












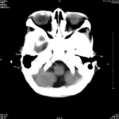
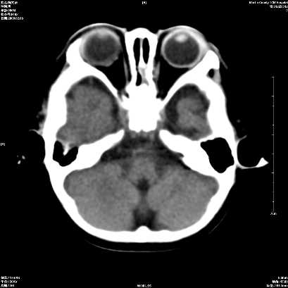
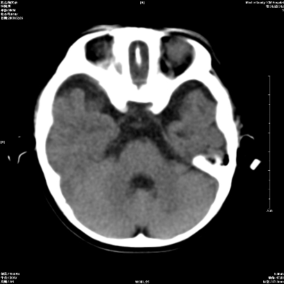
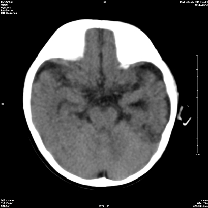
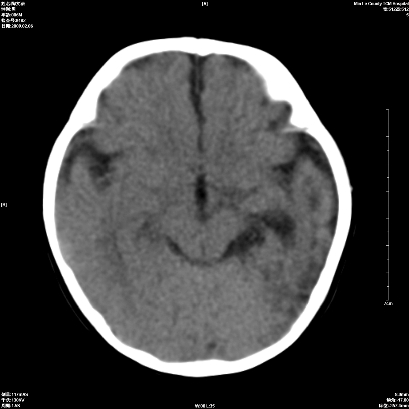
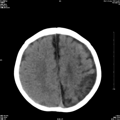
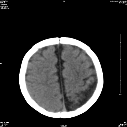
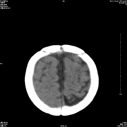
以下是引用wxq2008在2009-2-6 17:01:00的发言:[br]hie后遗症脑萎缩。
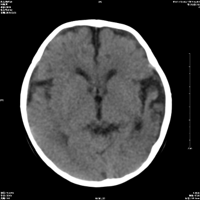
以下是引用wxq2008在2009-2-6 17:01:00的发言:[br]hie后遗症脑萎缩。
以下是引用卜一在2009-2-6 17:21:00的发言:[br]hie后遗症脑萎缩。 [br] [br]支持!
以下是引用学医在2009-2-6 21:45:00的发言:[br]hie后遗改变
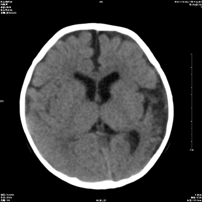
以下是引用卜一在2009-2-6 17:21:00的发言:[br]hie后遗症脑萎缩。 [br] [br]支持!
以下是引用wxq2008在2009-2-6 17:01:00的发言:[br]hie后遗症脑萎缩。
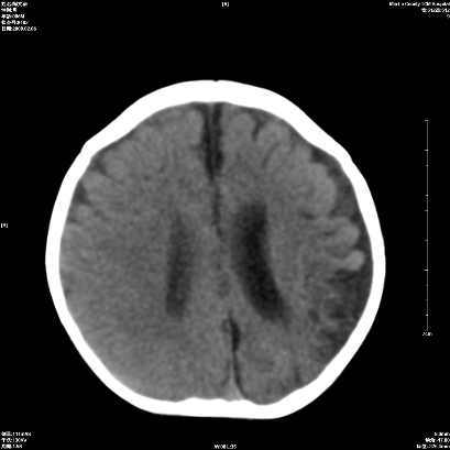
以下是引用卜一在2009-2-6 17:21:00的发言:[br]hie后遗症脑萎缩。 [br] [br]支持!
| 欢迎光临 医影在线 (http://bbs.radida.com/bbs/) | Powered by Discuz! X3.2 |