

























以下是引用zsl6918在2009-2-7 22:12:00的发言:[br]结合临床支持胰腺炎,建议强化查明胆总管扩张的原因。
以下是引用zsl6918在2009-2-7 22:12:00的发言:[br]结合临床考虑胰腺炎可能,建议强化查明胆总管扩张的原因。
以下是引用zsl6918在2009-2-7 22:12:00的发言:[br]结合临床支持胰腺炎,建议强化查明胆总管扩张的原因。
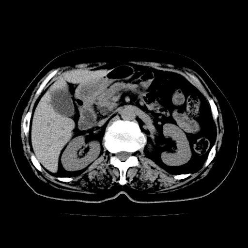
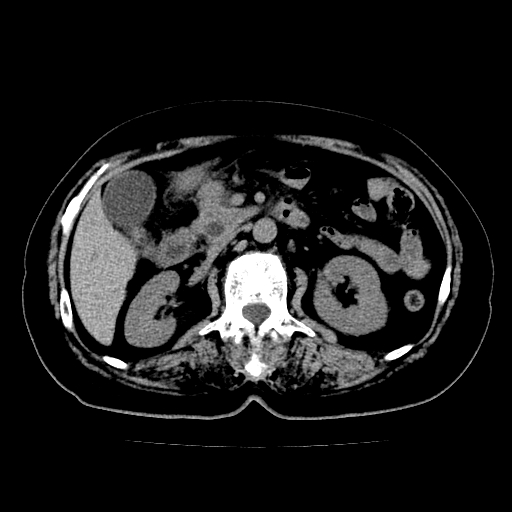
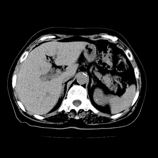
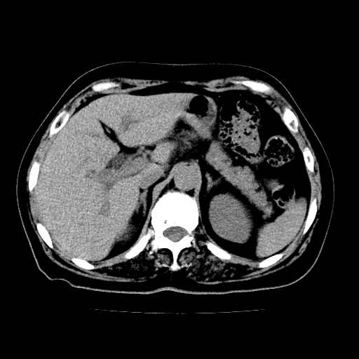
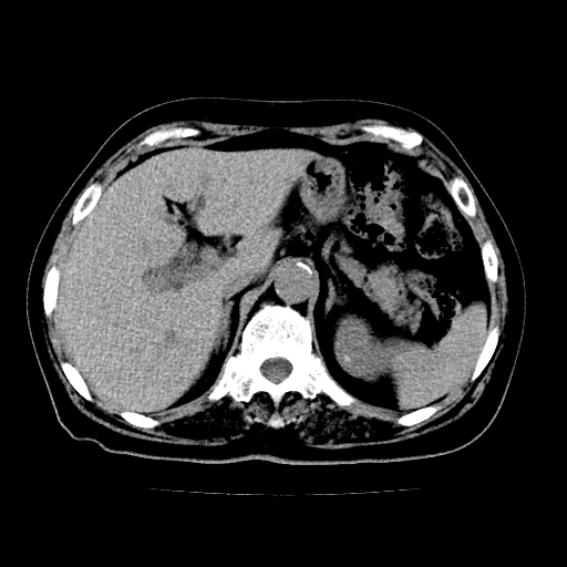
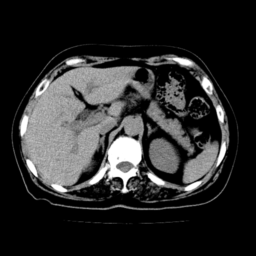
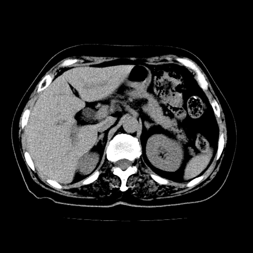
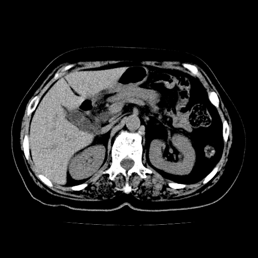
