医影在线

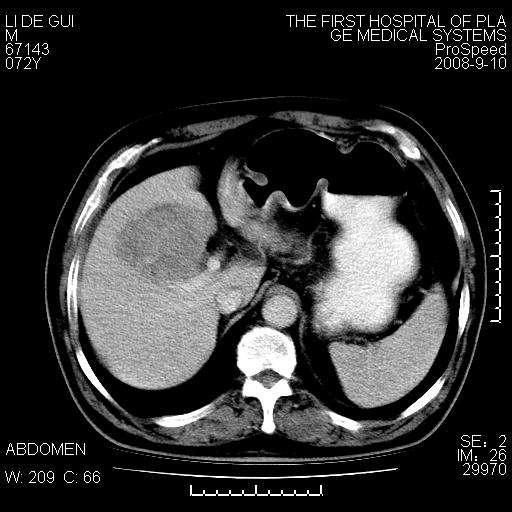
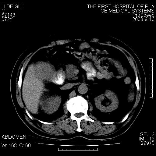
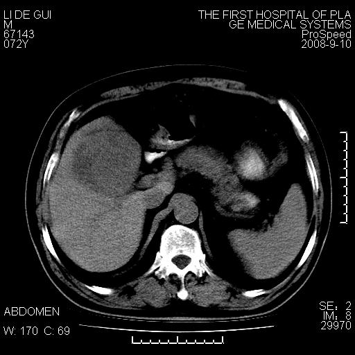
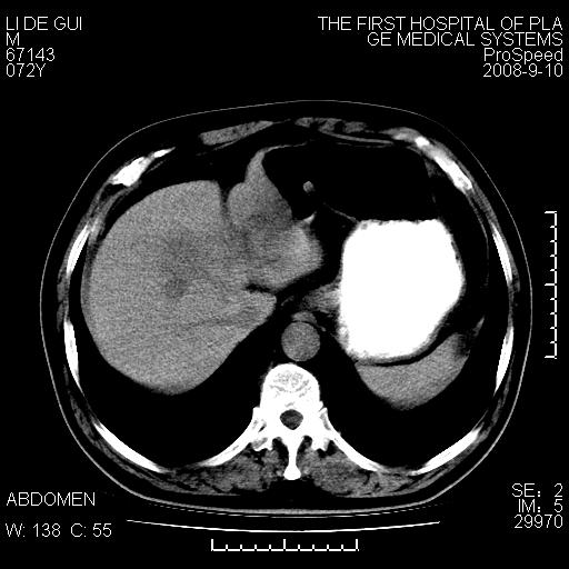
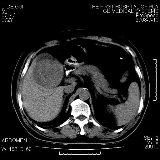
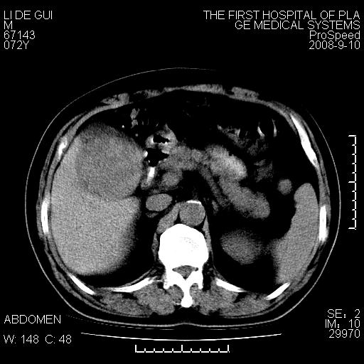
标题: CT17988:腹部肿块两年,肿块大小无变化,患者无不适,自我 [打印本页]

