医影在线

标题: CT17977:女,44岁,右侧颌部包块1年,右侧面瘫2月。 [打印本页]

作者: xg410    时间: 2009-2-6 20:38
标题: CT17977:女,44岁,右侧颌部包块1年,右侧面瘫2月。
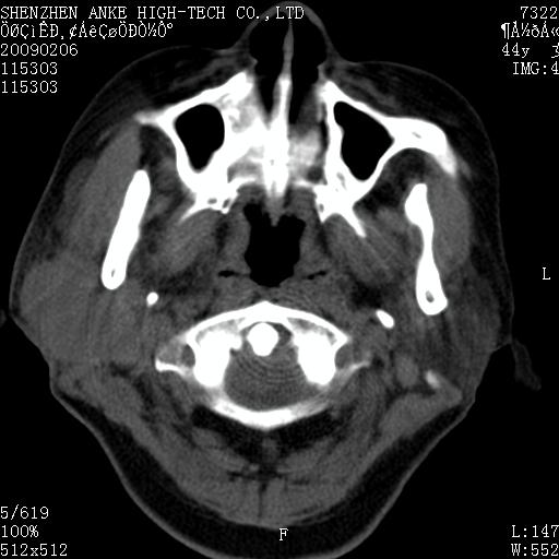
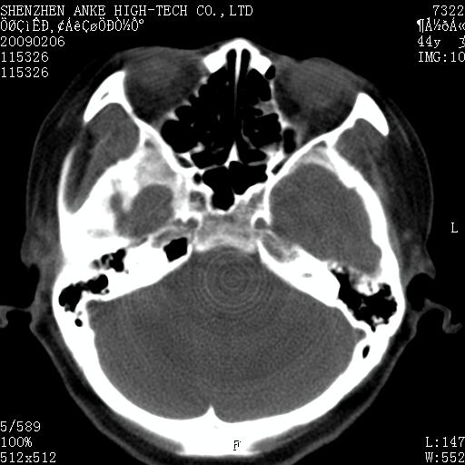
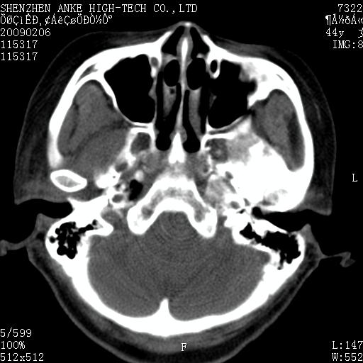
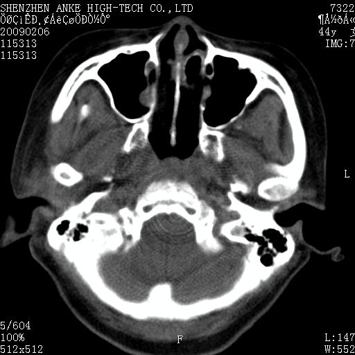
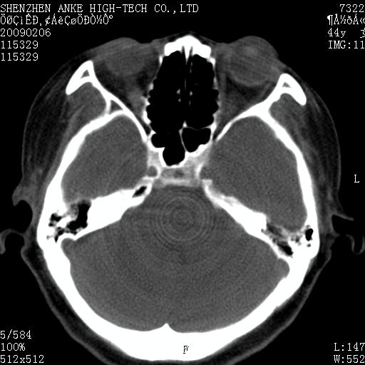
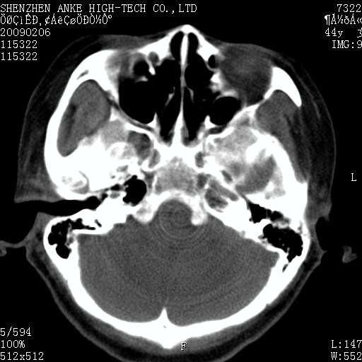
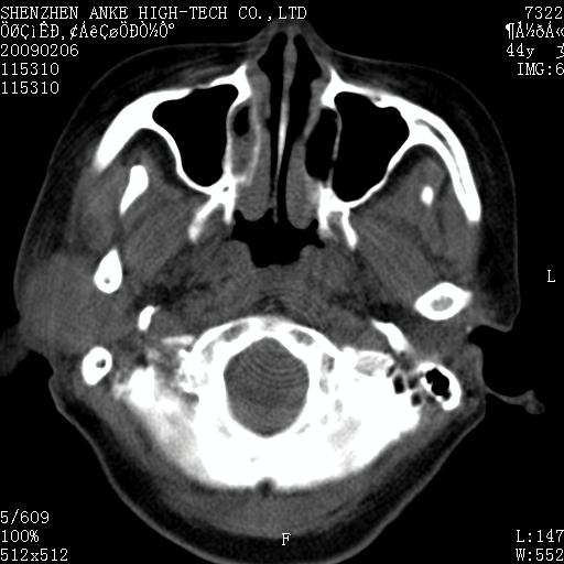
患者:女,44岁,右侧颌部包块1年,右侧面瘫2月。













[本贴已被 jiajie 于 2009-2-6 14:17:57 修改过]

作者: 流浪星    时间: 2009-2-6 21:02
考虑右侧腮腺混合瘤可能性大
作者: 杀毒软件    时间: 2009-2-6 21:07
支持
作者: 同    时间: 2009-2-6 21:16
考虑右侧腮腺混合瘤。
作者: dengkai    时间: 2009-2-6 22:46
考虑右侧腮腺混合瘤。年轮样伪影考虑机器问题!
作者: 深泽交通    时间: 2009-2-6 23:26
标题: 回复:ct17977:女,44岁,右侧颌部包块1年,右侧面瘫2月。
以下是引用流浪星在2009-2-6 13:02:00的发言:[br]考虑右侧腮腺混合瘤可能性大

作者: 宇宙CT    时间: 2009-2-7 00:18
考虑右侧腮腺混合瘤可能性大
作者: 卜一    时间: 2009-2-7 00:59
以下是引用流浪星在2009-2-6 13:02:00的发言:
考虑右侧腮腺混合瘤可能性大
支持!
作者: wxq2008    时间: 2009-2-7 01:08
右侧腮腺混合瘤可能性大
作者: wsz9999    时间: 2009-2-7 01:09
考虑右侧腮腺混合瘤可能性大
作者: dsl555    时间: 2009-2-7 01:36
考虑右侧腮腺混合瘤可能性大
作者: 随光逐影    时间: 2009-2-7 02:08
考虑右侧腮腺混合瘤;不排除腮腺癌。
作者: 黑白光影    时间: 2009-2-7 04:36
标题: 回复:ct17977:女,44岁,右侧颌部包块1年,右侧面瘫2月。
以下是引用随光逐影在2009-2-6 18:08:00的发言:[br]考虑右侧腮腺混合瘤;不排除腮腺癌。

作者: zsl6918    时间: 2009-2-7 04:40
右侧腮腺肿瘤,良恶性难定。
作者: xulianj    时间: 2009-2-7 05:18
右侧腮腺混合瘤。机器没有调试好。
作者: jinguoji    时间: 2009-2-7 06:44
考虑右侧腮腺混合瘤。
作者: zjb    时间: 2009-2-8 04:39
考虑右侧腮腺混合瘤。




欢迎光临 医影在线 (http://bbs.radida.com/bbs/) Powered by Discuz! X3.2