医影在线

标题: CT17998:腮腺占位 [打印本页]

作者: 翁志蓬    时间: 2009-2-8 00:50
标题: CT17998:腮腺占位
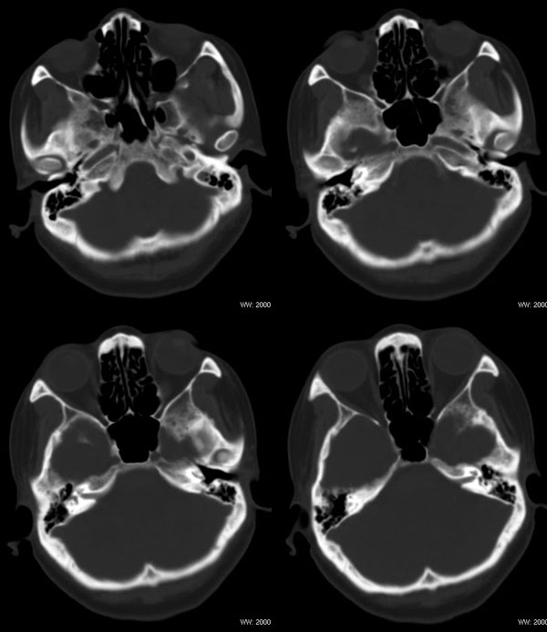
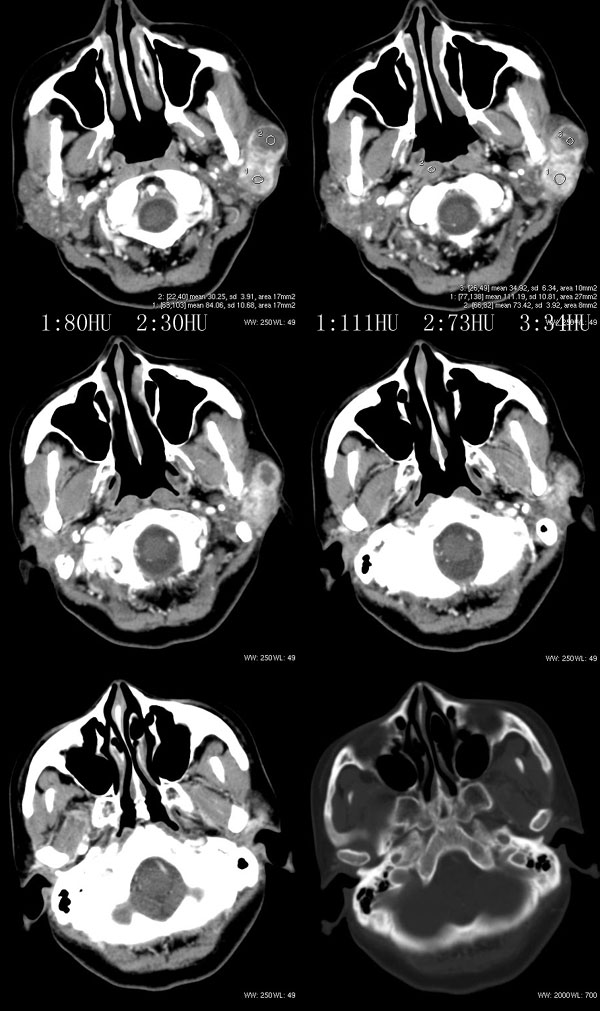
女性,43岁。左腮部肿物5年。体检:(肿物)质中,约5x4x4cm,边界清,固定。









作者: 随光逐影    时间: 2009-2-8 01:00
考虑左侧腮腺混合瘤恶变。
作者: 形影不离    时间: 2009-2-8 02:15
左侧腮腺混合瘤。
作者: 天山影士    时间: 2009-2-8 02:44
左侧腮腺占位,考虑淋巴瘤。
作者: 流浪星    时间: 2009-2-8 03:31
首先考虑左侧腮腺混合瘤,脓肿不除外。
作者: ydx_74    时间: 2009-2-8 04:25
首先考虑左侧腮腺混合瘤
作者: xulianj    时间: 2009-2-8 04:40
考虑左侧腮腺混合瘤
作者: wangyong1977    时间: 2009-2-8 04:43
左侧腮腺混合瘤
作者: 同    时间: 2009-2-8 05:08
考虑左侧腮腺混合瘤。
作者: 37度    时间: 2009-2-8 05:20
腮腺混合瘤。
作者: 黑白光影    时间: 2009-2-8 05:44
左侧腮腺混合瘤
作者: zsl6918    时间: 2009-2-8 05:48
左侧腮腺血管源性肿瘤。不除外恶性。
作者: dengkai    时间: 2009-2-8 08:14
考虑左侧腮腺混合瘤
作者: 张佳    时间: 2009-2-8 16:24
混合瘤
作者: 余辉    时间: 2009-2-8 16:49
左腮腺肿物,内可见低密度坏死区,增强扫描示肿块明显强化,且呈持续延迟强化,常规考虑腮混合瘤可能性大,但强化表现不太符合,不除外腮腺纤维血管瘤、神经鞘瘤、淋巴瘤及巨淋巴结增生症
作者: huqi8888    时间: 2009-2-8 18:02
考虑左侧腮腺混合瘤
作者: 杀毒软件    时间: 2009-2-8 18:10
考虑----左侧腮腺混合瘤 可能性大
作者: wansheng    时间: 2009-2-8 18:12
考虑左侧腮腺混合瘤
作者: 宇宙CT    时间: 2009-2-8 18:17
考虑左侧腮腺混合瘤
作者: 卜一    时间: 2009-2-8 20:52
强化方式符合:腮腺纤维血管瘤可能性大。另不除外:神经鞘瘤或淋巴瘤!
作者: jiangjing    时间: 2009-2-8 22:32
考虑左侧腮腺混合瘤。  肿瘤较大,边清,囊变,强化明显,皮肤及淋巴结无异示
作者: wangjj555    时间: 2009-2-8 23:36
考虑左侧腮腺混合瘤。
作者: drzhang8888    时间: 2009-2-9 00:52
左腮腺肿物,内可见低密度坏死区,增强扫描示肿块明显强化,且呈持续延迟强化,常规考虑腮混合瘤可能性大,但强化表现不太符合,不除外腮腺纤维血管瘤、神经鞘瘤、淋巴瘤及巨淋巴结增生症  
   

余辉说
支持,腮腺70%是混合瘤,所以放在第一位。巨淋巴结增生症极少有坏死,应该能除外吧。
作者: 正峰    时间: 2009-2-9 02:27
左侧腮腺多形性腺瘤可能性大。1、是混合瘤中最常见的良性肿瘤;2、中年女性多见并且时间长症状轻;3、病灶内有低密度坏死区,增强时强化;4、其内有钙化,囊性部分未强化;5、需与囊性淋巴瘤相鉴别。
作者: dr.yang    时间: 2012-5-29 23:50
引用第22楼drzhang8888于2009-02-09 00:52发表的  :
左腮腺肿物,内可见低密度坏死区,增强扫描示肿块明显强化,且呈持续延迟强化,常规考虑腮混合瘤可能性大,但强化表现不太符合,不除外腮腺纤维血管瘤、神经鞘瘤、淋巴瘤及巨淋巴结增生症  
   

余辉说
支持,腮腺70%是混合瘤,所以放在第一位。巨淋巴结增生症极少有坏死,应该能除外吧。





欢迎光临 医影在线 (http://bbs.radida.com/bbs/) Powered by Discuz! X3.2