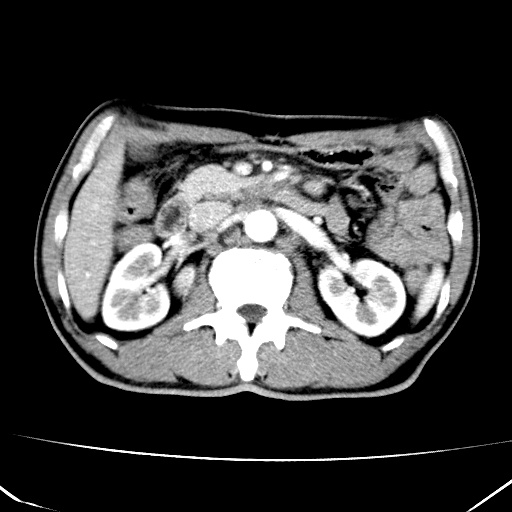
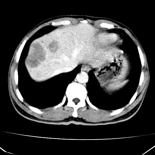
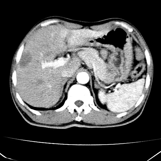
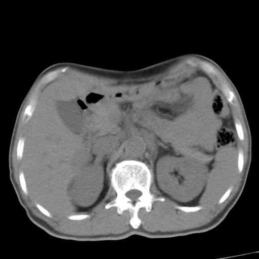
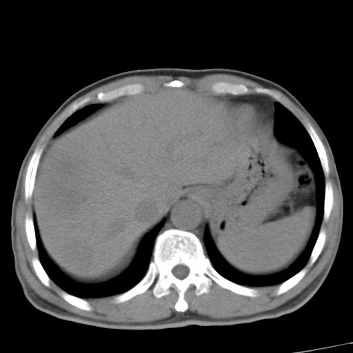
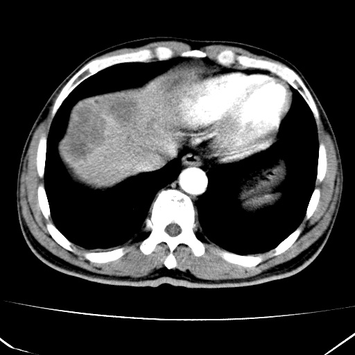
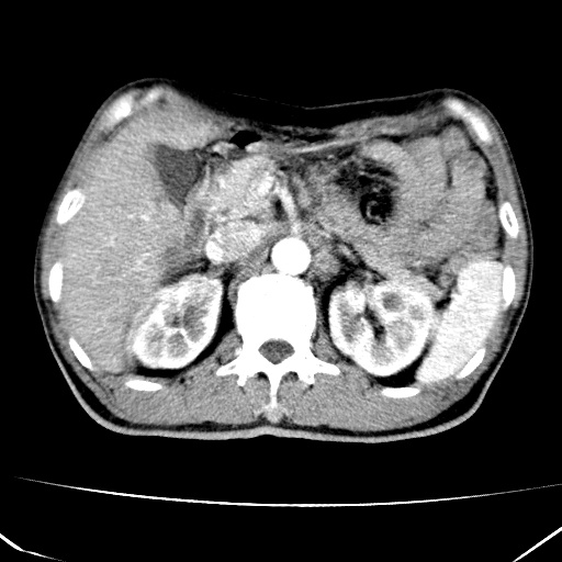
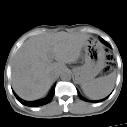
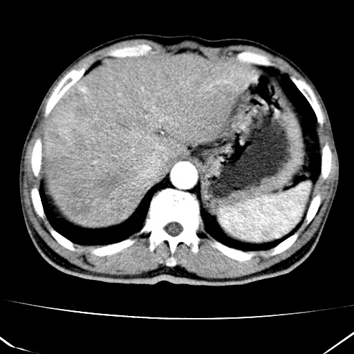
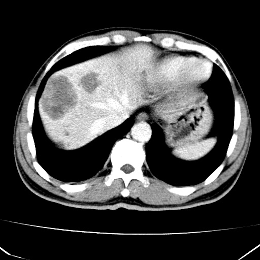
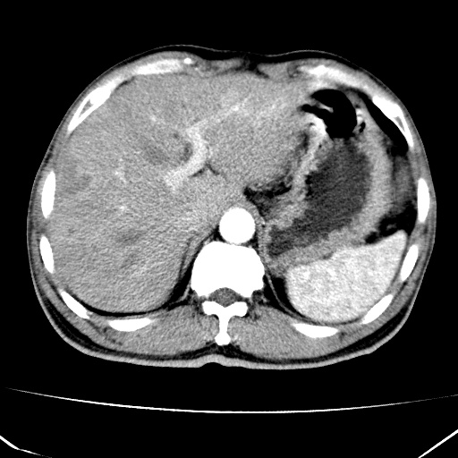
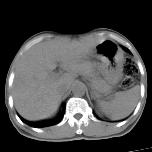
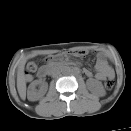
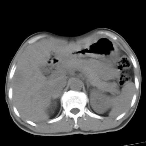
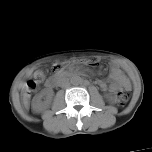
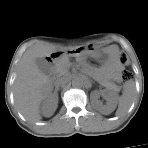
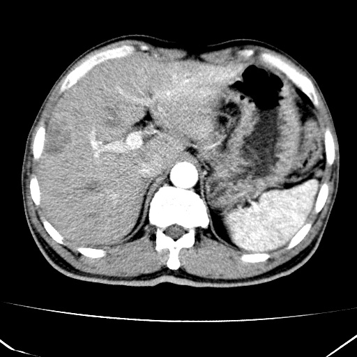
肝脏多发类圆形低密度影,考虑肝脏转移瘤,肝胃韧带一淋巴结肿大,原发?胃癌?