作者: 无间道    时间: 2009-2-7 06:31
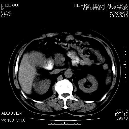
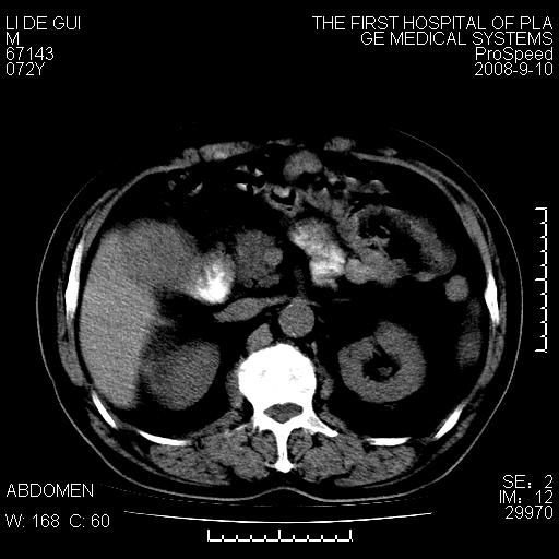
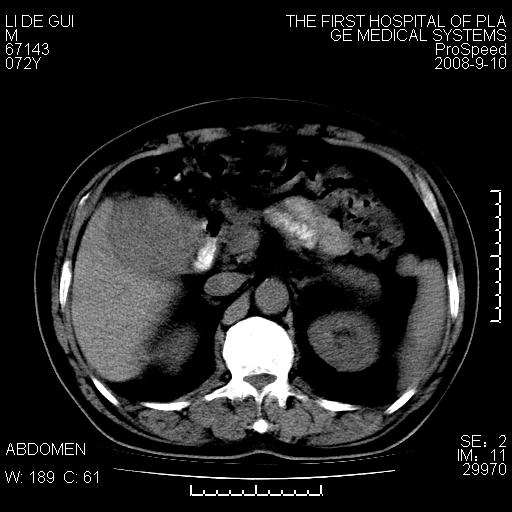
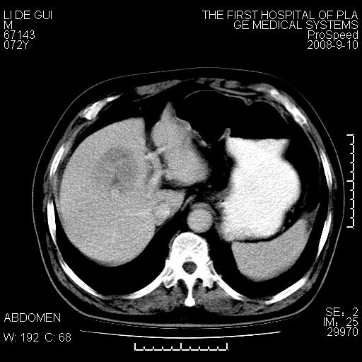
标题: CT17988:腹部肿块两年,肿块大小无变化,患者无不适,自我















[本贴已被 jiajie 于 2009-2-7 12:49:21 修改过]

作者: dengkai    时间: 2009-2-7 08:03
考虑淋巴瘤!
作者: zsl6918    时间: 2009-2-7 15:36
不可思议!两年无变化无症状?建议详查!
作者: 随光逐影    时间: 2009-2-7 16:33
胆囊占位性病变(黄色肉芽肿性胆囊炎?)。
作者: 杀毒软件    时间: 2009-2-7 17:07
考虑-----胆囊血肿机化或胆囊癌或腺肌增生症------增强
作者: zbp537    时间: 2009-2-7 17:27
建议专增强的全部图像
作者: 卜一    时间: 2009-2-7 17:30
胆囊占位性病变(黄色肉芽肿性胆囊炎?)。  
  
支持!
作者: X-CT    时间: 2009-2-7 17:36
不好说,期待增强图像。
作者: qc80012345    时间: 2009-2-7 20:31
胆囊占位性病变,增强。
作者: wy232326    时间: 2009-2-7 20:36
胆囊占位性病变(黄色肉芽肿性胆囊炎?)。  支持
作者: 流浪星    时间: 2009-2-7 20:57
标题: 回复:ct17988:腹部肿块两年,肿块大小无变化,患者无不适
以下是引用wy232326在2009-2-7 12:36:00的发言:[br]胆囊占位性病变(黄色肉芽肿性胆囊炎?)。  支持

作者: jinguoji    时间: 2009-2-7 22:01
标题: 回复:ct17988:腹部肿块两年,肿块大小无变化,患者无不适
以下是引用杀毒软件在2009-2-7 9:07:00的发言:[br]考虑-----胆囊血肿机化或胆囊癌或腺肌增生症------增强

作者: dsl555    时间: 2009-2-8 02:22
胆囊占位性病变(黄色肉芽肿性胆囊炎?)。  
  
支持!
作者: xulianj    时间: 2009-2-8 04:29
胆囊占位性病变(黄色肉芽肿性胆囊炎?)。  支持
作者: 联众之王    时间: 2009-2-8 06:15
十二指肠的间质瘤




欢迎光临 医影在线 (http://bbs.radida.com/bbs/) Powered by Discuz! X3.2