医影在线

标题: CT17991:M32y,腹部外伤。 [打印本页]

作者: lczeng    时间: 2009-2-7 07:17
标题: CT17991:M32y,腹部外伤。
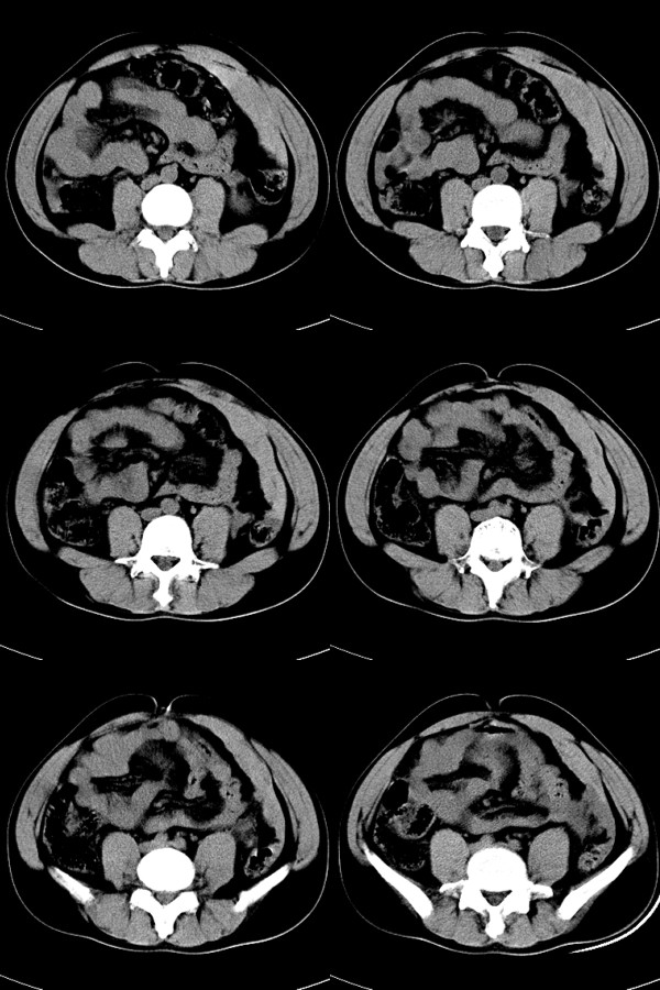
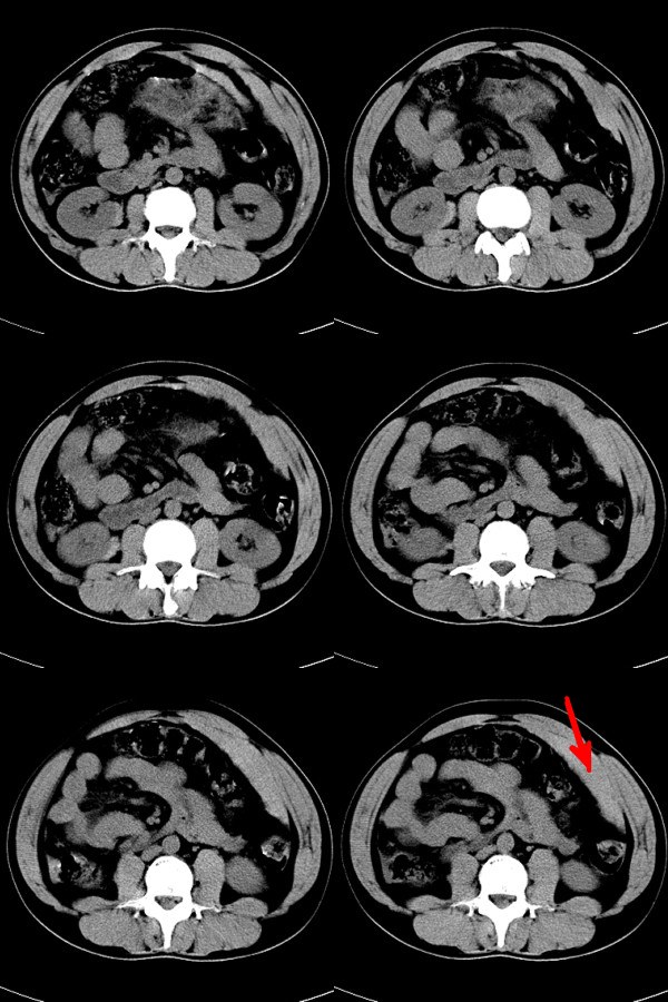
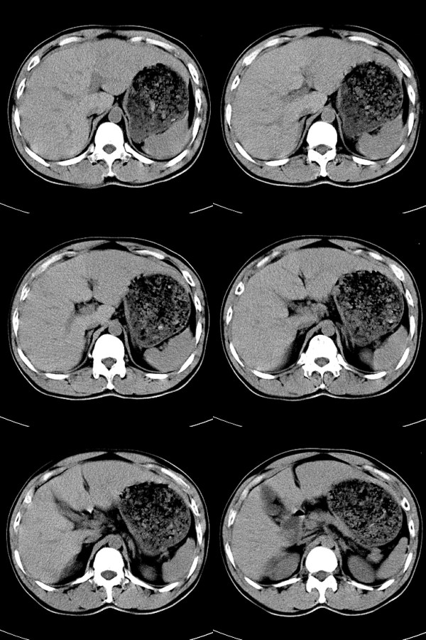
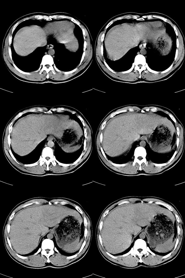
32岁男性,外伤后腹部、腰部疼痛。腹部压痛明显,呈“板状腹”。既往体健。
请指教红色箭头所示为什么影像?