作者: ct诊断高手    时间: 2009-2-6 20:55
胃为什么不做好准备呢
作者: 同    时间: 2009-2-6 20:59
考虑胃癌肝脏转移可能性大。
作者: dengkai    时间: 2009-2-6 22:36
考虑胃癌肝脏转移可能性大。
作者: 沙漠骆驼    时间: 2009-2-7 00:02
考虑:胃癌肝脏转移可能性大。
作者: 宇宙CT    时间: 2009-2-7 00:28
考虑---胃癌肝脏转移可能---建议---胃镜
作者: dsl555    时间: 2009-2-7 01:44
胃为什么不做好准备呢
作者: 随光逐影    时间: 2009-2-7 02:05
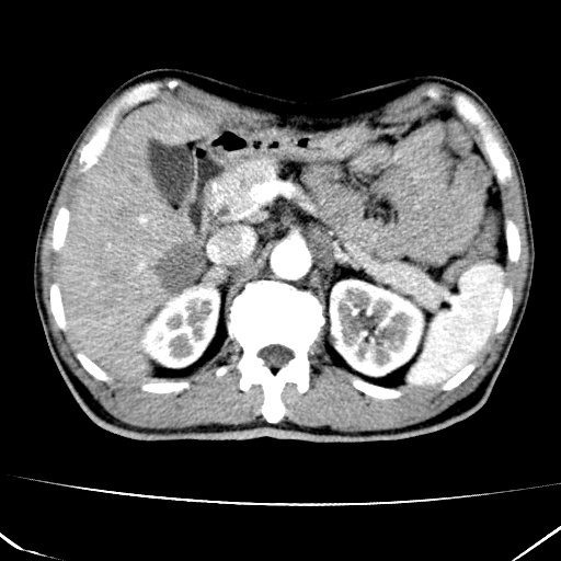
考虑胃癌并肝脏及腹膜后淋巴结转移;不排除淋巴瘤。
作者: 黑白光影    时间: 2009-2-7 04:33
支持胃癌肝转移
作者: zsl6918    时间: 2009-2-7 04:38
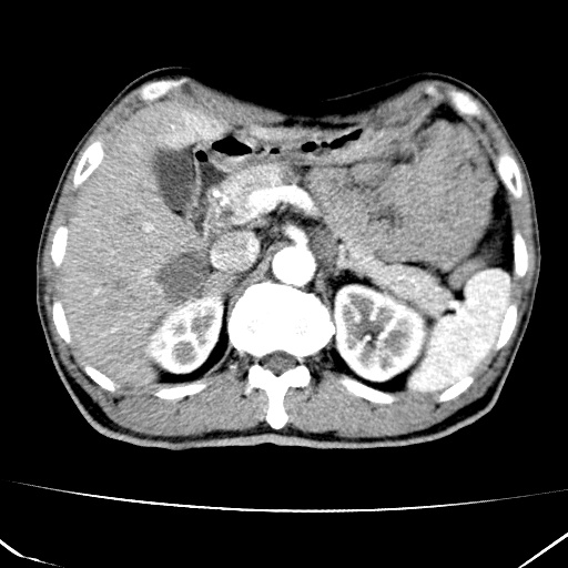
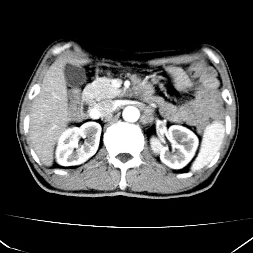
肝内转移瘤,腹腔及腹膜后淋巴结转移。
作者: xulianj    时间: 2009-2-7 05:16
考虑胃癌肝脏转移可能性大。应要求上腹部检查时常规准备。
作者: jinguoji    时间: 2009-2-7 06:36
考虑胃癌肝脏转移可能性大。
作者: wxhjlw    时间: 2009-2-7 06:55
标题: 回复:ct17975:请求会诊。男、57岁。上腹部胀痛2天。临床诊
肝内转移瘤,腹腔及腹膜后淋巴结转移。  
   
应做 好检查前准备
作者: zjb    时间: 2009-2-8 04:44
考虑---胃癌肝脏转移可能---建议---胃镜




欢迎光临 医影在线 (http://bbs.radida.com/bbs/) Powered by Discuz! X3.2