







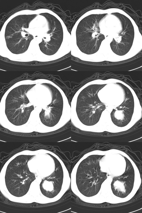
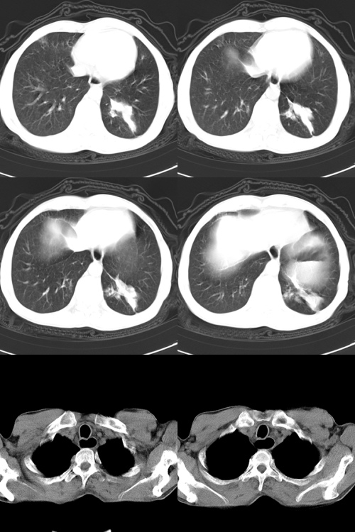
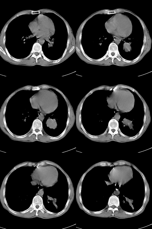
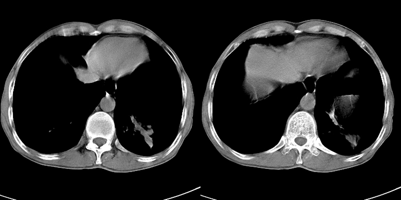
以下是引用zsl6918在2009-2-7 7:38:00的发言:[br]恶性度极高的肺癌,肺门及纵隔淋巴结转移。
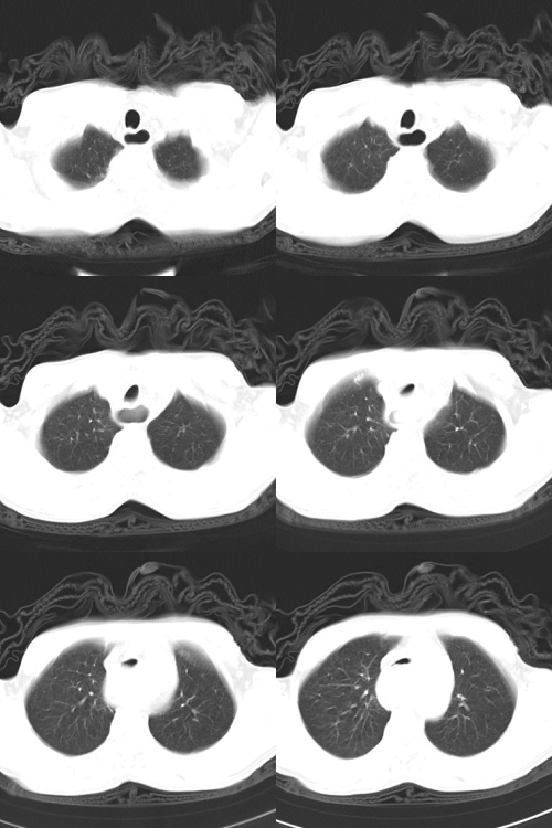
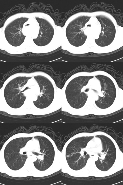
以下是引用余辉在2009-2-7 8:29:00的发言:[br]考虑左下肺周围型肺癌伴肺门、纵隔淋巴转移及右肺转移
以下是引用余辉在2009-2-7 8:29:00的发言:[br]考虑左下肺周围型肺癌伴肺门、纵隔淋巴转移及右肺转移
以下是引用余辉在2009-2-7 8:29:00的发言:[br]考虑左下肺周围型肺癌伴肺门、纵隔淋巴转移及右肺转移
以下是引用zsl6918在2009-2-7 7:38:00的发言:[br]恶性度极高的肺癌,肺门及纵隔淋巴结转移。
以下是引用zsl6918在2009-2-7 7:38:00的发言:[br]恶性度极高的肺癌,肺门及纵隔淋巴结转移。
| 欢迎光临 医影在线 (http://bbs.radida.com/bbs/) | Powered by Discuz! X3.2 |