[本贴已被 jiajie 于 2009-2-7 12:50:47 修改过]

作者: zsl6918    时间: 2009-2-7 15:40
血肿,脾破裂。
作者: 随光逐影    时间: 2009-2-7 16:40
腹水(血);建议行ct增强扫描检查。
作者: 余辉    时间: 2009-2-7 16:52
红箭所示为腹膜腔积血
作者: 杀毒软件    时间: 2009-2-7 16:52
标题: 回复:m32y,腹部外伤。
以下是引用随光逐影在2009-2-7 8:40:00的发言:[br]腹水(血);建议行ct增强扫描检查。

支持
作者: zbp537    时间: 2009-2-7 17:09
考虑脾破裂并腹腔积血。
作者: 卜一    时间: 2009-2-7 17:22
腹膜腔积血,考虑:腹腔脏器损伤!
作者: QINGYUAN    时间: 2009-2-7 18:29
腹腔血肿(前侧腹壁下)
作者: qc80012345    时间: 2009-2-7 20:18
脾破裂并腹腔积血。
作者: 学医    时间: 2009-2-7 20:33
脾破裂并腹腔积血。
作者: gmk_006    时间: 2009-2-7 20:43
前左侧腹壁下腹腔血肿。
作者: 流浪星    时间: 2009-2-7 21:02
考虑脾破裂并腹腔积血。
作者: 黑白光影    时间: 2009-2-7 21:06
血肿,脾破裂。
作者: wy232326    时间: 2009-2-7 21:10
腹膜腔积血,考虑:腹腔脏器损伤 脾破裂可能 必要时增强检查
作者: SongYi    时间: 2009-2-7 21:11
考虑脾脏破裂
作者: 同    时间: 2009-2-7 22:59
脾破裂伴腹腔积血。
作者: 影像孺子牛    时间: 2009-2-7 23:10
支持脾破裂并腹腔积血。
作者: 宇宙CT    时间: 2009-2-7 23:15
腹水(血);建议行ct增强扫描检查。
作者: LIAOQIANG    时间: 2009-2-7 23:35
红箭示血肿,脾破裂,右肾包膜下血肿.
作者: 深泽交通    时间: 2009-2-8 00:05
箭头为腹膜外血肿;;建议使用w300---500;l负50--70,可清晰显示腹腔游离气液影,有利空腔器官破裂诊断
作者: jiangjing    时间: 2009-2-8 00:11
脾破裂并腹腔积血.大网膜血肿或积血
作者: dsl555    时间: 2009-2-8 02:11
腹水(血);建议行ct增强扫描检查。
作者: xulianj    时间: 2009-2-8 04:24
腹膜腔积血
作者: lijuanln    时间: 2009-2-8 05:30
右肾包膜下也有血肿吧




欢迎光临 医影在线 (http://bbs.radida.com/bbs/) Powered by Discuz! X3.2