医影在线

标题: CT17990:F76y,反复头昏。 [打印本页]

作者: lczeng    时间: 2009-2-7 07:03
标题: CT17990:F76y,反复头昏。
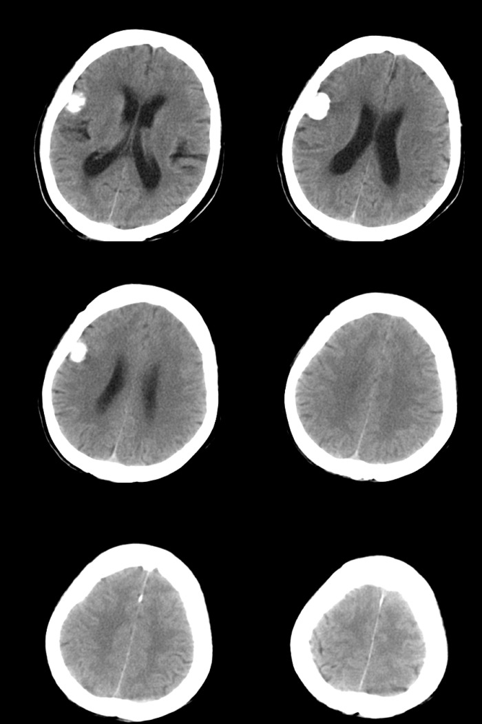
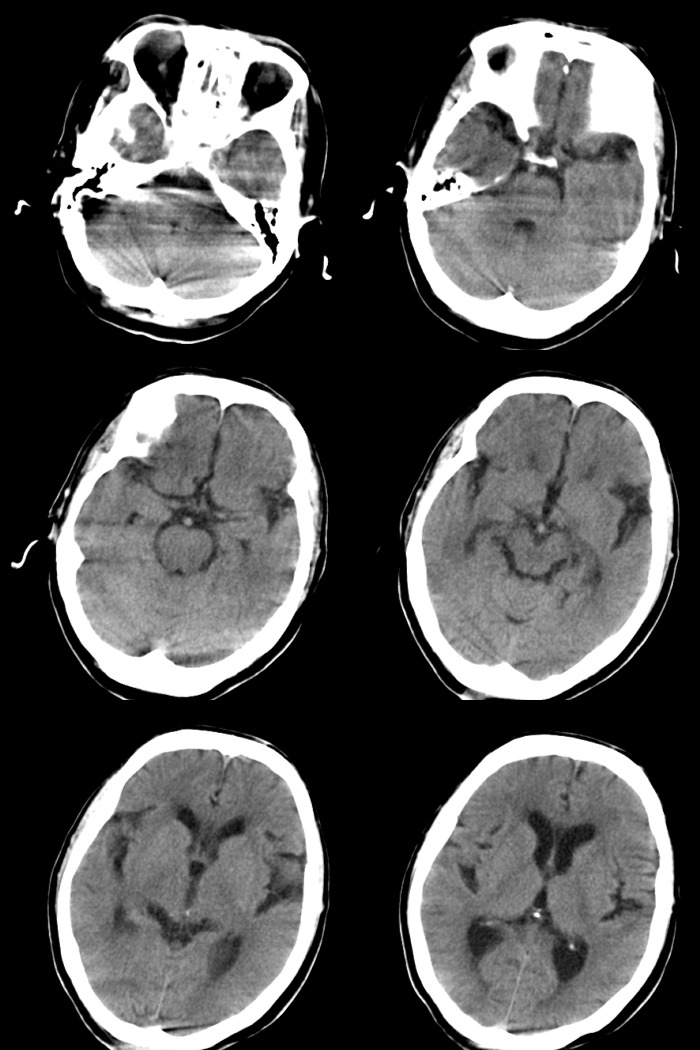
76岁女性,反复头昏、头痛,余无不适。






[本贴已被 jiajie 于 2009-2-7 12:49:55 修改过]

作者: dengkai    时间: 2009-2-7 08:01
考虑右颞骨内生骨软骨瘤
作者: 123456709    时间: 2009-2-7 08:53
诊断:右颞部钙化性脑膜瘤.
诊断依据:1.定位:脑外颅内--邻近脑沟增宽/脑组织受压内移/局部颅骨增生.
             2.定性:良性--病灶边缘光整清楚/密度较高均匀/脑组织水肿不明显即占位效应不明显.
鉴别诊断:1.右颞骨内生骨软骨瘤/2.少突胶质细胞瘤/3.弥漫性星型细胞瘤.
作者: zsl6918    时间: 2009-2-7 15:34
标题: 回复:f76y,反复头昏。
考虑右颞骨内板骨软骨瘤
作者: 随光逐影    时间: 2009-2-7 16:36
1)考虑右颞部钙化性脑膜瘤。2)脑萎缩。
作者: 杀毒软件    时间: 2009-2-7 16:55
支持考虑----右颞部钙化性脑膜瘤
作者: zbp537    时间: 2009-2-7 17:04
考虑脑膜瘤可能性大,如果是骨软骨瘤应该是广基底与颞骨相连,本例没有发现;当然应该在病灶范围内行薄层扫描进一步查明其与颞骨的关系对诊断有帮助。
作者: 卜一    时间: 2009-2-7 17:27
脑膜瘤伴钙化!
作者: X-CT    时间: 2009-2-7 17:29
支持3楼
作者: 余辉    时间: 2009-2-7 18:07
支持考虑钙化脑膜瘤
作者: 初学阶段    时间: 2009-2-7 18:08
谢楼主!谢各位老师!
作者: qc80012345    时间: 2009-2-7 20:23
支持; 脑膜瘤伴钙化!
作者: wy232326    时间: 2009-2-7 20:27
脑膜瘤伴钙化!
作者: gmk_006    时间: 2009-2-7 20:49
支持、脑膜瘤伴钙化!
作者: 黑白光影    时间: 2009-2-7 21:07
支持三楼分析。
作者: 愚夫    时间: 2009-2-7 23:29
支持考虑钙化脑膜瘤
作者: LIAOQIANG    时间: 2009-2-7 23:38
支持考虑钙化脑膜瘤
作者: jiangjing    时间: 2009-2-8 00:12
右颞部钙化性脑膜瘤
作者: dsl555    时间: 2009-2-8 02:09
支持考虑钙化脑膜瘤
作者: zjb    时间: 2009-2-8 03:49
支持考虑----右颞部钙化性脑膜瘤
作者: xulianj    时间: 2009-2-8 04:34
考虑脑膜瘤可能性大




欢迎光临 医影在线 (http://bbs.radida.com/bbs/) Powered by Discuz! X3.2