



























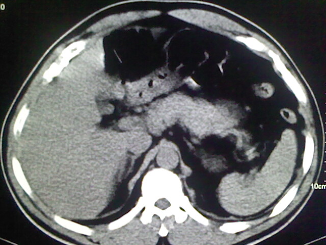
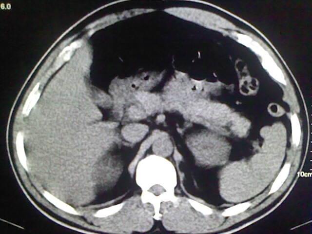
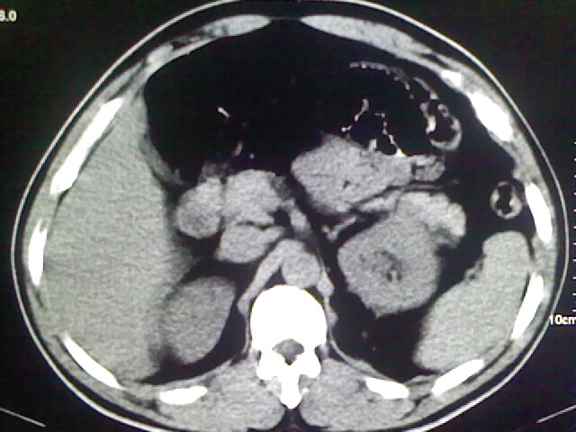
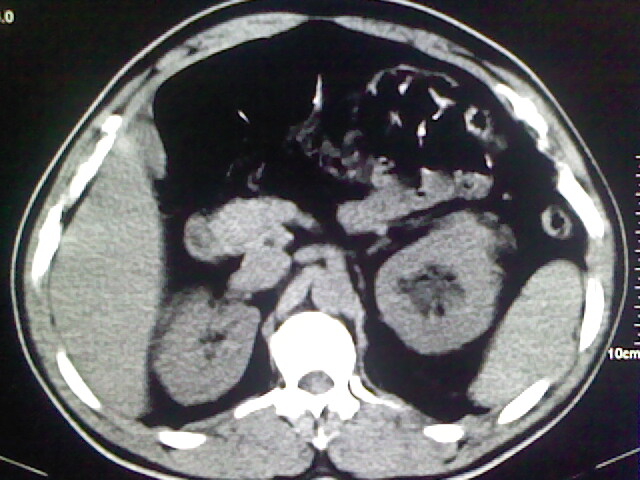
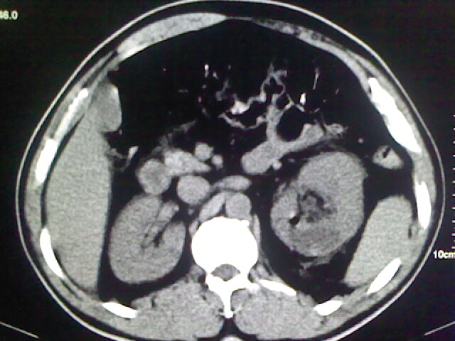
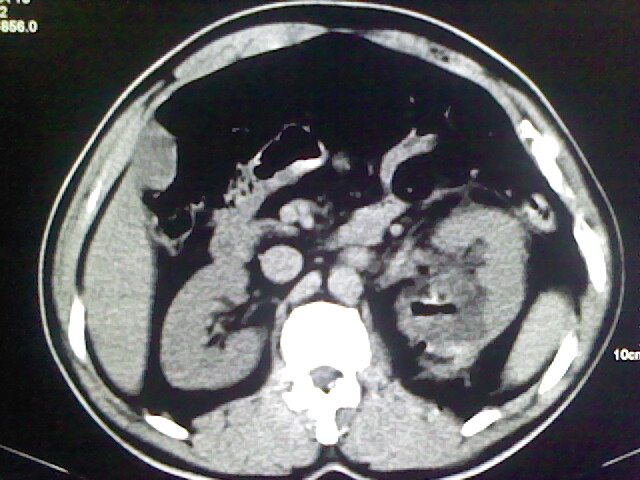
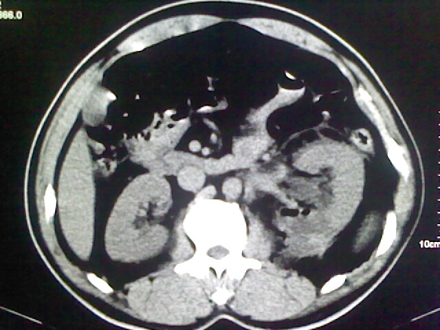
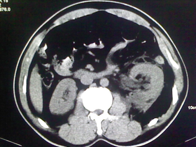
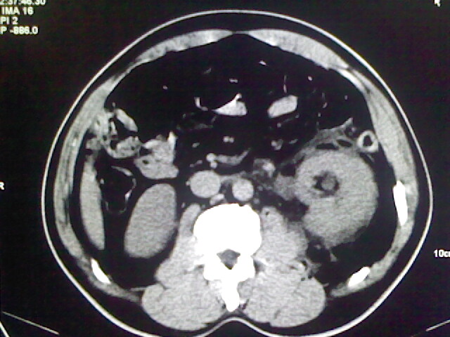
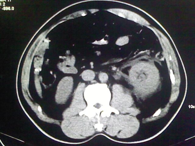