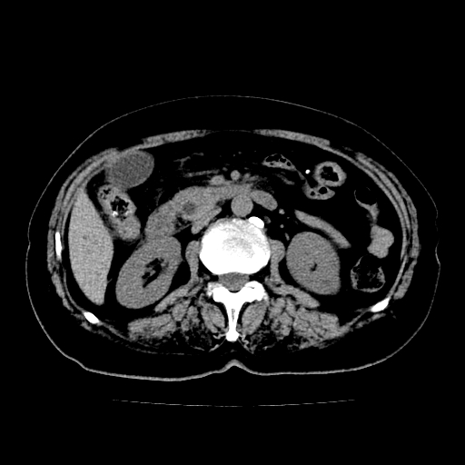
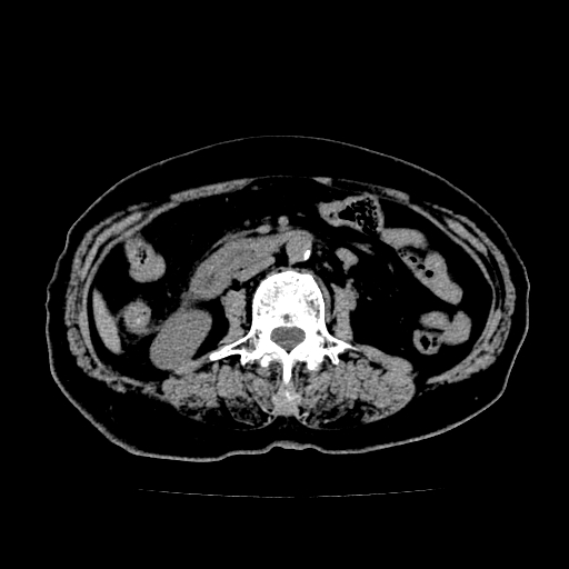
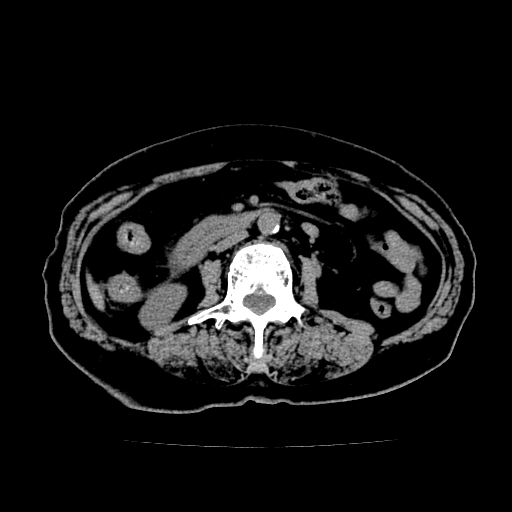
以下是引用lujiandong在2009-2-8 9:37:00的发言:[br]从所发的ct平扫图象上看,胆总管明显增粗,从上向下逐渐变细,是否有泥沙样结石,建议薄层重建;胰腺形态基本正常,左侧肾前筋膜轻度增厚。可以考虑:轻度单纯性胰腺炎,建议ct增强扫描。
以下是引用lujiandong在2009-2-8 9:37:00的发言:[br]从所发的ct平扫图象上看,胆总管明显增粗,从上向下逐渐变细,是否有泥沙样结石,建议薄层重建;胰腺形态基本正常,左侧肾前筋膜轻度增厚。可以考虑:轻度单纯性胰腺炎,建议ct增强扫描。
以下是引用zsl6918在2009-2-7 22:12:00的发言:[br]结合临床支持胰腺炎,建议强化查明胆总管扩张的原因。
| 欢迎光临 医影在线 (http://bbs.radida.com/bbs/) | Powered by Discuz! X3.2 |