






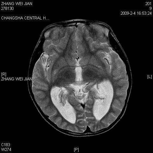
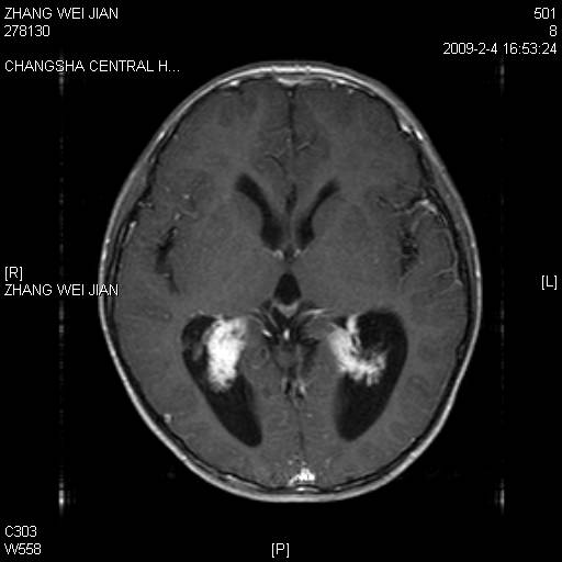
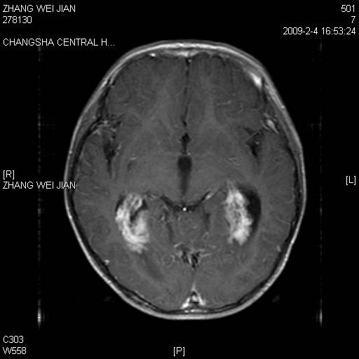
以下是引用guanaishengming在2009-2-6 22:51:00的发言:[br]脉络丛乳头状瘤
以下是引用随光逐影在2009-2-7 8:30:00的发言:[br]考虑双侧脑室脉络丛乳头状瘤并脑积水。
以下是引用随光逐影在2009-2-7 8:30:00的发言:[br]考虑双侧脑室脉络丛乳头状瘤并脑积水。
以下是引用同在2009-2-7 15:13:00的发言:[br]脉络丛乳头状瘤并脑积水。
| 欢迎光临 医影在线 (http://bbs.radida.com/bbs/) | Powered by Discuz! X3.2 |