医影在线

标题: CT17983:女性,50岁 急//////// [打印本页]

作者: 网事随风    时间: 2009-2-7 00:16
标题: CT17983:女性,50岁 急////////
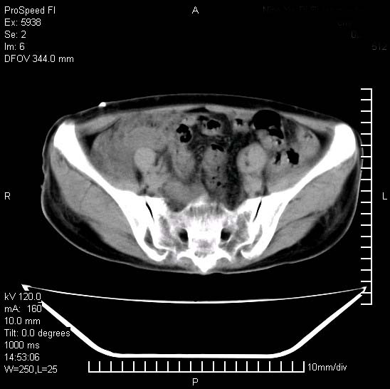
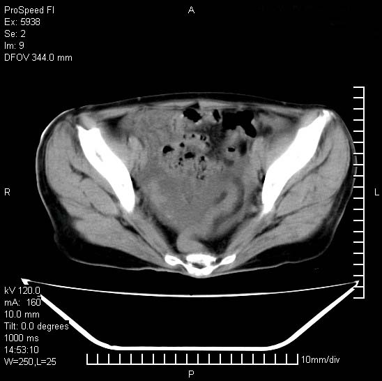
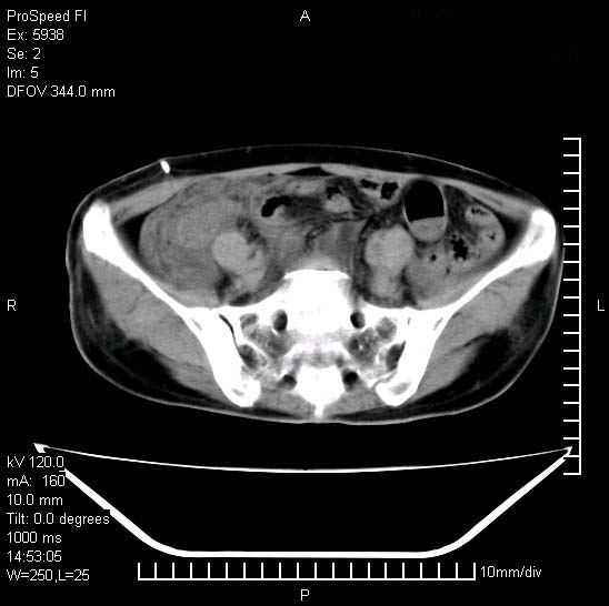
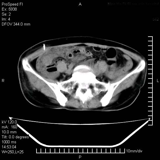
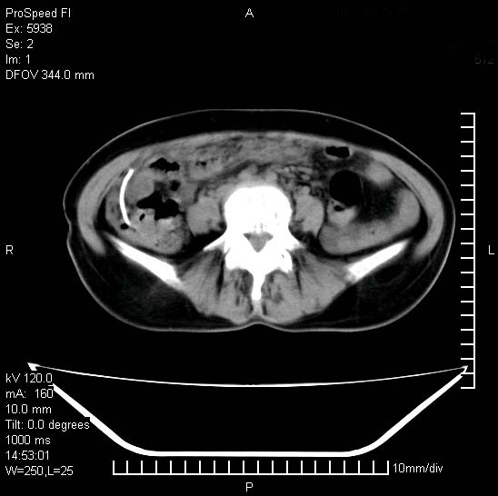
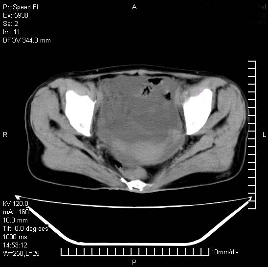
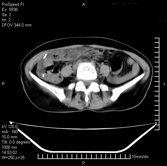
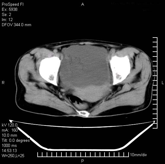
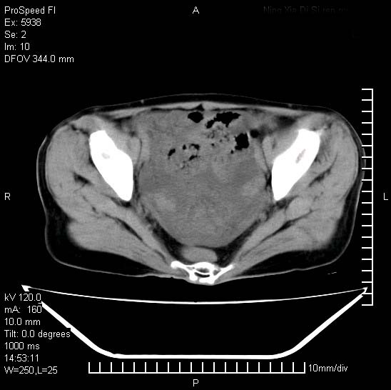
反复小腹疼痛,盆腔积液3年,无发热,曾抗痨一段时间。




















[本贴已被 jiajie 于 2009-2-7 12:43:04 修改过]

作者: wxq2008    时间: 2009-2-7 01:02
肠道准备不好,不排除结核性腹膜炎。
作者: 杀毒软件    时间: 2009-2-7 01:23
右下腹肠管壁增厚,边缘有侵润改变及点状低密度影,内侧可见局限性肿块。考虑-----淋巴瘤或增生型肠结核----盆腔积液-----建议肠镜检查
作者: dsl555    时间: 2009-2-7 01:28
标题: 回复:盆腔:女性,50岁 急////////
以下是引用杀毒软件在2009-2-6 17:23:00的发言:[br]右下腹肠管壁增厚,边缘有侵润改变及点状低密度影,内侧可见局限性肿块。考虑-----淋巴瘤或增生型肠结核----盆腔积液-----建议肠镜检查[br]

作者: 刘湘    时间: 2009-2-7 02:05
慢性阑尾炎
作者: 随光逐影    时间: 2009-2-7 02:22
考虑盆腔及右下腹感染性病变(结核可能)。
作者: 吸引力    时间: 2009-2-7 02:29
结核性腹膜炎伴积液。右侧髂骨骨窗看看,是否有骨质破坏。
作者: gmk_006    时间: 2009-2-7 03:07
提示结核性腹膜炎合并盆腔积液。建议查ppd或tb抗体。
作者: ydx_74    时间: 2009-2-7 04:01
考虑结核性腹膜炎
作者: qingjing    时间: 2009-2-7 04:54
盆腔积液
作者: zsl6918    时间: 2009-2-7 05:00
结合临床支持结核
作者: dengkai    时间: 2009-2-7 05:12
考虑结核性腹膜炎盆腔积液!
作者: xulianj    时间: 2009-2-7 05:43
结核性腹膜炎合并盆腔积液可能
作者: wangyong1977    时间: 2009-2-7 05:44
考虑盆腔及右下腹感染性病变(结核可能)。
作者: 学医    时间: 2009-2-7 05:47
右下腹肠管壁增厚,边缘有侵润改变及点状低密度影,内侧可见局限性肿块。考虑-----淋巴瘤或增生型肠结核----盆腔积液-----建议肠镜检查
作者: jinguoji    时间: 2009-2-7 07:10
考虑结核性腹膜炎.
作者: 黑白光影    时间: 2009-2-7 21:16
考虑结核性腹膜炎盆腔积液!
作者: LIAOQIANG    时间: 2009-2-7 23:45
考虑右下腹及盆腔感染性病变(结核?)。
作者: zjb    时间: 2009-2-8 04:20
提示结核性腹膜炎合并盆腔积液。




欢迎光临 医影在线 (http://bbs.radida.com/bbs/) Powered by Discuz! X3.2