





































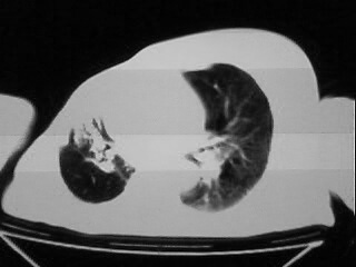
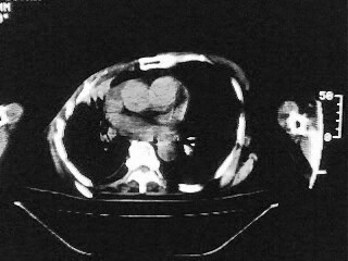
以下是引用随光逐影在2009-2-10 0:07:00的发言:[br]1)右肺放射性肺炎并节段性肺不张?请结合相关病史。2)右侧胸膜肥厚、粘连。3)心包膜增厚(或心包少量积液)。
以下是引用随光逐影在2009-2-10 0:07:00的发言:[br]1)右肺放射性肺炎并节段性肺不张?请结合相关病史。2)右侧胸膜肥厚、粘连。3)心包膜增厚(或心包少量积液)。
以下是引用随光逐影在2009-2-10 0:07:00的发言:[br]1)右肺放射性肺炎并节段性肺不张?请结合相关病史。2)右侧胸膜肥厚、粘连。3)心包膜增厚(或心包少量积液)。
以下是引用随光逐影在2009-2-10 0:07:00的发言:[br]1)右肺放射性肺炎并节段性肺不张?请结合相关病史。2)右侧胸膜肥厚、粘连。3)心包膜增厚(或心包少量积液)。
| 欢迎光临 医影在线 (http://bbs.radida.com/bbs/) | Powered by Discuz! X3.2 |