医影在线

标题: X5295:大家看看,是肺上病变还是心脏上的。 [打印本页]

作者: 流浪星    时间: 2009-2-7 05:25
标题: X5295:大家看看,是肺上病变还是心脏上的。
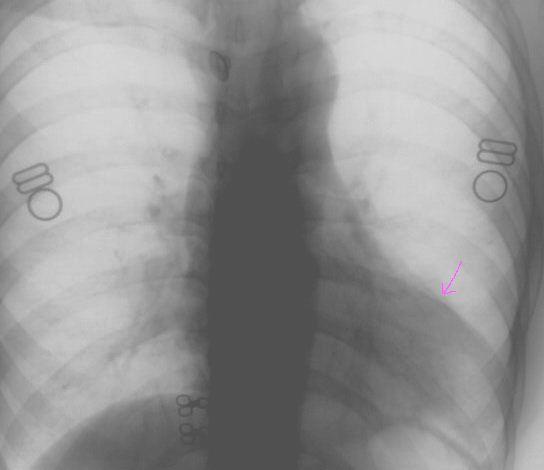
女,23岁,体检。




[本贴已被 cefcmj 于 2009-2-6 21:54:35 修改过]

作者: 黑白光影    时间: 2009-2-7 06:32
室壁瘤?肺部占位?肺疝?建议侧位片或ct检查。
作者: dengkai    时间: 2009-2-7 07:50
建议ct!
作者: zsl6918    时间: 2009-2-7 15:53
考虑心脏改变,建议ct或其他检查明确
作者: 杀毒软件    时间: 2009-2-7 16:42
考虑-----心脏影像---不一定有问题
作者: 余辉    时间: 2009-2-7 17:26
哪里?是心尖部吗?应该是心脏与肋骨、乳房的重叠形成的构成影。心右缘肺野密度增高,考虑肺心动脉,不除外肺部病变,建议侧位或ct
作者: 592438394    时间: 2009-2-7 18:26
建议ct!  
   

dengkai说
作者: 随光逐影    时间: 2009-2-7 19:48
考虑左下肺病变;建议行ct扫描检查。
作者: wy232326    时间: 2009-2-7 20:29
先透视下转转看看 如有疑问再做相关检查
作者: 流浪星    时间: 2009-2-7 21:11
透视下,病灶随心脏搏动,外缘不光整。
作者: jinguoji    时间: 2009-2-7 21:30
标题: 回复:x5295:大家看看,是肺上病变还是心脏上的。
以下是引用流浪星在2009-2-7 13:11:00的发言:[br]透视下,病灶随心脏搏动,外缘不光整。

建议ct扫描检查。
作者: qsbaomingcheng    时间: 2009-2-7 22:41
先透视下转转看看 如有疑问再做相关检查
作者: gjj6818    时间: 2009-2-8 04:09
建议ct
作者: 清风无痕    时间: 2009-2-8 05:04
建议ct!心脏b超检查
作者: ydx_74    时间: 2009-2-8 05:05
标题: 回复:x5295:大家看看,是肺上病变还是心脏上的。
考虑炎性病变
作者: 37度    时间: 2009-2-8 06:27
ct。
作者: 王云仙    时间: 2009-2-8 08:38
支持9楼
作者: kaisar    时间: 2009-2-8 08:51
建议ct!
作者: dyqCT    时间: 2009-2-9 04:44
标题: 回复:x5295:大家看看,是肺上病变还是心脏上的。
以下是引用随光逐影在2009-2-7 11:48:00的发言:[br]考虑左下肺病变;建议行ct扫描检查。

支持!
作者: 宋定川    时间: 2009-2-9 05:12
建议行ct扫描检查。
作者: baogan    时间: 2009-2-9 07:32
未见异常
作者: 张手雅    时间: 2009-3-1 00:24
标题: 回复:x5295:大家看看,是肺上病变还是心脏上的。
以下是引用wy232326在2009-2-7 12:29:00的发言:[br]先透视下转转看看 如有疑问再做相关检查

作者: ZHANGZHONGSHOU    时间: 2009-3-1 03:22
可能为纵隔病变,建议ct检查。
作者: shibing    时间: 2014-5-20 00:38
考虑心脏改变,建议ct或其他检查明确




欢迎光临 医影在线 (http://bbs.radida.com/bbs/) Powered by Discuz! X3.2