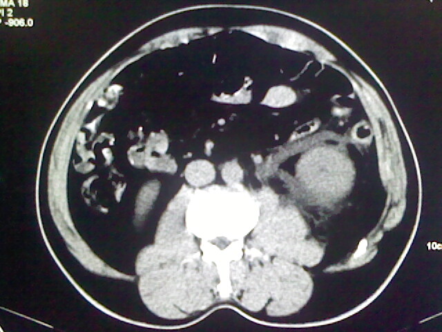
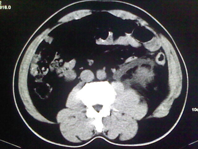
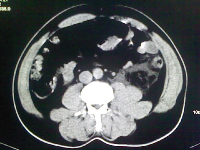
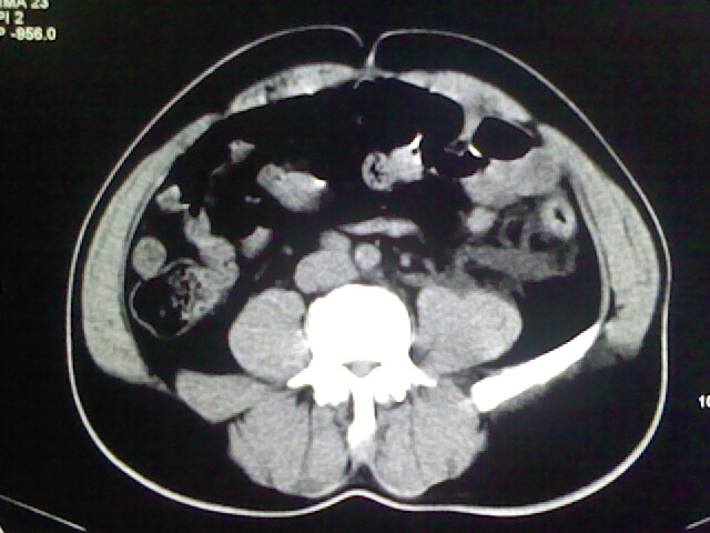
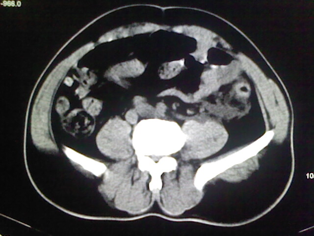
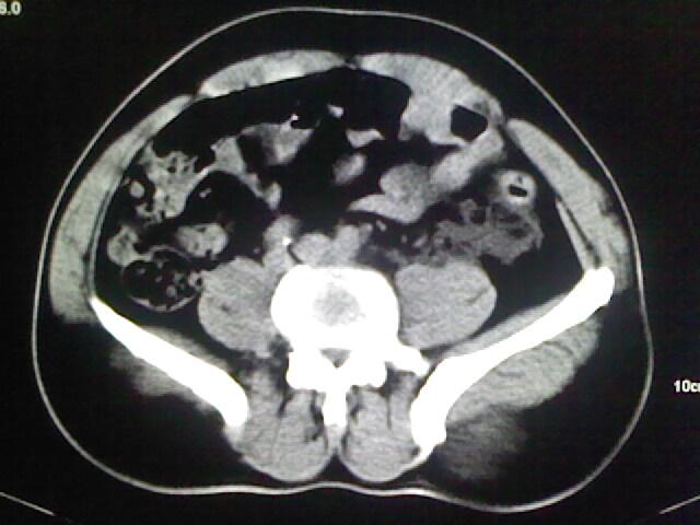
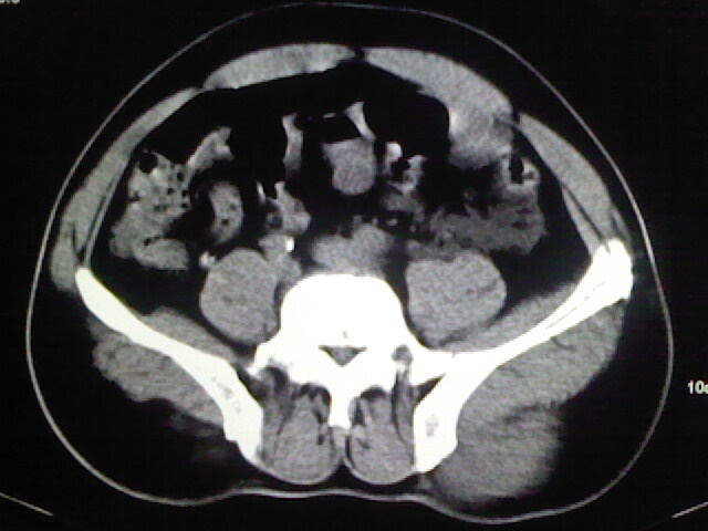
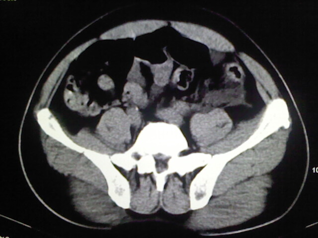
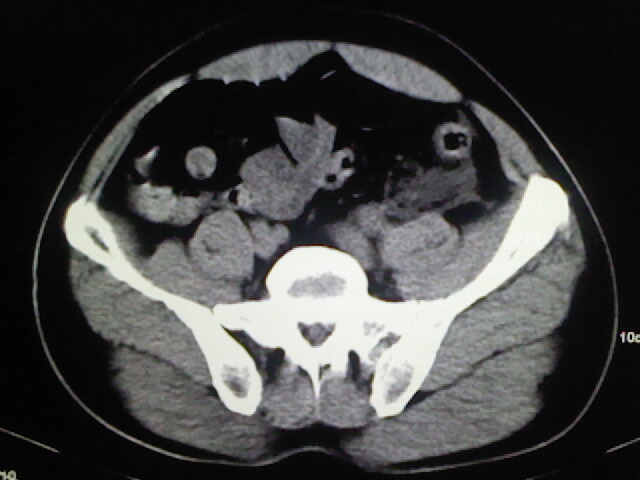
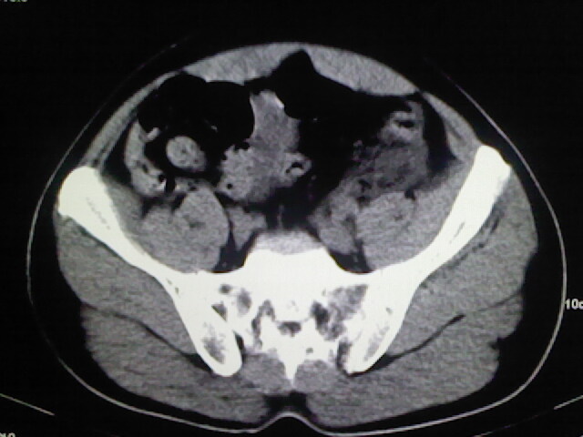
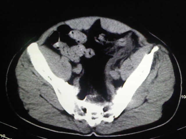
以下是引用zsl6918在2009-2-7 7:29:00的发言:[br]请提供介入的方式方法,肾及输尿管改变考虑与介入损伤有关,漏了,尿液外渗。
以下是引用余辉在2009-2-7 8:27:00的发言:[br]可能是硬化剂烧穿囊壁进入肾盂输尿管了,尿漏。不除外介入或碎石术后合并感染[br]患者术后怀疑结石,接着就碎石了?就怀疑没有确诊吗?碎石用的什么方法?气压弹道还是体外超声?如果这样的话责任人都难找
以下是引用余辉在2009-2-7 8:27:00的发言:[br]可能是硬化剂烧穿囊壁进入肾盂输尿管了,尿漏。不除外介入或碎石术后合并感染[br]患者术后怀疑结石,接着就碎石了?就怀疑没有确诊吗?碎石用的什么方法?气压弹道还是体外超声?如果这样的话责任人都难找
以下是引用随光逐影在2009-2-7 8:46:00的发言:[br]支持3楼意见。[br]另:不排除左肾及肾周感染可能。
| 欢迎光临 医影在线 (http://bbs.radida.com/bbs/) | Powered by Discuz! X3.2 |