医影在线

标题: CT18023:咳 嗽月余,无其它不适 [打印本页]

作者: 风雨彩虹    时间: 2009-2-10 06:15
标题: CT18023:咳 嗽月余,无其它不适
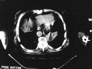
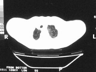
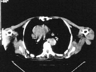
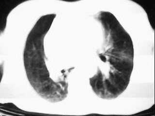
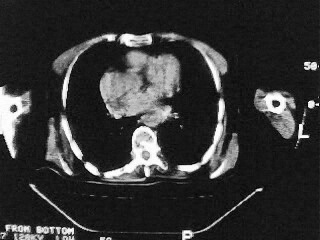
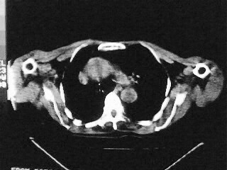
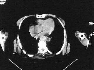
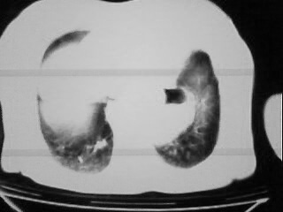
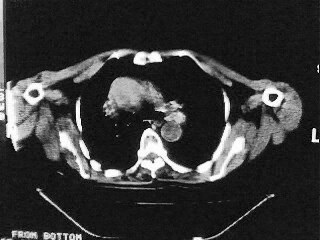
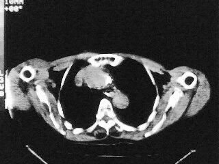
女,79,咳 嗽月余,无其它不适






































[本贴已被 翁志蓬 于 2009-2-9 23:24:22 修改过]

作者: hhcckk    时间: 2009-2-10 06:18
建议消化道透视,排除食管裂孔疝先
作者: 随光逐影    时间: 2009-2-10 06:37
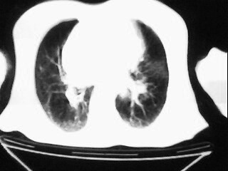
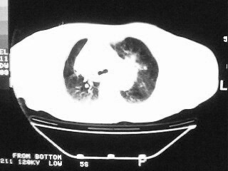
1)两肺炎症。2)食管裂孔疝可能;建议行上消化道钡餐检查。
作者: dengkai    时间: 2009-2-10 06:55
1)两肺炎症。2)食管裂孔疝可能;建议行上消化道钡餐检查。  
  
支持
作者: 卜一    时间: 2009-2-10 08:04
支持:食管裂孔疝!
作者: yy杨洋    时间: 2009-2-10 08:08
)两肺炎症。2)食管裂孔疝可能;建议行上消化道钡餐检查。  
  
支持
作者: zxp1233    时间: 2009-2-10 08:12
标题: 回复:ct18023:咳 嗽月余,无其它不适
1)两肺炎症。2)食管裂孔疝可能;建议行上消化道钡餐检查。
作者: xizhong    时间: 2009-2-10 16:32
(1)食管裂孔疝(2)贲门失弛缓症。建议行上消化道钡餐检查。
作者: LIAOQIANG    时间: 2009-2-10 17:03
考虑食管裂孔疝。建议钡餐检查。
作者: 影像孺子牛    时间: 2009-2-10 17:48
支持食管裂孔疝。建议钡餐检查。
作者: 深泽交通    时间: 2009-2-10 18:05
标题: 回复:ct18023:咳 嗽月余,无其它不适
以下是引用hhcckk在2009-2-9 22:18:00的发言:[br]建议消化道透视,排除食管裂孔疝先

作者: 杀毒软件    时间: 2009-2-10 18:32
支持:食管裂孔疝!
作者: 黑白光影    时间: 2009-2-10 18:50
1)两肺炎症。2)食管裂孔疝可能;建议行上消化道钡餐检查。    支持
作者: scdlc2008    时间: 2009-2-10 19:27
支持
作者: ydx_74    时间: 2009-2-10 21:12
食管裂孔疝可能
作者: 杀毒软件    时间: 2009-2-11 03:51
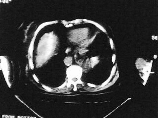
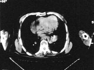
后纵隔内左心房至肝左叶后方椎体中线偏左巨大软组织包块,其壁均匀比较薄,其内可见宽气液平。

考虑食管裂孔疝。建议钡餐检查
作者: xulianj    时间: 2009-2-11 05:10
标题: 回复:ct18023:咳 嗽月余,无其它不适
以下是引用随光逐影在2009-2-9 22:37:00的发言:[br]1)两肺炎症。2)食管裂孔疝可能;建议行上消化道钡餐检查。

作者: zsl6918    时间: 2009-2-11 17:02
资料难看,不能诊断。




欢迎光临 医影在线 (http://bbs.radida.com/bbs/) Powered by Discuz! X3.2